Skip to main content

SUMO2 Antibody - BSA Free

Novus Biologicals, part of Bio-Techne | Catalog # NBP1-77163

Novus Biologicals, part of Bio-Techne
Catalog #
Availability
Size / Price
Qty
Loading...
NBP1-77163-0.025mg
NBP1-77163
Conjugate
Catalog #

Key Product Details

Species Reactivity

Validated:

Human, Mouse, Rat

Cited:

Human

Predicted:

Bovine (100%), Chicken (93%), Porcine (93%). Backed by our 100% Guarantee.

Applications

Validated:

Immunohistochemistry, Immunohistochemistry-Paraffin, Western Blot, ELISA, Immunocytochemistry/ Immunofluorescence, Proximity Ligation Assay

Cited:

Immunocytochemistry/ Immunofluorescence, Immunoprecipitation

Label

Unconjugated

Antibody Source

Polyclonal Rabbit IgG

Format

BSA Free

Concentration

1 mg/ml

Product Specifications

Immunogen

Antibody was raised against a 15 amino acid synthetic peptide near the carboxy terminus of human SUMO2. The immunogen is located within the last 50 amino acids of SUMO2/3. Amino Acid Squence: DGQPINETDTPAQLE

Clonality

Polyclonal

Host

Rabbit

Isotype

IgG

Theoretical MW

15 kDa.
Disclaimer note: The observed molecular weight of the protein may vary from the listed predicted molecular weight due to post translational modifications, post translation cleavages, relative charges, and other experimental factors.

Scientific Data Images for SUMO2 Antibody - BSA Free

Western Blot: SUMO2 AntibodyBSA Free [NBP1-77163]

Western Blot: SUMO2 AntibodyBSA Free [NBP1-77163]

Western Blot: SUMO2 Antibody [NBP1-77163] - Analysis of SUMO2/3 in Jurkat cell lysate with SUMO2/3 antibody at (A) 1 and (B) 2 ug/mL.
SUMO2 Antibody - BSA Free

Immunocytochemistry/ Immunofluorescence: SUMO2 Antibody - BSA Free [NBP1-77163] -

Immunocytochemistry/ Immunofluorescence: SUMO2 Antibody - BSA Free [NBP1-77163] - Immunofluorescence of SUMO2/3 in rat liver tissue with SUMO2/3 antibody at 20 u/mL.
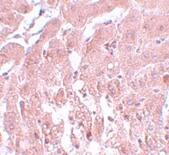
SUMO2 Antibody - BSA Free

Immunohistochemistry: SUMO2 Antibody - BSA Free [NBP1-77163] -

Immunohistochemistry: SUMO2 Antibody - BSA Free [NBP1-77163] - Immunohistochemistry of SUMO2/3 in rat liver tissue with SUMO2/3 antibody at 5 u/mL.

Applications for SUMO2 Antibody - BSA Free

Application
Recommended Usage

ELISA

1:100-1:2000

Immunocytochemistry/ Immunofluorescence

20 ug/ml

Immunohistochemistry

5 ug/ml

Immunohistochemistry-Paraffin

5 ug/ml

Western Blot

1-2 ug/ml
Application Notes
Use in PLA reported in secitific publication PMID: 32690953

Formulation, Preparation, and Storage

Purification

Peptide affinity purified

Formulation

PBS

Format

BSA Free

Preservative

0.02% Sodium Azide

Concentration

1 mg/ml

Shipping

The product is shipped with polar packs. Upon receipt, store it immediately at the temperature recommended below.

Stability & Storage

Store at 4C.

Background: SUMO2

Small ubiquitin-like modifiers (SUMOs) are a family of small, related proteins (Sumo-1/2/3/4) that can be enzymatically attached to a target protein by a post-translational modification process termed sumoylation, which is a major regulator of protein function in cellular processes such as nuclear transport, transcriptional regulation, apoptosis and protein stability. All SUMO proteins localize to the nucleus and are covalently conjugated, affecting protein structure, function and interactions. SUMO2 and 3 are 96% identical and are more mobile within nucleus relative to SUMO1. Specific functional differences between SUMO1 and SUMO2 and 3 remain to be identified.

Long Name

Small Ubiquitin-like Modifier 2

Alternate Names

Sentrin-2, SMT3B, SMT3H2

Gene Symbol

SUMO2

Additional SUMO2 Products

Product Documents for SUMO2 Antibody - BSA Free

Certificate of Analysis

To download a Certificate of Analysis, please enter a lot number in the search box below.

Product Specific Notices for SUMO2 Antibody - BSA Free

This product is for research use only and is not approved for use in humans or in clinical diagnosis. Primary Antibodies are guaranteed for 1 year from date of receipt.

Loading...
Loading...
Loading...
Loading...