Syntaxin 16 Antibody (5H6D5)
Novus Biologicals, part of Bio-Techne | Catalog # NBP3-16810
Recombinant Monoclonal Antibody
Key Product Details
Species Reactivity
Human, Mouse, Rat
Applications
Immunohistochemistry, Immunohistochemistry-Paraffin, Western Blot
Label
Unconjugated
Antibody Source
Recombinant Monoclonal Rabbit IgG Clone # 5H6D5 expressed in HEK293
Concentration
Please see the vial label for concentration. If unlisted please contact technical services.
Product Specifications
Immunogen
A synthetic peptide corresponding to a sequence within amino acids 1-100 of human Syntaxin 16 (O14662). MATRRLTDAFLLLRNNSIQNRQLLAEQVSSHITSSPLHSRSIAAELDELADDRMALVSGISLDPEAAIGVTKRPPPKWVDGVDEIQYDVGRIKQKMKELA
Clonality
Monoclonal
Host
Rabbit
Isotype
IgG
Description
Novus Biologicals Rabbit Syntaxin 16 Antibody (5H6D5) (NBP3-16810) is a recombinant monoclonal antibody validated for use in IHC and WB. All Novus Biologicals antibodies are covered by our 100% guarantee.
Scientific Data Images for Syntaxin 16 Antibody (5H6D5)
Western Blot: Syntaxin 16 Antibody (5H6D5) [NBP3-16810]
Western Blot: Syntaxin 16 Antibody (5H6D5) [NBP3-16810] - Western blot analysis of extracts of various cell lines, using (NBP3-16810) at 1:500 dilution. Secondary antibody: HRP Goat Anti-Rabbit IgG (H+L) at 1:10000 dilution. Lysates/proteins: 25ug per lane. Blocking buffer: 3% nonfat dry milk in TBST. Detection: ECL Basic Kit. Exposure time: 10s.Immunohistochemistry: Syntaxin 16 Antibody (5H6D5) [NBP3-16810] -
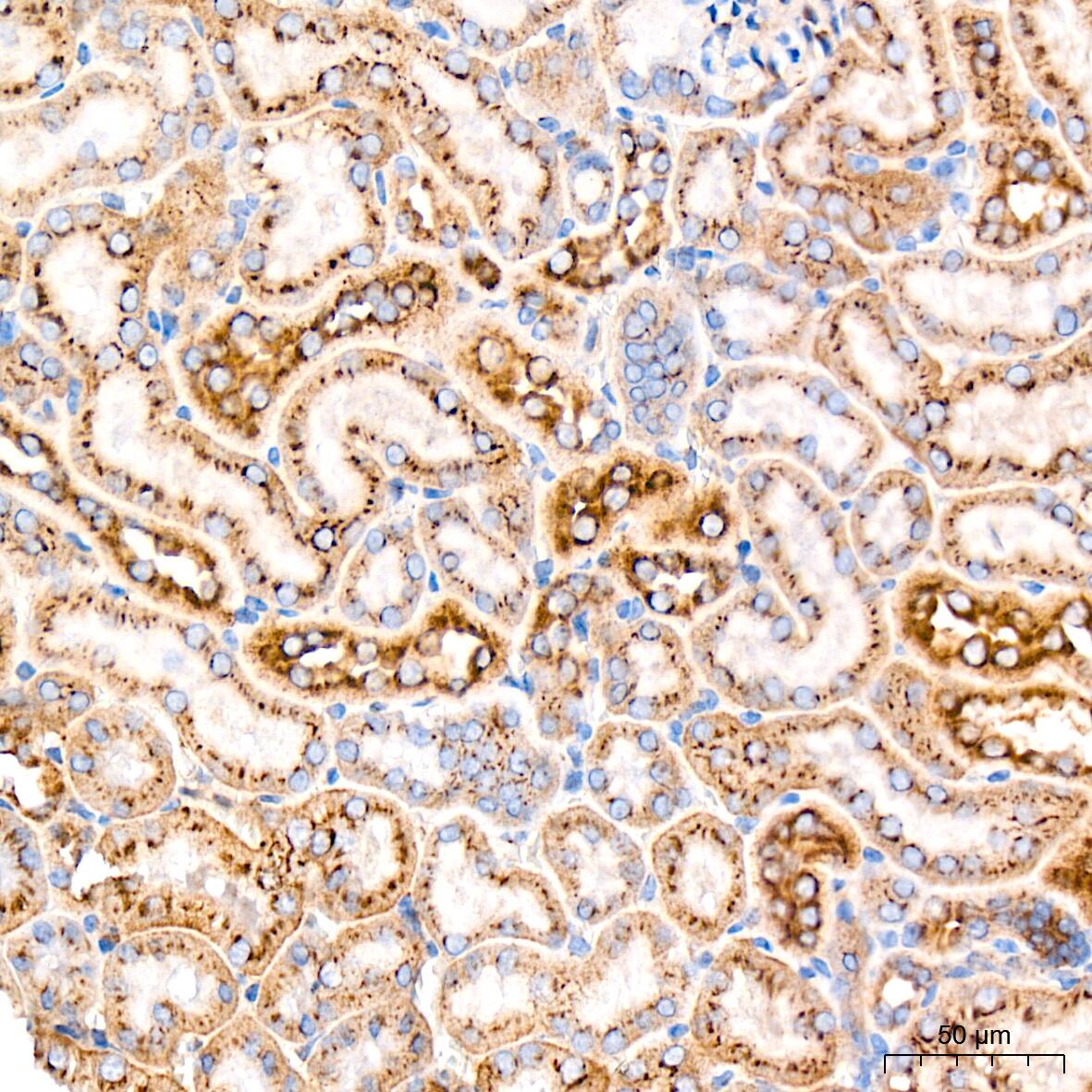
