SUPT7L Antibody
Novus Biologicals, part of Bio-Techne | Catalog # NBP3-29036
Key Product Details
Species Reactivity
                  Human, Mouse
                
                                                                                        Applications
                  Immunohistochemistry, Immunoprecipitation, Western Blot
                
                                                              Label
            Unconjugated
          
        Antibody Source
            Polyclonal Rabbit IgG
          
        Concentration
            Please see the vial label for concentration. If unlisted please contact technical services.
          
        Product Specifications
Immunogen
                          between 364 and 414
                      
        Clonality
                          Polyclonal
                      
        Host
                          Rabbit
                      
        Isotype
                          IgG
                      
        Description
                          Novus Biologicals Rabbit SUPT7L Antibody (NBP3-29036) is a polyclonal antibody validated for use in IHC, WB and IP. All Novus Biologicals antibodies are covered by our 100% guarantee.
                      
        Scientific Data Images for SUPT7L Antibody
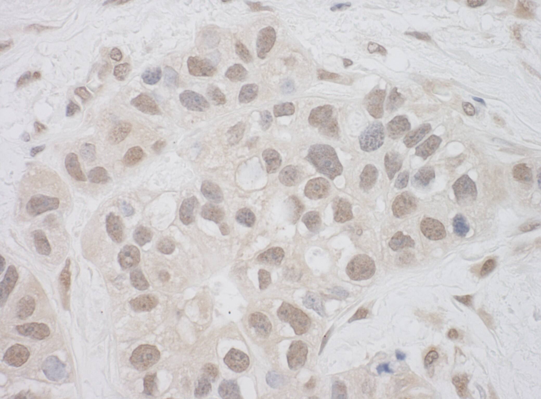
Immunohistochemistry:[NBP3-29036]-
Immunohistochemistry:[NBP3-29036]-Detection of human SUPT7L by immunohistochemistry. Sample: FFPE section of human breast carcinoma. Antibody: Affinity purified rabbit anti-SUPT7L used at a dilution of 1: 200 Detection: DABApplications for SUPT7L Antibody
          Application
        
        
          Recommended Usage
        
      Immunohistochemistry
                                                Optimal dilutions of this antibody should be experimentally determined.
                                                            
                  Immunoprecipitation
                                                Optimal dilutions of this antibody should be experimentally determined.
                                                            
                  Western Blot
                                                Optimal dilutions of this antibody should be experimentally determined.
                                                            
                  Formulation, Preparation, and Storage
Purification
                          Affinity purified
                      
        Formulation
                          Tris-buffered Saline  0.1% BSA
                      
        Preservative
                          0.09% Sodium Azide
                      
        Concentration
                          Please see the vial label for concentration. If unlisted please contact technical services.
                      
        Shipping
                          The product is shipped with polar packs. Upon receipt, store it immediately at the temperature recommended below.
                      
        Stability & Storage
                          Store at 4C. Do not freeze.
                      
        Background: SUPT7L
Alternate Names
            adenocarcinoma antigen ART1, KIAA0764, MGC90306, SPT7L, STAF65, STAF65(gamma), STAF65G, STAF65gamma, STAGA complex 65 gamma subunit, STAGA complex 65 subunit gamma, suppressor of Ty 7 (S. cerevisiae)-like, SUPT7H
          
        Gene Symbol
            SUPT7L
          
        Additional SUPT7L Products
Product Specific Notices for SUPT7L Antibody
This product is for research use only and is not approved for use in humans or in clinical diagnosis. Primary Antibodies are guaranteed for 1 year from date of receipt.
    Loading...
  
    Loading...
  
    Loading...
  
Loading...
![Immunohistochemistry:[NBP3-29036]- SUPT7L Antibody](https://resources.bio-techne.com/images/products/nbp3-29036_rabbit-supt7l-pab-231202512101673.jpg)