Skip to main content

SVEP1 Antibody - BSA Free

Novus Biologicals, part of Bio-Techne | Catalog # NBP1-90791

Novus Biologicals, part of Bio-Techne
Catalog #
Availability
Size / Price
Qty
Loading...
NBP1-90791
NBP1-90791-25ul

Key Product Details

Species Reactivity

Human

Applications

Immunohistochemistry, Immunohistochemistry-Paraffin

Label

Unconjugated

Antibody Source

Polyclonal Rabbit IgG

Format

BSA Free

Concentration

Concentrations vary lot to lot. See vial label for concentration. If unlisted please contact technical services.

Product Specifications

Immunogen

This antibody was developed against Recombinant Protein corresponding to amino acids: GDFICTPDNTGVNCTLTCLEGYDFTEGSTDKYYCAYEDGVWKPTYTTEWPDCAKKRFANHGFKSFEMFYKAARCDDTDLMKKFSEAFETTLG

Clonality

Polyclonal

Host

Rabbit

Isotype

IgG

Scientific Data Images for SVEP1 Antibody - BSA Free

Immunohistochemistry-Paraffin: SVEP1 Antibody [NBP1-90791]

Immunohistochemistry-Paraffin: SVEP1 Antibody [NBP1-90791]

Immunohistochemistry-Paraffin: SVEP1 Antibody [NBP1-90791] - Staining of human Kidney shows moderate cytoplasmic positivity in cells in tubules.
Immunohistochemistry-Paraffin: SVEP1 Antibody [NBP1-90791]

Immunohistochemistry-Paraffin: SVEP1 Antibody [NBP1-90791]

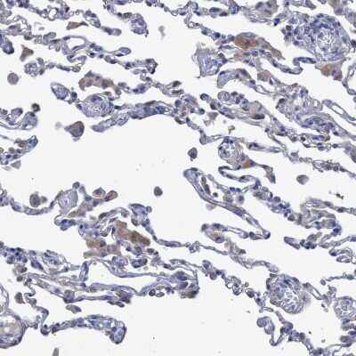
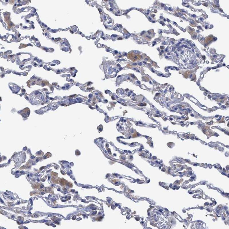
Immunohistochemistry-Paraffin: SVEP1 Antibody [NBP1-90791] - Staining of human lung shows moderate cytoplasmic positivity in macrophages.
Immunohistochemistry-Paraffin: SVEP1 Antibody [NBP1-90791]

Immunohistochemistry-Paraffin: SVEP1 Antibody [NBP1-90791]

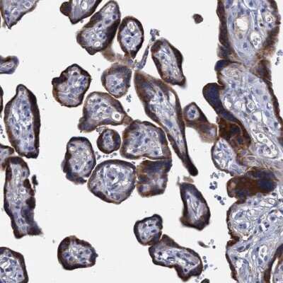
Immunohistochemistry-Paraffin: SVEP1 Antibody [NBP1-90791] - Staining of human placenta shows strong cytoplasmic positivity in trophoblastic cells.

Applications for SVEP1 Antibody - BSA Free

Application
Recommended Usage

Immunohistochemistry

1:500 - 1:1000

Immunohistochemistry-Paraffin

1:200-1:500
Application Notes
For IHC-Paraffin, HIER pH 6 retrieval is recommended.

Formulation, Preparation, and Storage

Purification

Affinity purified

Formulation

PBS (pH 7.2) and 40% Glycerol

Format

BSA Free

Preservative

0.02% Sodium Azide

Concentration

Concentrations vary lot to lot. See vial label for concentration. If unlisted please contact technical services.

Shipping

The product is shipped with polar packs. Upon receipt, store it immediately at the temperature recommended below.

Stability & Storage

Store at 4C short term. Aliquot and store at -20C long term. Avoid freeze-thaw cycles.

Background: SVEP1

Long Name

Sushi, Von Willebrand Factor Type A, EGF And Pentraxin Domain Containing 1

Alternate Names

C9orf13, CCP22, POLYDOM, SEL-OB, SELOB

Gene Symbol

SVEP1

Additional SVEP1 Products

Product Documents for SVEP1 Antibody - BSA Free

Certificate of Analysis

To download a Certificate of Analysis, please enter a lot number in the search box below.

Product Specific Notices for SVEP1 Antibody - BSA Free

This product is for research use only and is not approved for use in humans or in clinical diagnosis. Primary Antibodies are guaranteed for 1 year from date of receipt.

Loading...
Loading...
Loading...
Loading...