Skip to main content

Sulfatase 1 Antibody - BSA Free

Novus Biologicals, part of Bio-Techne | Catalog # NBP2-31584

Novus Biologicals, part of Bio-Techne
Catalog #
Availability
Size / Price
Qty
Loading...
NBP2-31584

Key Product Details

Species Reactivity

Human

Applications

Immunohistochemistry, Immunohistochemistry-Paraffin, Western Blot

Label

Unconjugated

Antibody Source

Polyclonal Rabbit IgG

Format

BSA Free

Concentration

Concentrations vary lot to lot. See vial label for concentration. If unlisted please contact technical services.

Product Specifications

Immunogen

This antibody was developed against a recombinant protein corresponding to amino acids: QPRNIAKRHDEGHKGPRDLQASSGGNRGRMLADSSNAVGPPTTVRVTHKCFILPNDSIHCERELYQSARAWKDHKAYIDKEIEALQD

Clonality

Polyclonal

Host

Rabbit

Isotype

IgG

Scientific Data Images for Sulfatase 1 Antibody - BSA Free

Western Blot: Sulfatase 1 Antibody [NBP2-31584]

Western Blot: Sulfatase 1 Antibody [NBP2-31584]

Western Blot: Sulfatase 1 Antibody [NBP2-31584] - Analysis in human cell line U-138MG.
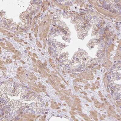
Immunohistochemistry-Paraffin: Sulfatase 1 Antibody [NBP2-31584]

Immunohistochemistry-Paraffin: Sulfatase 1 Antibody [NBP2-31584]

Immunohistochemistry-Paraffin: Sulfatase 1 Antibody [NBP2-31584] - Staining of human prostate shows moderate cytoplasmic positivity in smooth muscle cells.
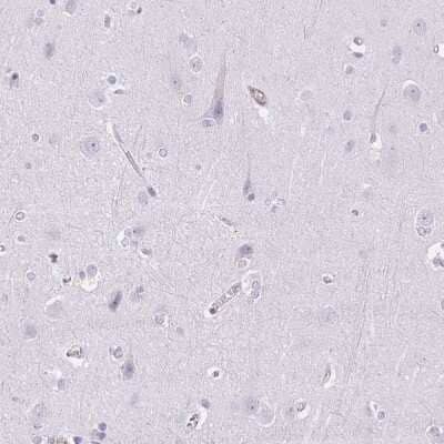
Immunohistochemistry-Paraffin: Sulfatase 1 Antibody [NBP2-31584]

Immunohistochemistry-Paraffin: Sulfatase 1 Antibody [NBP2-31584]

Immunohistochemistry-Paraffin: Sulfatase 1 Antibody [NBP2-31584] - Staining of human cerebral cortex shows no positivity in neurons as expected.

Applications for Sulfatase 1 Antibody - BSA Free

Application
Recommended Usage

Immunohistochemistry

1:200 - 1:500

Immunohistochemistry-Paraffin

1:200 - 1:500

Western Blot

0.04-0.4 ug/ml
Application Notes
For IHC-Paraffin, HIER pH 6 retrieval is recommended.

Formulation, Preparation, and Storage

Purification

Affinity purified

Formulation

PBS (pH 7.2) and 40% Glycerol

Format

BSA Free

Preservative

0.02% Sodium Azide

Concentration

Concentrations vary lot to lot. See vial label for concentration. If unlisted please contact technical services.

Shipping

The product is shipped with polar packs. Upon receipt, store it immediately at the temperature recommended below.

Stability & Storage

Store at 4C short term. Aliquot and store at -20C long term. Avoid freeze-thaw cycles.

Background: Sulfatase 1

Heparan sulfate proteoglycans (HSPGs) act as coreceptors for numerous heparin-binding growth factors and cytokines and are involved in cell signaling. Heparan sulfate 6-O-endosulfatases, such as SULF1, selectively remove 6-O-sulfate groups from heparan sulfate. This activity modulates the effects of heparan sulfate by altering binding sites for signaling molecules (Dai et al., 2005 [PubMed 16192265]).[supplied by OMIM]

Alternate Names

EC 3.1.6, EC 3.1.6.-, EC 3.1.6.14, extracellular sulfatase Sulf-1, FLJ30905, FLJ38022, FLJ41750, HSULF-1, KIAA1077sulfatase FP, SULF-1, sulfatase 1

Gene Symbol

SULF1

UniProt

Additional Sulfatase 1 Products

Product Documents for Sulfatase 1 Antibody - BSA Free

Certificate of Analysis

To download a Certificate of Analysis, please enter a lot number in the search box below.

Product Specific Notices for Sulfatase 1 Antibody - BSA Free

This product is for research use only and is not approved for use in humans or in clinical diagnosis. Primary Antibodies are guaranteed for 1 year from date of receipt.

Loading...
Loading...
Loading...
Loading...