Skip to main content

SUMO1 Antibody (SM1/495)

Novus Biologicals, part of Bio-Techne | Catalog # NBP2-32901

Novus Biologicals, part of Bio-Techne
Catalog #
Availability
Size / Price
Qty
Loading...
NBP2-32901-0.02mg
NBP2-32901-0.1mg
Conjugate
Catalog #

Key Product Details

Species Reactivity

Validated:

Human, Rat

Cited:

Rat

Applications

Validated:

Immunohistochemistry, Immunohistochemistry-Paraffin, Western Blot, Flow Cytometry, Immunocytochemistry/ Immunofluorescence

Cited:

IF/IHC

Label

Unconjugated

Antibody Source

Monoclonal Mouse IgG1 kappa Clone # SM1/495

Concentration

0.2 mg/ml

Product Specifications

Immunogen

Recombinant human SUMO1 protein (Uniprot: P63165)

Reactivity Notes

Predicted to show a broad species reactivity.

Localization

Predominantly nuclear with some cytoplasmic

Specificity

This monoclonal antibody is specific to SUMO-1 and shows no cross-reaction with either SUMO-2 or SUMO-3. The small ubiquitin-related modifier (SUMO) proteins, which include SUMO-1, SUMO-2 and SUMO-3, belong to the ubiquitin-like protein family. Like ubiquitin, the SUMO proteins are synthesized as precursor proteins that undergo processing before conjugation to target proteins. Also, both utilize the E1, E2, and E3 cascade enzymes for conjugation. However, SUMO and ubiquitin differ with respect to targeting. Ubiquitination predominantly targets proteins for degradation, whereas sumoylation targets proteins to a variety of cellular processing, including nuclear transport, transcriptional regulation, apoptosis and protein stability. The unconjugated SUMO-1 protein localizes to the nuclear membrane.

Clonality

Monoclonal

Host

Mouse

Isotype

IgG1 kappa

Description

200ug/ml of antibody purified from Bioreactor Concentrate by Protein A or G. Prepared in 10 mM PBS with 0.05% BSA & 0.05% azide. Also available WITHOUT BSA & azide at 1.0 mg/ml. (NBP2-34716)

Antibody with azide - store at 2 to 8C. Antibody without azide - store at -20 to -80C.

Scientific Data Images for SUMO1 Antibody (SM1/495)

Western Blot: SUMO1 Antibody (SM1/495) [NBP2-32901]

Western Blot: SUMO1 Antibody (SM1/495) [NBP2-32901]

Western Blot: SUMO1 Antibody (SM1/495) [NBP2-32901] - Analysis using the Azide and BSA Free version of NBP2-32901. Detection of SUMO1 in human HeLa Cell lysate.
Immunocytochemistry/ Immunofluorescence: SUMO1 Antibody (SM1/495) [NBP2-32901]

Immunocytochemistry/ Immunofluorescence: SUMO1 Antibody (SM1/495) [NBP2-32901]

Immunocytochemistry/Immunofluorescence: SUMO1 Antibody (SM1/495) [NBP2-32901] - Paraformaldehyde-fixed HepG2 cells stained with SUMO1 Antibody (SM1/495)followed by goat anti-Mouse IgG-CF488 (Green). Cell membranes are stained with Phalloidin (red).
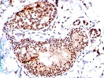
Immunohistochemistry-Paraffin: SUMO1 Antibody (SM1/495) [NBP2-32901]

Immunohistochemistry-Paraffin: SUMO1 Antibody (SM1/495) [NBP2-32901]

Immunohistochemistry-Paraffin: SUMO1 Antibody (SM1/495) [NBP2-32901] - Formalin-fixed, paraffin-embedded human tonsil stained with SUMO-1 MAb (SM1/495)

Applications for SUMO1 Antibody (SM1/495)

Application
Recommended Usage

Flow Cytometry

1-2 ug/million cells

Immunocytochemistry/ Immunofluorescence

1-2 ug/ml

Immunohistochemistry-Paraffin

1-2 ug/ml

Western Blot

1-2 ug/ml
Application Notes
Immunohistochemistry (Formalin-fixed): 1-2ug/ml for 30 minutes at RT. Staining of formalin-fixed tissues requires heating tissue sections in 10mM Tris with 1mM EDTA, pH 9.0, for 45 min at 95C followed by cooling at RT for 20 minutes.
Optimal dilution for a specific application should be determined.

Reviewed Applications

Read 1 review rated 4 using NBP2-32901 in the following applications:

Formulation, Preparation, and Storage

Purification

Protein A or G purified

Formulation

10 mM PBS with 0.05% BSA

Preservative

0.05% Sodium Azide

Concentration

0.2 mg/ml

Shipping

The product is shipped with polar packs. Upon receipt, store it immediately at the temperature recommended below.

Stability & Storage

Store at 4C.

Background: SUMO1

Sumo 1 is a ubiquitin-like protein which binds to a wide range of target proteins. Does not seem to be involved in protein degradation and may function as an antagonist of ubiquitin in the degradation process. Plays a role in a number of cellular processes such as nuclear transport, DNA replication and repair, mitosis and signal transduction. Involved in targeting RANGAP1 to the nuclear pore complex protein RANBP2. SUMO 1 is also known to form a complex with RanGAP1.

Long Name

Small Ubiquitin-like Modifier 1

Alternate Names

PIC1, Sentrin, SMT3C, SMT3H3, UBL1

Gene Symbol

SUMO1

UniProt

Additional SUMO1 Products

Product Documents for SUMO1 Antibody (SM1/495)

Certificate of Analysis

To download a Certificate of Analysis, please enter a lot number in the search box below.

Product Specific Notices for SUMO1 Antibody (SM1/495)

This product is for research use only and is not approved for use in humans or in clinical diagnosis. Primary Antibodies are guaranteed for 1 year from date of receipt.

Loading...
Loading...
Loading...
Loading...
Loading...