Skip to main content

Syntaphilin Antibody - BSA Free

Novus Biologicals, part of Bio-Techne | Catalog # NBP1-76915

Novus Biologicals, part of Bio-Techne

Key Product Details

Species Reactivity

Human, Mouse, Rat

Applications

Immunohistochemistry, Immunohistochemistry-Paraffin, Western Blot, ELISA, Immunocytochemistry/ Immunofluorescence

Label

Unconjugated

Antibody Source

Polyclonal Rabbit IgG

Format

BSA Free

Concentration

1 mg/ml

Product Specifications

Immunogen

Antibody was raised against a 16 amino acid synthetic peptide from near the center of human Syntaphilin. The immunogen is located within amino acids 350 - 400 of Syntaphilin. Amino Acid Squence: VGDELEAPEPITRGPT

Clonality

Polyclonal

Host

Rabbit

Isotype

IgG

Description

Novus Biologicals Rabbit Syntaphilin Antibody - BSA Free (NBP1-76915) is a polyclonal antibody validated for use in IHC, WB, ELISA and ICC/IF. All Novus Biologicals antibodies are covered by our 100% guarantee.

Scientific Data Images for Syntaphilin Antibody - BSA Free

Western Blot: Syntaphilin AntibodyBSA Free [NBP1-76915]

Western Blot: Syntaphilin AntibodyBSA Free [NBP1-76915]

Western Blot: Syntaphilin Antibody [NBP1-76915] - Rat brain tissue lysate with Syntaphilin antibody at (A) 1 and (B) 2 ug/mL.
Syntaphilin Antibody - BSA Free

Immunocytochemistry/ Immunofluorescence: Syntaphilin Antibody - BSA Free [NBP1-76915] -

Immunocytochemistry/ Immunofluorescence: Syntaphilin Antibody - BSA Free [NBP1-76915] - Immunofluorescence of Syntaphilin in Human Brain cells with Syntaphilin antibody at 20 ug/mL.
Syntaphilin Antibody - BSA Free

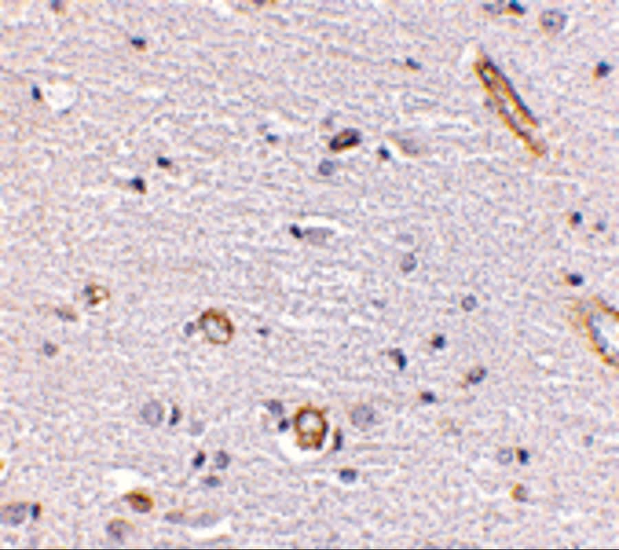
Immunohistochemistry: Syntaphilin Antibody - BSA Free [NBP1-76915] -

Immunohistochemistry: Syntaphilin Antibody - BSA Free [NBP1-76915] - Immunohistochemistry of Syntaphilin in human brain with Syntaphilin antibody at 5 ug/mL.

Applications for Syntaphilin Antibody - BSA Free

Application
Recommended Usage

ELISA

1:100-1:2000

Immunocytochemistry/ Immunofluorescence

20 ug/mL

Immunohistochemistry

5 ug/ml

Immunohistochemistry-Paraffin

5 ug/ml

Western Blot

1-2 ug/ml
Application Notes
Despite its predicted molecular weight, Syntaphilin usually migrates at higher molecular weight in SDS-PAGE.

Formulation, Preparation, and Storage

Purification

Peptide affinity purified

Formulation

PBS

Format

BSA Free

Preservative

0.02% Sodium Azide

Concentration

1 mg/ml

Shipping

The product is shipped with polar packs. Upon receipt, store it immediately at the temperature recommended below.

Stability & Storage

Store at 4C short term. Aliquot and store at -20C long term. Avoid freeze-thaw cycles.

Background: Syntaphilin

Syntaphilin was initially identified in a yeast two-hybrid screen with the carboxy terminal region of Syntaxin-1 as bait. Syntaxin-1 is a key component of the synaptic vesicle docking machinery that forms the SNARE complex with synaptobrevin and SNAP-25. Syntaphilin competes with SNAP-25 for binding to syntaxin-1 and inhibits the formation of the SNARE complex, thereby potentially regulating synaptic vesicle exocytosis. Syntaphilin also binds dynamin-1 and inhibits dynamin-dependent endocytosis. Mice lacking syntaphilin show an increased level of mitochondrial motility and a reduced density of axonal mitochondria. This correlates with an enhanced short-term facilitation and significant impairments in motor ability, suggesting syntaphilin plays a major role in presynaptic function. Despite its predicted molecular weight, Syntaphilin usually migrates at higher molecular weight in SDS-PAGE. Multiple isoforms are known to exist.

Alternate Names

bA314N13.5, KIAA0374, MGC46096, syntaphilin

Gene Symbol

SNPH

UniProt

Additional Syntaphilin Products

Product Documents for Syntaphilin Antibody - BSA Free

Certificate of Analysis

To download a Certificate of Analysis, please enter a lot number in the search box below.

Product Specific Notices for Syntaphilin Antibody - BSA Free

This product is for research use only and is not approved for use in humans or in clinical diagnosis. Primary Antibodies are guaranteed for 1 year from date of receipt.

Loading...
Loading...
Loading...
Loading...