Skip to main content

SUMO2 Antibody (SUMO2/1199)

Novus Biologicals, part of Bio-Techne | Catalog # NBP2-44477

Novus Biologicals, part of Bio-Techne
Catalog #
Availability
Size / Price
Qty
Loading...
NBP2-44477-0.1mg
NBP2-44477-0.02mg

Key Product Details

Species Reactivity

Validated:

Human, Rat

Cited:

Rat

Applications

Validated:

Immunohistochemistry, Immunohistochemistry-Paraffin, Flow Cytometry, Immunofluorescence, Immunocytochemistry/ Immunofluorescence

Cited:

Immunocytochemistry

Label

Unconjugated

Antibody Source

Monoclonal Mouse IgG1 kappa Clone # SUMO2/1199

Concentration

0.2 mg/ml

Product Specifications

Immunogen

Recombinant human SUMO2 protein (Uniprot: P55854)

Reactivity Notes

Predicted to show a broad species reactivity.

Localization

Nuclear

Clonality

Monoclonal

Host

Mouse

Isotype

IgG1 kappa

Description

200ug/ml of antibody purified from Bioreactor Concentrate by Protein A or G. Prepared in 10 mM PBS with 0.05% BSA & 0.05% azide. Also available WITHOUT BSA & azide at 1.0 mg/ml. (NBP2-47710)

Antibody with azide - store at 2 to 8C. Antibody without azide - store at -20 to -80C.

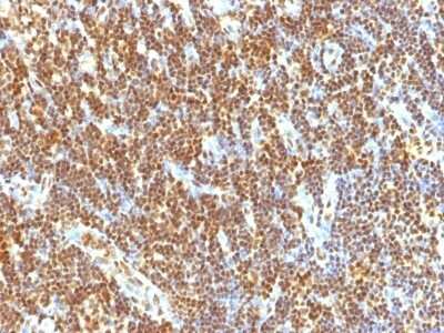
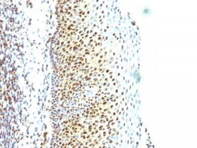
Scientific Data Images for SUMO2 Antibody (SUMO2/1199)

Immunohistochemistry-Paraffin: SUMO2 Antibody (SUMO2/1199) [NBP2-44477]

Immunohistochemistry-Paraffin: SUMO2 Antibody (SUMO2/1199) [NBP2-44477]

Immunohistochemistry-Paraffin: SUMO2 Antibody (SUMO2/1199) [NBP2-44477] - Rat Ovary stained with SUMO-2 Monoclonal Antibody (SUMO2/1199)
Immunohistochemistry-Paraffin: SUMO2 Antibody (SUMO2/1199) [NBP2-44477]

Immunohistochemistry-Paraffin: SUMO2 Antibody (SUMO2/1199) [NBP2-44477]

Immunohistochemistry-Paraffin: SUMO2 Antibody (SUMO2/1199) [NBP2-44477] - Human Ovarian Carcinoma stained with SUMO-2 Monoclonal Antibody (SUMO2/1199)
Immunohistochemistry-Paraffin: SUMO2 Antibody (SUMO2/1199) [NBP2-44477]

Immunohistochemistry-Paraffin: SUMO2 Antibody (SUMO2/1199) [NBP2-44477]

Immunohistochemistry-Paraffin: SUMO2 Antibody (SUMO2/1199) [NBP2-44477] - Human Testicular Carcinoma stained with SUMO-2 Monoclonal Antibody (SUMO2/1199)

Applications for SUMO2 Antibody (SUMO2/1199)

Application
Recommended Usage

Flow Cytometry

1-2 ug/million cells

Immunocytochemistry/ Immunofluorescence

1-2 ug/ml

Immunofluorescence

0.5 - 1.0 ug/ml

Immunohistochemistry-Paraffin

1-2 ug/ml
Application Notes
Immunohistochemistry (Formalin-fixed): 1-2ug/ml for 30 minutes at RT. Staining of formalin-fixed tissues requires heating tissue sections in 10mM Tris with 1mM EDTA, pH 9.0, for 45 min at 95C followed by cooling at RT for 20 minutes.
Optimal dilution for a specific application should be determined.

Formulation, Preparation, and Storage

Purification

Protein A or G purified

Formulation

10 mM PBS with 0.05% BSA

Preservative

0.05% Sodium Azide

Concentration

0.2 mg/ml

Shipping

The product is shipped with polar packs. Upon receipt, store it immediately at the temperature recommended below.

Stability & Storage

Store at 4C.

Background: SUMO2

Function: Ubiquitin-like protein which can be covalently attached to target lysines either as a monomer or as a lysine-linked polymer. Does not seem to be involved in protein degradation and may function as an antagonist of ubiquitin in the degradation process. Plays a role in a number of cellular processes such as nuclear transport, DNA replication and repair, mitosis and signal transduction. Covalent attachment to its substrates requires prior activation by the E1 complex SAE1-SAE2 and linkage to the E2 enzyme UBE2I, and can be promoted by an E3 ligase such as PIAS1-4, RANBP2 or CBX4; Subcellular location: Nucleus

Long Name

Small Ubiquitin-like Modifier 2

Alternate Names

Sentrin-2, SMT3B, SMT3H2

Gene Symbol

SUMO2

UniProt

Additional SUMO2 Products

Product Documents for SUMO2 Antibody (SUMO2/1199)

Certificate of Analysis

To download a Certificate of Analysis, please enter a lot number in the search box below.

Product Specific Notices for SUMO2 Antibody (SUMO2/1199)

This product is for research use only and is not approved for use in humans or in clinical diagnosis. Primary Antibodies are guaranteed for 1 year from date of receipt.

Loading...
Loading...
Loading...
Loading...
Loading...