Skip to main content

SUV420h1 Antibody - BSA Free

Novus Biologicals, part of Bio-Techne | Catalog # NBP1-97312

Novus Biologicals, part of Bio-Techne

Key Product Details

Species Reactivity

Validated:

Human, Mouse

Cited:

Mouse

Applications

Validated:

Immunohistochemistry, Immunohistochemistry-Paraffin, Immunocytochemistry/ Immunofluorescence, Western Blot (Negative)

Cited:

IF/IHC

Label

Unconjugated

Antibody Source

Polyclonal Rabbit IgG

Format

BSA Free

Concentration

1.14 mg/ml

Product Specifications

Immunogen

A synthetic peptide made to an internal portion of the human SUV420h1 protein (between residues 100-150) [UniProt Q4FZB7]

Localization

Nucleus. Chromosome. Note: Associated with pericentric heterochromatin. CBX1 and CBX5 are required for the localization to pericentric heterochromatin.

Clonality

Polyclonal

Host

Rabbit

Isotype

IgG

Description

Novus Biologicals Rabbit SUV420h1 Antibody - BSA Free (NBP1-97312) is a polyclonal antibody validated for use in IHC and ICC/IF. Anti-SUV420h1 Antibody: Cited in 1 publication. All Novus Biologicals antibodies are covered by our 100% guarantee.

Scientific Data Images for SUV420h1 Antibody - BSA Free

Immunocytochemistry/ Immunofluorescence: SUV420h1 Antibody - BSA Free [NBP1-97312]

Immunocytochemistry/ Immunofluorescence: SUV420h1 Antibody - BSA Free [NBP1-97312]

Immunocytochemistry/Immunofluorescence: SUV420h1 Antibody [NBP1-97312] - SUV420h1 antibody was tested in A431 cells with FITC (green). Nuclei and alpha-tubulin were counterstained with DAPI (blue) and Dylight 550 (red).
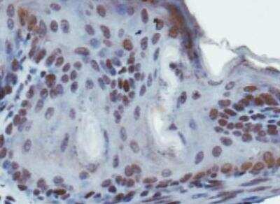
Immunohistochemistry: SUV420h1 Antibody - BSA Free [NBP1-97312]

Immunohistochemistry: SUV420h1 Antibody - BSA Free [NBP1-97312]

Immunohistochemistry: SUV420h1 Antibody [NBP1-97312] - IHC analysis of SUV420h1 in mouse epidermis using DAB with hematoxylin counterstain.

Applications for SUV420h1 Antibody - BSA Free

Application
Recommended Usage

Immunocytochemistry/ Immunofluorescence

1:100-1:300

Immunohistochemistry

1:200

Immunohistochemistry-Paraffin

1:200
Application Notes
This SUV420h1 antibody is useful for Immunocytochemistry/Immunofluorescence and IHC-paraffin embedded sections. In ICC/IF, nuclear staining was observed in A431 cells. In IHC-P, staining was observed in the nucleus of mouse epidermis tissue. Prior to immunostaining paraffin tissues, antigen retrieval with sodium citrate buffer (pH 6.0) is recommended. This antibody is not recommended for Western Blot.

Formulation, Preparation, and Storage

Purification

Immunogen affinity purified

Formulation

PBS and 30% Glycerol

Format

BSA Free

Preservative

0.05% Sodium Azide

Concentration

1.14 mg/ml

Shipping

The product is shipped with polar packs. Upon receipt, store it immediately at the temperature recommended below.

Stability & Storage

Store at 4C short term. Aliquot and store at -20C long term. Avoid freeze-thaw cycles.

Background: SUV420h1

SUV420H1 (Histone-lysine N-methyltransferase 5B, KMT5B) is a histone methyltransferase that specifically di- and trimethlyates lysine 20 of H4 (H4 K20Me3), an epigenetic mark of transcriptional repression. This mark, along with trimethylation of histone 3 lysine 9 (H3 K9me3) and monomethylation of H3 lysine 27 (H3 K27me1), define genomic regions of constitutive heterochromatin that are poor in activated genes. This enzyme is essential for development, with Suv420h1 knockout mice proving lethal perinatally and showing overall growth retardation. The RB1 family of proteins have been shown to interact with, and target, KMT5B to histones, enabling the enzyme to function.

Long Name

Histone-lysine N-methyltransferase KMT5B

Alternate Names

CGI-85, KMT5B, Suv4-20h1

Entrez Gene IDs

51111 (Human)

Gene Symbol

KMT5B

Additional SUV420h1 Products

Product Documents for SUV420h1 Antibody - BSA Free

Certificate of Analysis

To download a Certificate of Analysis, please enter a lot number in the search box below.

Product Specific Notices for SUV420h1 Antibody - BSA Free

This product is for research use only and is not approved for use in humans or in clinical diagnosis. Primary Antibodies are guaranteed for 1 year from date of receipt.

Loading...
Loading...
Loading...
Loading...