STRA6 Antibody - Azide and BSA Free
Novus Biologicals, part of Bio-Techne | Catalog # H00064220-D01P
Key Product Details
Species Reactivity
Validated:
Human, Mouse, Yeast
Cited:
Human, Mouse
Applications
Validated:
Immunohistochemistry, Immunohistochemistry-Paraffin, Western Blot
Cited:
Immunohistochemistry-Paraffin, Western Blot, IF/IHC
Label
Unconjugated
Antibody Source
Polyclonal Rabbit IgG
Format
Azide and BSA Free
Concentration
Concentrations vary lot to lot. See vial label for concentration. If unlisted please contact technical services.
Product Specifications
Immunogen
STRA6 (AAH25256.1, 1 a.a. - 667 a.a.) full-length human protein. MSSQPAGNQTSPGATEDYSYGSWYIDEPQGGEELQPEGEVPSCHTSIPPGLYHACLASLSILVLLLLAMLVRRRQLWPDCVRGRPGLPSPVDFLAGDRPRAVPAAVFMVLLSSLCLLLPDEDALPFLTLASAPSQDGKTEAPRGAWKILGLFYYAALYYPLAACATAGHTAAHLLGSTLSWAHLGVQVWQRAECPQVPKIYKYYSLLASLPLLLGLGFLSLWYPVQLVRSFSRRTGAGSKGLQSSYSEEYLRNLLCRKKLGSSYHTSKHGFLSWARVCLRHCIYTPQPGFHLPLKLVLSATLTGTAIYQVALLLLVGVVPTIQKVRAGVTTDVSYLLASFGIVLSEDKQEVVELVKHHLWALEVCYISALVLSCLLTFLVLMRSLVTHRTNLRALHRGAALDLSPLHRSPHPSRQAIFCWMSFSAYQTAFICLGLLVQQIIFFLGTTALAFLVLMPVLHGRNLLLFRSLESSWPFWLTLALAVILQNMAAHWVFLETHDGHPQLTNRRVLYAATFLLFPLNVLVGAMVATWRVLLSALYNAIHLGQMDLSLLPPRAATLDPGYYTYRNFLKIEVSQSHPAMTAFCSLLLQAQSLLPRTMAAPQDSLRPGEEDEGMQLLQTKDSMAKGARPGASRGRARWGLAYTLLHNPTLQVFRKTALLGANGAQP
Specificity
Reacts with stimulated by retinoic acid gene 6 homolog (mouse).
Clonality
Polyclonal
Host
Rabbit
Isotype
IgG
Scientific Data Images for STRA6 Antibody - Azide and BSA Free
Western Blot: STRA6 Antibody [H00064220-D01P]
Western Blot: STRA6 Antibody [H00064220-D01P] - Analysis of STRA6 expression in mouse stomach.Western Blot: STRA6 Antibody [H00064220-D01P]
Western Blot: STRA6 Antibody [H00064220-D01P] - Analysis of STRA6 expression in transfected 293T cell line by STRA6 polyclonal antibody.Lane 1: STRA6 transfected lysate(73.50 KDa).Lane 2: Non-transfected lysate.Immunohistochemistry: STRA6 Antibody - Azide and BSA Free [H00064220-D01P] -
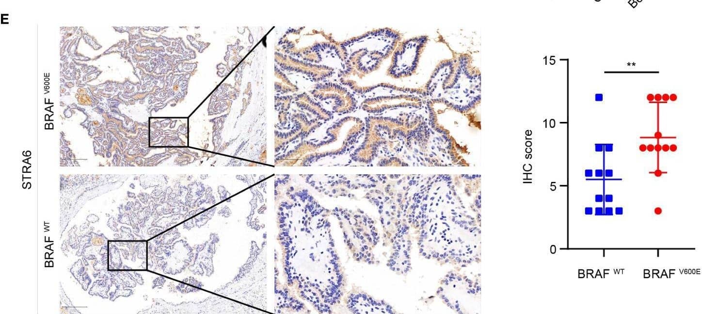
STRA6 is upregulated in BRAF-mutated PTC. (A) mRNA expression of STRA6 in various cancers according to the TCGA cohort. (B) STRA6 mRNA expression based on BRAF genotype in THCA cohort. (C) STRA6 mRNA expression of zebrafish thyroid tumors with oncogenic transfection gene in GSE199023. (D) mRNA abundance in FAH cohort with respect to different molecular subtypes. (E) Immunohistochemistry (IHC) staining of STRA6 protein level based on the BRAF mutation status in PTC samples. (*p < 0.05, **p < 0.01, ***p < 0.001. The data are shown as the mean +/- SD). Image collected and cropped by CiteAb from the following open publication (https://pubmed.ncbi.nlm.nih.gov/36843593), licensed under a CC-BY license. Not internally tested by Novus Biologicals.Applications for STRA6 Antibody - Azide and BSA Free
Application
Recommended Usage
Western Blot
1:100-1:2000
Application Notes
This antibody is reactive against tissue and transfected lysate in western blot, and as a detection antibody in ELISA. Use in Immunohistochemistry-Paraffin and Immunohistochemistry reported in scientific literature (PMID:31956331).
Formulation, Preparation, and Storage
Purification
Protein A purified
Formulation
PBS (pH 7.4)
Format
Azide and BSA Free
Preservative
No Preservative
Concentration
Concentrations vary lot to lot. See vial label for concentration. If unlisted please contact technical services.
Shipping
The product is shipped with polar packs. Upon receipt, store it immediately at the temperature recommended below.
Stability & Storage
Aliquot and store at -20C or -80C. Avoid freeze-thaw cycles.
Background: STRA6
Long Name
Stimulated by Retinoic Acid Gene 6 Protein Homolog
Alternate Names
MCOPS9
Entrez Gene IDs
64220 (Human)
Gene Symbol
STRA6
UniProt
Additional STRA6 Products
Product Documents for STRA6 Antibody - Azide and BSA Free
Product Specific Notices for STRA6 Antibody - Azide and BSA Free
This product is produced by and distributed for Abnova, a company based in Taiwan.
This product is for research use only and is not approved for use in humans or in clinical diagnosis. Primary Antibodies are guaranteed for 1 year from date of receipt.
Loading...
Loading...
Loading...
Loading...