Skip to main content

T-bet/TBX21 Antibody (JE60-20)

Novus Biologicals, part of Bio-Techne | Catalog # NBP3-32908

Recombinant Monoclonal Antibody
Novus Biologicals, part of Bio-Techne
Catalog #
Availability
Size / Price
Qty
Loading...
NBP3-32908

Key Product Details

Species Reactivity

Human

Applications

Immunohistochemistry, Immunohistochemistry-Paraffin, Western Blot, Flow Cytometry, Immunocytochemistry/ Immunofluorescence

Label

Unconjugated

Antibody Source

Recombinant Monoclonal Rabbit IgG Clone # JE60-20 expressed in HEK293

Concentration

1 mg/ml

Product Specifications

Immunogen

Synthetic peptide within Human T-bet/TBX21 aa 21-770 / 535. (Uniprot: Q9UL17)

Localization

Nucleus.

Clonality

Monoclonal

Host

Rabbit

Isotype

IgG

Theoretical MW

58 kDa.
Disclaimer note: The observed molecular weight of the protein may vary from the listed predicted molecular weight due to post translational modifications, post translation cleavages, relative charges, and other experimental factors.

Description

Novus Biologicals Rabbit T-bet/TBX21 Antibody (JE60-20) (NBP3-32908) is a recombinant monoclonal antibody validated for use in IHC, WB, Flow and ICC/IF. All Novus Biologicals antibodies are covered by our 100% guarantee.

Scientific Data Images for T-bet/TBX21 Antibody (JE60-20)

T-bet/TBX21 Antibody (JE60-20)

Western Blot: T-bet/TBX21 Antibody (JE60-20) [NBP3-32908]

Western Blot: T-bet/TBX21 Antibody (JE60-20) [NBP3-32908] - Western blot analysis of T-bet/TBX21 on different lysates with Rabbit anti-T-bet/TBX21 antibody (NBP3-32908) at 1/1,000 dilution.

Lane 1: NK-92 cell lysate
Lane 2: K-562 cell lysate (negative)
Lane 3: Jurkat cell lysate (negative)

Lysates/proteins at 20 ug/Lane.

Predicted band size: 58 kDa
Observed band size: 65 kDa

Exposure time: 5 minutes;

4-20% SDS-PAGE gel.

Proteins were transferred to a PVDF membrane and blocked with 5% NFDM/TBST for 1 hour at room temperature. The primary antibody (NBP3-32908) at 1/1,000 dilution was used in 5% NFDM/TBST at 4C overnight. Goat Anti-Rabbit IgG - HRP Secondary Antibody at 1/50,000 dilution was used for 1 hour at room temperature.
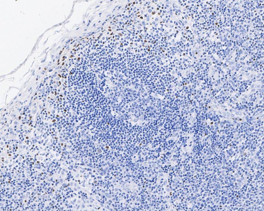
T-bet/TBX21 Antibody (JE60-20)

Immunohistochemistry: T-bet/TBX21 Antibody (JE60-20) [NBP3-32908]

Immunohistochemistry: T-bet/TBX21 Antibody (JE60-20) [NBP3-32908] - Immunohistochemical analysis of paraffin-embedded human hodgkin's lymphoma tissue with Rabbit anti-T-bet/TBX21 antibody (NBP3-32908) at 1/200 dilution.

The section was pre-treated using heat mediated antigen retrieval with sodium citrate buffer (pH 6.0) for 2 minutes. The tissues were blocked in 1% BSA for 20 minutes at room temperature, washed with ddH2O and PBS, and then probed with the primary antibody (NBP3-32908) at 1/200 dilution for 1 hour at room temperature. The detection was performed using an HRP conjugated compact polymer system. DAB was used as the chromogen. Tissues were counterstained with hematoxylin and mounted with DPX.
T-bet/TBX21 Antibody (JE60-20)

Immunocytochemistry/ Immunofluorescence: T-bet/TBX21 Antibody (JE60-20) [NBP3-32908]

Immunocytochemistry/ Immunofluorescence: T-bet/TBX21 Antibody (JE60-20) [NBP3-32908] - Immunocytochemistry analysis of NK-92 (positive) and K-562 (negative) labeling T-bet/TBX21 with Rabbit anti-T-bet/TBX21 antibody (NBP3-32908) at 1/100 dilution.

Cells were fixed in 4% paraformaldehyde for 20 minutes at room temperature, permeabilized with 0.1% Triton X-100 in PBS for 5 minutes at room temperature, then blocked with 1% BSA in 10% negative goat serum for 1 hour at room temperature. Cells were then incubated with Rabbit anti-T-bet/TBX21 antibody (NBP3-32908) at 1/100 dilution in 1% BSA in PBST overnight at 4 ℃. Goat Anti-Rabbit IgG H&L (iFluor™ 488) was used as the secondary antibody at 1/1,000 dilution. PBS instead of the primary antibody was used as the secondary antibody only control. Nuclear DNA was labelled in blue with DAPI.

Applications for T-bet/TBX21 Antibody (JE60-20)

Application
Recommended Usage

Flow Cytometry

1:1000

Immunocytochemistry/ Immunofluorescence

1:100

Immunohistochemistry-Paraffin

1:200

Western Blot

1:1000

Formulation, Preparation, and Storage

Purification

Protein A purified

Formulation

1*TBS (pH7.4), 0.05% BSA and 40% Glycerol

Preservative

0.05% Sodium Azide

Concentration

1 mg/ml

Shipping

The product is shipped with polar packs. Upon receipt, store it immediately at the temperature recommended below.

Stability & Storage

Store at 4C short term. Aliquot and store at -20C long term. Avoid freeze-thaw cycles.

Background: T-bet/TBX21

Tbx21 is a member of a phylogenetically conserved family of genes that share a common DNA-binding domain, the T-box. T-box genes encode transcription factors involved in the regulation of developmental processes. This gene is the human ortholog of mouse Tbx21/Tbet gene. Studies in mouse show that Tbx21 protein is a Th1 cell-specific transcription factor that controls the expression of the hallmark Th1 cytokine, interferon-gamma (IFNG). Expression of the human ortholog also correlates with IFNG expression in Th1 and natural killer cells, suggesting a role for this gene in initiating Th1 lineage development from naive Th precursor cells. [provided by RefSeq]

Long Name

T-box transcription factor TBX21

Alternate Names

T-PET, Tbet, TBLYM, TBX21

Gene Symbol

TBX21

Additional T-bet/TBX21 Products

Product Documents for T-bet/TBX21 Antibody (JE60-20)

Certificate of Analysis

To download a Certificate of Analysis, please enter a lot number in the search box below.

Product Specific Notices for T-bet/TBX21 Antibody (JE60-20)

This product is for research use only and is not approved for use in humans or in clinical diagnosis. Primary Antibodies are guaranteed for 1 year from date of receipt.

Loading...
Loading...
Loading...
Loading...
Loading...
Loading...