Immunohistochemistry: Syntaxin 16 Antibody (5H6D5) [NBP3-16810] - Immunohistochemistry analysis of paraffin-embedded Mouse kidney tissue using Syntaxin 16 Rabbit mAb at a dilution of 1:200 (40x lens). High pressure antigen retrieval was performed with 0.01 M citrate buffer (pH 6.0) prior to IHC staining.Immunohistochemistry: Syntaxin 16 Antibody (5H6D5) [NBP3-16810] -
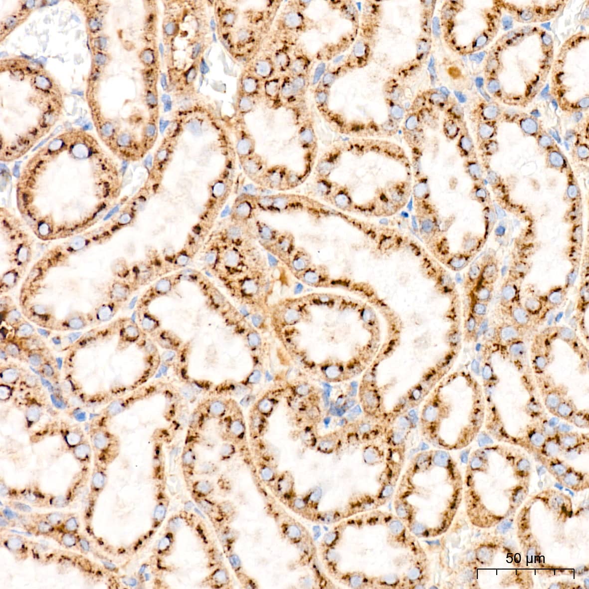
Immunohistochemistry: Syntaxin 16 Antibody (5H6D5) [NBP3-16810] - Immunohistochemistry analysis of paraffin-embedded Rat kidney tissue using Syntaxin 16 Rabbit mAb at a dilution of 1:200 (40x lens). High pressure antigen retrieval was performed with 0.01 M citrate buffer (pH 6.0) prior to IHC staining.Applications for Syntaxin 16 Antibody (5H6D5)
Application
Recommended Usage
Immunohistochemistry
1:50 - 1:200
Western Blot
1:100 - 1:500
Formulation, Preparation, and Storage
Purification
Affinity purified
Formulation
PBS (pH 7.3), 50% glycerol, 0.05% BSA
Preservative
0.02% Sodium Azide
Concentration
Please see the vial label for concentration. If unlisted please contact technical services.
Shipping
The product is shipped with polar packs. Upon receipt, store it immediately at the temperature recommended below.
Stability & Storage
Store at -20C. Avoid freeze-thaw cycles.
Background: Syntaxin 16
Alternate Names
STX16, Syn16
Gene Symbol
STX16
Additional Syntaxin 16 Products
Product Documents for Syntaxin 16 Antibody (5H6D5)
Product Specific Notices for Syntaxin 16 Antibody (5H6D5)
This product is for research use only and is not approved for use in humans or in clinical diagnosis. Primary Antibodies are guaranteed for 1 year from date of receipt.
Loading...
Loading...
Loading...
Loading...