Stonin-1 Antibody - BSA Free
Novus Biologicals, part of Bio-Techne | Catalog # NBP1-80795
Key Product Details
Species Reactivity
Validated:
Human
Cited:
Human
Applications
Validated:
Immunohistochemistry, Immunohistochemistry-Paraffin, Western Blot
Cited:
Immunocytochemistry/ Immunofluorescence
Label
Unconjugated
Antibody Source
Polyclonal Rabbit IgG
Format
BSA Free
Concentration
Concentrations vary lot to lot. See vial label for concentration. If unlisted please contact technical services.
Product Specifications
Immunogen
This antibody was developed against Recombinant Protein corresponding to amino acids: DSPLAISGGESSLLPTRPTCLSHALLPSDHSCTHPTPKVGLPDEVNPQQAESLGFQSDDLPQFQYFREDCAFSSPFWKDEGSDSHFTLDPPGSKKMFSSRNKEMPIDQKSLNKCSLNYICEKLEHLQSAENQDSLR
Clonality
Polyclonal
Host
Rabbit
Isotype
IgG
Scientific Data Images for Stonin-1 Antibody - BSA Free
Western Blot: Stonin-1 Antibody [NBP1-80795]
Western Blot: Stonin-1 Antibody [NBP1-80795] - Analysis in human cell line NTERA-2.Immunohistochemistry-Paraffin: Stonin-1 Antibody [NBP1-80795]
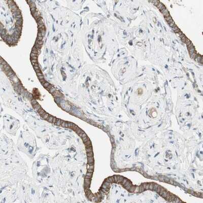
Immunohistochemistry-Paraffin: Stonin-1 Antibody [NBP1-80795] - Staining of human fallopian tube shows strong cytoplasmic positivity in glandular cells.Applications for Stonin-1 Antibody - BSA Free
Application
Recommended Usage
Immunohistochemistry
1:20 - 1:50
Immunohistochemistry-Paraffin
1:20 - 1:50
Western Blot
0.04-0.4 ug/ml
Application Notes
For IHC-Paraffin, HIER pH 6 retrieval is recommended.
Formulation, Preparation, and Storage
Purification
Affinity purified
Formulation
PBS (pH 7.2) and 40% Glycerol
Format
BSA Free
Preservative
0.02% Sodium Azide
Concentration
Concentrations vary lot to lot. See vial label for concentration. If unlisted please contact technical services.
Shipping
The product is shipped with polar packs. Upon receipt, store it immediately at the temperature recommended below.
Stability & Storage
Store at 4C short term. Aliquot and store at -20C long term. Avoid freeze-thaw cycles.
Background: Stonin-1
Alternate Names
DKFZp781K2462, FLJ95267, MGC149803, MGC149804, SALF, SBLFstoned-b1, STN1, STNB1, stoned B homolog 1, Stoned B-like factor, stonin 1, stonin-1
Entrez Gene IDs
11037 (Human)
Gene Symbol
STON1
UniProt
Additional Stonin-1 Products
Product Documents for Stonin-1 Antibody - BSA Free
Product Specific Notices for Stonin-1 Antibody - BSA Free
This product is for research use only and is not approved for use in humans or in clinical diagnosis. Primary Antibodies are guaranteed for 1 year from date of receipt.
Loading...
Loading...
Loading...
Loading...