Skip to main content

SUCLA2 Antibody - BSA Free

Novus Biologicals, part of Bio-Techne | Catalog # NBP1-85860

Novus Biologicals, part of Bio-Techne
Catalog #
Availability
Size / Price
Qty
Loading...
NBP1-85860
NBP1-85860-25ul

Key Product Details

Validated by

Independent Antibodies

Species Reactivity

Validated:

Human, Mouse

Predicted:

Rat (95%). Backed by our 100% Guarantee.

Applications

Immunohistochemistry, Immunohistochemistry-Paraffin, Western Blot, Simple Western

Label

Unconjugated

Antibody Source

Polyclonal Rabbit IgG

Format

BSA Free

Concentration

Concentrations vary lot to lot. See vial label for concentration. If unlisted please contact technical services.

Product Specifications

Immunogen

This antibody was developed against Recombinant Protein corresponding to amino acids: FGGIMRCDVIAQGIVMAVKDLEIKIPVVVRLQGTRVDDAKALIADSGLKILACDDLDEAARMVVKLSEIVTLAKQAHVDVKFQLP

Clonality

Polyclonal

Host

Rabbit

Isotype

IgG

Scientific Data Images for SUCLA2 Antibody - BSA Free

Immunohistochemistry-Paraffin: SUCLA2 Antibody [NBP1-85860]

Immunohistochemistry-Paraffin: SUCLA2 Antibody [NBP1-85860]

Immunohistochemistry-Paraffin: SUCLA2 Antibody [NBP1-85860] - Staining of human cerebral cortex, colon, kidney and lymph node using Anti-SUCLA2 antibody NBP1-85860 (A) shows similar protein distribution across tissues to independent antibody NBP2-55488 (B).
Immunohistochemistry-Paraffin: SUCLA2 Antibody [NBP1-85860]

Immunohistochemistry-Paraffin: SUCLA2 Antibody [NBP1-85860]

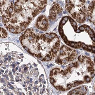
Immunohistochemistry-Paraffin: SUCLA2 Antibody [NBP1-85860] - Staining of human kidney.
Immunohistochemistry-Paraffin: SUCLA2 Antibody [NBP1-85860]

Immunohistochemistry-Paraffin: SUCLA2 Antibody [NBP1-85860]

Immunohistochemistry-Paraffin: SUCLA2 Antibody [NBP1-85860] - Staining of human cerebral cortex.

Applications for SUCLA2 Antibody - BSA Free

Application
Recommended Usage

Immunohistochemistry

1:200 - 1:500

Immunohistochemistry-Paraffin

1:200 - 1:500

Western Blot

0.04-0.4 ug/ml
Application Notes
For IHC-Paraffin, HIER pH 6 retrieval is recommended.
See Simple Western Antibody Database for Simple Western validation

Formulation, Preparation, and Storage

Purification

Affinity purified

Formulation

PBS (pH 7.2) and 40% Glycerol

Format

BSA Free

Preservative

0.02% Sodium Azide

Concentration

Concentrations vary lot to lot. See vial label for concentration. If unlisted please contact technical services.

Shipping

The product is shipped with polar packs. Upon receipt, store it immediately at the temperature recommended below.

Stability & Storage

Store at 4C short term. Aliquot and store at -20C long term. Avoid freeze-thaw cycles.

Background: SUCLA2

Succinyl-CoA synthetase (SCS) is a mitochondrial matrix enzyme that acts as a heterodimer, being composed of an invariant alpha subunit and a substrate-specific beta subunit. The protein encoded by this gene is an ATP-specific SCS beta subunit that dimerizes with the SCS alpha subunit to form SCS-A, an essential component of the tricarboxylic acid cycle. SCS-A hydrolyzes ATP to convert succinate to succinyl-CoA. Defects in this gene are a cause of myopathic mitochondrial DNA depletion syndrome. A pseudogene of this gene has been found on chromosome 6. (provided by RefSeq)

Alternate Names

A-BETA, ATP-specific succinyl-CoA synthetase subunit beta, beta subunit, EC 6.2.1, EC 6.2.1.5, mitochondrial succinyl-CoA ligase [ADP-forming] subunit beta, MTDPS5, Renal carcinoma antigen NY-REN-39, succinate-CoA ligase, ADP-forming, beta subunit, succinyl-CoA ligase [ADP-forming] subunit beta, mitochondrial

Gene Symbol

SUCLA2

Additional SUCLA2 Products

Product Documents for SUCLA2 Antibody - BSA Free

Certificate of Analysis

To download a Certificate of Analysis, please enter a lot number in the search box below.

Product Specific Notices for SUCLA2 Antibody - BSA Free

This product is for research use only and is not approved for use in humans or in clinical diagnosis. Primary Antibodies are guaranteed for 1 year from date of receipt.

Loading...
Loading...
Loading...
Loading...