Skip to main content

Syntenin 2 Antibody (C1) - BSA Free

Novus Biologicals, part of Bio-Techne | Catalog # NBP3-41684

Novus Biologicals, part of Bio-Techne
Catalog #
Availability
Size / Price
Qty
Loading...
NBP3-41684

Key Product Details

Species Reactivity

Human, Porcine

Applications

Immunohistochemistry, Immunohistochemistry-Paraffin, Western Blot

Label

Unconjugated

Antibody Source

Monoclonal Mouse IgG1 kappa Clone # C1

Format

BSA Free

Concentration

1 mg/ml

Product Specifications

Immunogen

Immunized with recombinant Human Syntenin 2 (Uniprot#: Q9H190; Met1-Ala292 (Uniprot#: Q9H190)

Clonality

Monoclonal

Host

Mouse

Isotype

IgG1 kappa

Description

Novus Biologicals Mouse Syntenin 2 Antibody (C1) - BSA Free (NBP3-41684) is a monoclonal antibody validated for use in IHC and WB. All Novus Biologicals antibodies are covered by our 100% guarantee.

Scientific Data Images for Syntenin 2 Antibody (C1) - BSA Free

Syntenin 2 Antibody (C1)

Immunohistochemistry-Paraffin: Syntenin 2 Antibody (C1) [NBP3-41684] -

Immunohistochemistry-Paraffin: Syntenin 2 Antibody (C1) [NBP3-41684] - DAB staining on IHC-P; Samples: Human Small intestine Tissue; Primary Ab: 30ug/ml NBP3-41684; Second Ab: 2ug/mL HRP-Linked Caprine Anti-Mouse IgG Polyclonal Antibody
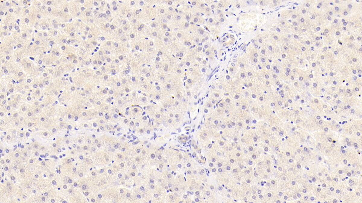
Syntenin 2 Antibody (C1)

Immunohistochemistry-Paraffin: Syntenin 2 Antibody (C1) [NBP3-41684] -

Immunohistochemistry-Paraffin: Syntenin 2 Antibody (C1) [NBP3-41684] - DAB staining on IHC-P; Samples: Human Liver Tissue; Primary Ab: 30ug/ml NBP3-41684; Second Ab: 2ug/mL HRP-Linked Caprine Anti-Mouse IgG Polyclonal Antibody

Applications for Syntenin 2 Antibody (C1) - BSA Free

Application
Recommended Usage

Immunohistochemistry

5-30ug/mL

Immunohistochemistry-Paraffin

5-30ug/mL

Western Blot

0.01-5ug/mL

Formulation, Preparation, and Storage

Purification

Protein A or G purified

Formulation

0.01M PBS, pH7.4, 50% glycerol

Format

BSA Free

Preservative

0.05% Proclin 300

Concentration

1 mg/ml

Shipping

The product is shipped with polar packs. Upon receipt, store it immediately at the temperature recommended below.

Stability & Storage

Store at 4C short term. Aliquot and store at -20C long term. Avoid freeze-thaw cycles.

Background: Syntenin 2

Alternate Names

FLJ12256, SITAC18ST-2, syndecan binding protein (syntenin) 2, Syndecan-binding protein 2, syntenin-2

Gene Symbol

SDCBP2

Additional Syntenin 2 Products

Product Documents for Syntenin 2 Antibody (C1) - BSA Free

Certificate of Analysis

To download a Certificate of Analysis, please enter a lot number in the search box below.

Product Specific Notices for Syntenin 2 Antibody (C1) - BSA Free

This product is for research use only and is not approved for use in humans or in clinical diagnosis. Primary Antibodies are guaranteed for 1 year from date of receipt.

Loading...
Loading...
Loading...
Loading...