Skip to main content

SUZ12 Antibody (1B10) - BSA Free

Novus Biologicals, part of Bio-Techne | Catalog # NBP3-26295

Recombinant Monoclonal Antibody
Novus Biologicals, part of Bio-Techne
Catalog #
Availability
Size / Price
Qty
Loading...
NBP3-26295-100ul
NBP3-26295-50ul

Key Product Details

Species Reactivity

Human

Applications

Immunohistochemistry, Western Blot, ELISA, Immunoprecipitation

Label

Unconjugated

Antibody Source

Recombinant Monoclonal Rabbit IgG Clone # 1B10 expressed in HEK293

Format

BSA Free

Concentration

Please see the vial label for concentration. If unlisted please contact technical services.

Product Specifications

Immunogen

A synthesized peptide derived from Human SUZ12 [UniProt Q15022]

Clonality

Monoclonal

Host

Rabbit

Isotype

IgG

Description

Novus Biologicals Rabbit SUZ12 Antibody (1B10) - BSA Free (NBP3-26295) is a recombinant monoclonal antibody validated for use in IHC, WB, ELISA and IP. All Novus Biologicals antibodies are covered by our 100% guarantee.

Scientific Data Images for SUZ12 Antibody (1B10) - BSA Free

SUZ12 Antibody (1B10)

Immunoprecipitation: SUZ12 Antibody (1B10) [NBP3-26295] -

Immunoprecipitation: SUZ12 Antibody (1B10) [NBP3-26295] - Immunoprecipitating SUZ12 in K562 whole cell lysate.
Lane 1: Rabbit control IgG instead of NBP3-26295 in K562 whole cell lysate. For western blotting, a HRP-conjugated Protein G antibody was used as the secondary antibody (1/2000).
Lane 2: NBP3-26295 (2ug) + K562 whole cell lysate (500ug).
Lane 3: K562 whole cell lysate (10ug).
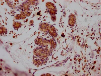
SUZ12 Antibody (1B10)

Immunohistochemistry: SUZ12 Antibody (1B10) [NBP3-26295] -

Immunohistochemistry: SUZ12 Antibody (1B10) [NBP3-26295] - Image of SUZ12 Antibody (1B10) diluted at 1:100 and staining in paraffin-embedded human breast cancer performed. After dewaxing and hydration, antigen retrieval was mediated by high pressure in a citrate buffer (pH 6.0). Section was blocked with 10% normal goat serum 30min at RT. Then primary antibody (1% BSA) was incubated at 4C overnight. The primary is detected by a Goat anti-rabbit IgG polymer labeled by HRP and visualized using 0.05% DAB.
SUZ12 Antibody (1B10)

Western Blot: SUZ12 Antibody (1B10) [NBP3-26295] -

Western Blot: SUZ12 Antibody (1B10) [NBP3-26295] - Positive Western Blot detected in: Hela whole cell lysate, HepG2 whole cell lysate, MCF-7 whole cell lysate, HL60 whole cell lysate, THP-1 whole cell lysate, K562 whole cell lysate.
All lanes: SUZ12 Antibody at 1:2000
Secondary: Goat polyclonal to rabbit IgG at 1/50000 dilution.
Predicted band size: 84 kDa
Observed band size: 90 kDa

Applications for SUZ12 Antibody (1B10) - BSA Free

Application
Recommended Usage

Immunohistochemistry

1:50-1:200

Immunoprecipitation

1:200-1:1000

Western Blot

1:500-1:5000

Formulation, Preparation, and Storage

Purification

Affinity purified

Formulation

PBS, pH 7.4, 150mM NaCl, and 50% glycerol

Format

BSA Free

Preservative

0.02% Sodium Azide

Concentration

Please see the vial label for concentration. If unlisted please contact technical services.

Shipping

The product is shipped with polar packs. Upon receipt, store it immediately at the temperature recommended below.

Stability & Storage

Store at -20 to -70C. Avoid freeze-thaw cycles.

Background: SUZ12

This zinc finger gene has been identified at the breakpoints of a recurrent chromosomal translocation reported in endometrial stromal sarcoma. Recombination of these breakpoints results in the fusion of this gene and JAZF1. The protein encoded by this gene contains a zinc finger domain in the C terminus of the coding region. The specific function of this gene has not yet been determined. [provided by RefSeq]

Long Name

Suppressor of Zeste 12 Homolog

Alternate Names

CHET9, JJAZ1

Gene Symbol

SUZ12

Additional SUZ12 Products

Product Documents for SUZ12 Antibody (1B10) - BSA Free

Certificate of Analysis

To download a Certificate of Analysis, please enter a lot number in the search box below.

Product Specific Notices for SUZ12 Antibody (1B10) - BSA Free

This product is for research use only and is not approved for use in humans or in clinical diagnosis. Primary Antibodies are guaranteed for 1 year from date of receipt.

Loading...
Loading...
Loading...
Loading...