Skip to main content

Syntaxin Binding Protein 4 Antibody - BSA Free

Novus Biologicals, part of Bio-Techne | Catalog # NBP3-45782

Novus Biologicals, part of Bio-Techne
Catalog #
Availability
Size / Price
Qty
Loading...
NBP3-45782

Key Product Details

Species Reactivity

Human, Mouse

Applications

Immunohistochemistry, Western Blot, ELISA

Label

Unconjugated

Antibody Source

Polyclonal Rabbit IgG

Format

BSA Free

Concentration

Please see the vial label for concentration. If unlisted please contact technical services.

Product Specifications

Immunogen

syntaxin binding protein 4. (Uniprot# Q6ZWJ1)

Clonality

Polyclonal

Host

Rabbit

Isotype

IgG

Theoretical MW

70 kDa.
Disclaimer note: The observed molecular weight of the protein may vary from the listed predicted molecular weight due to post translational modifications, post translation cleavages, relative charges, and other experimental factors.

Description

Novus Biologicals Rabbit Syntaxin Binding Protein 4 Antibody - BSA Free (NBP3-45782) is a polyclonal antibody validated for use in IHC, WB and ELISA. All Novus Biologicals antibodies are covered by our 100% guarantee.

Scientific Data Images for Syntaxin Binding Protein 4 Antibody - BSA Free

Syntaxin Binding Protein 4 Antibody - BSA Free

Western Blot: Syntaxin Binding Protein 4 Antibody - BSA Free [NBP3-45782] -

Western Blot: Syntaxin Binding Protein 4 Antibody - BSA Free [NBP3-45782] - Human heart tissue were subjected to SDS PAGE followed by western blot with (Syntaxin Binding Protein 4 antibody) at dilution of 1:1000
Syntaxin Binding Protein 4 Antibody - BSA Free

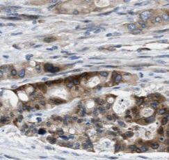
Immunohistochemistry: Syntaxin Binding Protein 4 Antibody - BSA Free [NBP3-45782] -

Immunohistochemistry: Syntaxin Binding Protein 4 Antibody - BSA Free [NBP3-45782] - Immunohistochemistry of paraffin-embedded human pancreas cancer using (Syntaxin Binding Protein 4 antibody) at dilution of 1:100

Applications for Syntaxin Binding Protein 4 Antibody - BSA Free

Application
Recommended Usage

Immunohistochemistry

1:50 - 1:100

Western Blot

1:500 - 1:2000

Formulation, Preparation, and Storage

Purification

Immunogen affinity purified

Formulation

PBS, 50% Glycerol, pH (7.3)

Format

BSA Free

Preservative

0.02% Sodium Azide

Concentration

Please see the vial label for concentration. If unlisted please contact technical services.

Shipping

The product is shipped with polar packs. Upon receipt, store it immediately at the temperature recommended below.

Stability & Storage

Store at -20C. Avoid freeze-thaw cycles.

Background: Syntaxin Binding Protein 4

Synip (Syntaxin 4-Interacting protein) specifically binds to Syntaxin 4 and is uniquely expressed in muscle and adipose tissue. The binding interaction of Synip with syntaxin 4 is regulated by insulin, which also induces dissociation of the Synip-syntaxin 4 complex. Synip plays a role in the translocation of transport vesicles from the cytoplasm to the plasma membrane and functions as a positive regulator of insulin-stimulated GLUT4 translocation. Synip also competes with VAMP2 but Not SNAP23 for binding to Syntaxin 4 (1-3).

Alternate Names

FLJ16496, MGC50337, STX4-interacting protein, SynipMGC149829, syntaxin 4 interacting protein, Syntaxin 4-interacting protein, syntaxin binding protein 4, syntaxin-binding protein 4

Gene Symbol

STXBP4

Additional Syntaxin Binding Protein 4 Products

Product Documents for Syntaxin Binding Protein 4 Antibody - BSA Free

Certificate of Analysis

To download a Certificate of Analysis, please enter a lot number in the search box below.

Product Specific Notices for Syntaxin Binding Protein 4 Antibody - BSA Free

This product is for research use only and is not approved for use in humans or in clinical diagnosis. Primary Antibodies are guaranteed for 1 year from date of receipt.

Loading...
Loading...
Loading...
Loading...