Skip to main content

SUG1 Antibody

Novus Biologicals, part of Bio-Techne | Catalog # NB100-2572

Novus Biologicals, part of Bio-Techne
Catalog #
Availability
Size / Price
Qty
Loading...
NB100-2572

Key Product Details

Validated by

Independent Antibodies, Biological Validation

Species Reactivity

Validated:

Human, Mouse

Predicted:

Bovine (100%), Porcine (100%), Rat (100%). Backed by our 100% Guarantee.

Applications

Immunohistochemistry, Immunohistochemistry-Paraffin, Western Blot, Immunoprecipitation

Label

Unconjugated

Antibody Source

Polyclonal Rabbit IgG

Concentration

0.2 mg/ml

Product Specifications

Immunogen

The immunogen recognized by this antibody maps to a region between residue 1 and 50 of human Thyroid Receptor Interactor 1 using the numbering given in entry NP_002796.4 (GeneID 5705).

Clonality

Polyclonal

Host

Rabbit

Isotype

IgG

Description

Novus Biologicals Rabbit SUG1 Antibody (NB100-2572) is a polyclonal antibody validated for use in IHC, WB and IP. Anti-SUG1 Antibody: Cited in 1 publication. All Novus Biologicals antibodies are covered by our 100% guarantee.

Scientific Data Images for SUG1 Antibody

Western Blot: SUG1 Antibody [NB100-2572]

Western Blot: SUG1 Antibody [NB100-2572]

Western Blot: SUG1 Antibody [NB100-2572] - Detection of Human and Mouse SUG1 on HeLa whole cell lysate (5, 15, and 50 microgram), 293T (T; 50 microgram), and NIH3T3 (M; 50 microgram) using NB100-2572. SUG1 was also immunoprecipitated by rabbit SUG1 antibodies NB100-2573 and another SUG1 Ab.
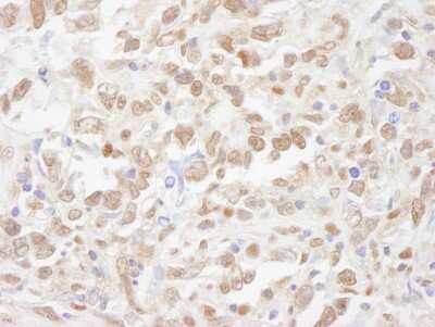
Immunohistochemistry-Paraffin: SUG1 Antibody [NB100-2572]

Immunohistochemistry-Paraffin: SUG1 Antibody [NB100-2572]

Immunohistochemistry-Paraffin: SUG1 Antibody [NB100-2572] - Sample: FFPE section of human metastatic lymph node. Antibody: Affinity purified rabbit anti- TRIP1(SUG1) used at a dilution of 1:200 (1ug/ml). Detection: DAB

Applications for SUG1 Antibody

Application
Recommended Usage

Immunohistochemistry

1:100-1:500

Immunohistochemistry-Paraffin

1:100-1:500

Immunoprecipitation

2-5 ug/mg lysate

Western Blot

1:2000-1:10000
Application Notes
Epitope retrieval with citrate buffer pH6.0 is recommended for FFPE tissue sections.

Formulation, Preparation, and Storage

Purification

Immunogen affinity purified

Formulation

TBS and 0.1% BSA

Preservative

0.09% Sodium Azide

Concentration

0.2 mg/ml

Shipping

The product is shipped with polar packs. Upon receipt, store it immediately at the temperature recommended below.

Stability & Storage

Store at 4C. Do not freeze.

Background: SUG1

TRIP15 is an essential component of the COP9 signalosome complex (CSN), a complex involved in various cellular and developmental processes. The CSN complex is an essential regulator of the ubiquitin (Ubl) conjugation pathway by mediating the deneddylation of the cullin subunits of SCF-type E3 ligase complexes. The complex is also involved in phosphorylation of p53/TP53, c-jun/JUN, IkappaBalpha/NFKBIA, ITPK1 and IRF8/ICSBP. TRIP15 is also involved in early stage of neuronal differentiation via its interaction with NIF3L1.

Alternate Names

MSUG1 protein, p45, p45/SUG26S protease regulatory subunit 8, proteasome (prosome, macropain) 26S subunit, ATPase, 5, proteasome 26S ATPase subunit 5, Proteasome 26S subunit ATPase 5, Proteasome subunit p45, S8, SUG-1, SUG126S proteasome AAA-ATPase subunit RPT6, Tat-binding protein homolog 10, TBP10, thyroid receptor interactor 1, TRIP1Thyroid hormone receptor-interacting protein 1

Entrez Gene IDs

5705 (Human); 19184 (Mouse)

Gene Symbol

PSMC5

Additional SUG1 Products

Product Documents for SUG1 Antibody

Certificate of Analysis

To download a Certificate of Analysis, please enter a lot number in the search box below.

Product Specific Notices for SUG1 Antibody

This product is for research use only and is not approved for use in humans or in clinical diagnosis. Primary Antibodies are guaranteed for 1 year from date of receipt.

Loading...
Loading...
Loading...
Loading...