STK39 Antibody - BSA Free
Novus Biologicals, part of Bio-Techne | Catalog # NBP1-76957
Conjugate
Catalog #
Key Product Details
Species Reactivity
Human, Mouse, Rat
Applications
Immunohistochemistry, Immunohistochemistry-Paraffin, Western Blot, ELISA
Label
Unconjugated
Antibody Source
Polyclonal Rabbit IgG
Format
BSA Free
Concentration
1 mg/ml
Product Specifications
Immunogen
Antibody was raised against a 18 amino acid synthetic peptide from near the center of human Stk39. The immunogen is located within amino acids 360 - 410 of Stk39. Amino Acid Squence: KTEDGDWEWSDDEMDEKS
Reactivity Notes
Immunogen displays the following percentage of sequence identity for non-tested species: Porcine (89%)
Clonality
Polyclonal
Host
Rabbit
Isotype
IgG
Description
Novus Biologicals Rabbit STK39 Antibody - BSA Free (NBP1-76957) is a polyclonal antibody validated for use in IHC, WB and ELISA. All Novus Biologicals antibodies are covered by our 100% guarantee.
Scientific Data Images for STK39 Antibody - BSA Free
Western Blot: STK39 AntibodyBSA Free [NBP1-76957]
Western Blot: STK39 Antibody [NBP1-76957] - Rat brain tissue lysate with STK39 antibody at (A) 1 and (B) 2 ug/mL.Immunohistochemistry: STK39 Antibody - BSA Free [NBP1-76957] -
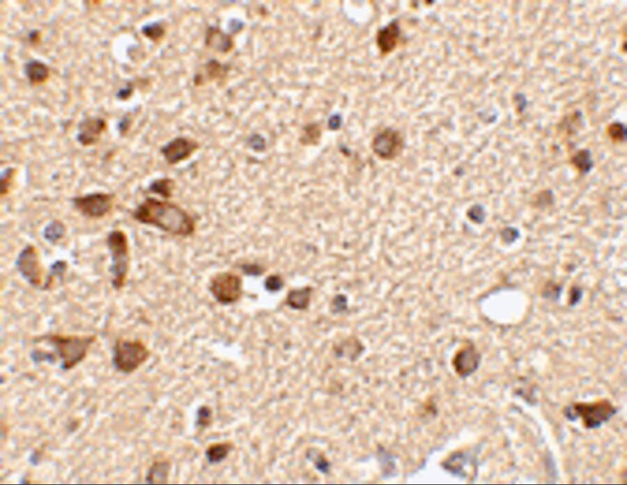
Immunohistochemistry: STK39 Antibody - BSA Free [NBP1-76957] - Immunohistochemistry of STK39 in human brain tissue with STK39 antibody at 2.5 ugmL.Applications for STK39 Antibody - BSA Free
Application
Recommended Usage
ELISA
1:100-1:2000
Immunohistochemistry
2.5 ug/ml
Immunohistochemistry-Paraffin
2.5 ug/ml
Western Blot
1-2 ug/ml
Formulation, Preparation, and Storage
Purification
Peptide affinity purified
Formulation
PBS
Format
BSA Free
Preservative
0.02% Sodium Azide
Concentration
1 mg/ml
Shipping
The product is shipped with polar packs. Upon receipt, store it immediately at the temperature recommended below.
Stability & Storage
Store at 4C short term. Aliquot and store at -20C long term. Avoid freeze-thaw cycles.
Background: STK39
Alternate Names
DCHTsmall intestine SPAK-like kinase, DKFZp686K05124, EC 2.7.11, EC 2.7.11.1, PASK, proline-alanine-rich STE20-related kinase, serine threonine kinase 39, Serine/threonine-protein kinase 39, SPAKserine threonine kinase 39 (STE20/SPS1 homolog, yeast), STE20/SPS1 homolog, STE20/SPS1-related proline-alanine-rich protein kinase, Ste20-like protein kinase, Ste-20-related kinase
Gene Symbol
STK39
UniProt
Additional STK39 Products
Product Documents for STK39 Antibody - BSA Free
Product Specific Notices for STK39 Antibody - BSA Free
This product is for research use only and is not approved for use in humans or in clinical diagnosis. Primary Antibodies are guaranteed for 1 year from date of receipt.
Loading...
Loading...
Loading...
Loading...