Skip to main content

Synaptogyrin 1 Antibody - BSA Free

Novus Biologicals, part of Bio-Techne | Catalog # NBP1-77371

Novus Biologicals, part of Bio-Techne

Key Product Details

Species Reactivity

Human, Mouse, Rat

Applications

Immunohistochemistry, Immunohistochemistry-Paraffin, Western Blot, ELISA, Immunocytochemistry/ Immunofluorescence

Label

Unconjugated

Antibody Source

Polyclonal Rabbit IgG

Format

BSA Free

Concentration

1 mg/ml

Product Specifications

Immunogen

Antibody was raised against a 16 amino acid synthetic peptide from near the center of human SYNGR1. The immunogen is located within amino acids 120 - 170 of SYNGR1. Amino Acid Squence: WQVSKPKDNPLNEGTDA

Marker

Synaptic Vesicle Marker

Clonality

Polyclonal

Host

Rabbit

Isotype

IgG

Description

Novus Biologicals Rabbit Synaptogyrin 1 Antibody - BSA Free (NBP1-77371) is a polyclonal antibody validated for use in IHC, WB, ELISA and ICC/IF. All Novus Biologicals antibodies are covered by our 100% guarantee.

Scientific Data Images for Synaptogyrin 1 Antibody - BSA Free

Western Blot: Synaptogyrin 1 AntibodyBSA Free [NBP1-77371]

Western Blot: Synaptogyrin 1 AntibodyBSA Free [NBP1-77371]

Western Blot: Synaptogyrin 1 Antibody [NBP1-77371] - Rat brain tissue lysate with SYNGR1 antibody at 1 ug/mL in (A) the absence and (B) the presence of blocking peptide.
Synaptogyrin 1 Antibody - BSA Free

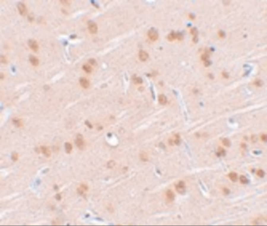
Immunohistochemistry: Synaptogyrin 1 Antibody - BSA Free [NBP1-77371] -

Immunohistochemistry: Synaptogyrin 1 Antibody - BSA Free [NBP1-77371] - Immunohistochemistry of Synaptogyrin 1 in rat brain tissue with Synaptogyrin 1 antibody at 2.5 u/mL.
Synaptogyrin 1 Antibody - BSA Free

Immunocytochemistry/ Immunofluorescence: Synaptogyrin 1 Antibody - BSA Free [NBP1-77371] -

Immunocytochemistry/ Immunofluorescence: Synaptogyrin 1 Antibody - BSA Free [NBP1-77371] - Immunofluorescence of Synaptogyrin 1 in rat brain tissue with Synaptogyrin 1 antibody at 20 ug/mL.

Applications for Synaptogyrin 1 Antibody - BSA Free

Application
Recommended Usage

ELISA

1:100-1:2000

Immunocytochemistry/ Immunofluorescence

20 ug/ml

Immunohistochemistry

2.5 ug/ml

Immunohistochemistry-Paraffin

2.5 ug/ml

Western Blot

1 ug/ml

Formulation, Preparation, and Storage

Purification

Peptide affinity purified

Formulation

PBS

Format

BSA Free

Preservative

0.02% Sodium Azide

Concentration

1 mg/ml

Shipping

The product is shipped with polar packs. Upon receipt, store it immediately at the temperature recommended below.

Stability & Storage

Store at 4C short term. Aliquot and store at -20C long term. Avoid freeze-thaw cycles.

Background: Synaptogyrin 1

Synaptogyrins comprise a family of tyrosine-phosphorylated membrane proteins with two neuronal (SYNGR1 and SYNGR3) and one ubiquitous (SYNGR2) members. SYNGR1 and -3 are synaptic vesicle proteins, residing in some cases on the same synaptic vesicle, and are thought to be involved in the regulation of neurotransmitter release. SYNGR2, by contrast, is absent from synaptic vesicles. The role and localization of a fourth synaptogyrin, SYNGR4, is unclear. The gene for SYNGR1is located at chromosome 22q13, a region linked to schizophrenia; however, there is mixed evidence suggesting that mutations in SYNGR1 might be associated with schizophrenia.

Alternate Names

MGC1939, synaptogyrin 1, synaptogyrin-1

Gene Symbol

SYNGR1

Additional Synaptogyrin 1 Products

Product Documents for Synaptogyrin 1 Antibody - BSA Free

Certificate of Analysis

To download a Certificate of Analysis, please enter a lot number in the search box below.

Product Specific Notices for Synaptogyrin 1 Antibody - BSA Free

This product is for research use only and is not approved for use in humans or in clinical diagnosis. Primary Antibodies are guaranteed for 1 year from date of receipt.

Loading...
Loading...
Loading...
Loading...