Skip to main content

STK39 Antibody (OTI4E3)

Novus Biologicals, part of Bio-Techne | Catalog # NBP1-48021

Novus Biologicals, part of Bio-Techne
Catalog #
Availability
Size / Price
Qty
Loading...
NBP1-48021

Key Product Details

Species Reactivity

Human, Mouse, Rat

Applications

Immunohistochemistry, Immunohistochemistry-Paraffin, Western Blot, Flow Cytometry, Immunocytochemistry/ Immunofluorescence

Label

Unconjugated

Antibody Source

Monoclonal Mouse IgG2B Clone # OTI4E3

Concentration

1 mg/ml

Product Specifications

Immunogen

Full length human recombinant protein of human STK39 (NP_037365) produced in HEK293T cell.

Reactivity Notes

Please note that this antibody is reactive to Mouse and derived from the same host, Mouse. Mouse-On-Mouse blocking reagent may be needed for IHC and ICC experiments to reduce high background signal. You can find these reagents under catalog numbers PK-2200-NB and MP-2400-NB. Please contact Technical Support if you have any questions.

Specificity

This antibody is specific for Homo sapiens serine threonine kinase 39 (STE20/SPS1 homolog, yeast) (STK39).

Clonality

Monoclonal

Host

Mouse

Isotype

IgG2B

Theoretical MW

59.3 kDa.
Disclaimer note: The observed molecular weight of the protein may vary from the listed predicted molecular weight due to post translational modifications, post translation cleavages, relative charges, and other experimental factors.

Description

Novus Biologicals Mouse STK39 Antibody (OTI4E3) (NBP1-48021) is a monoclonal antibody validated for use in IHC, WB, Flow and ICC/IF. Anti-STK39 Antibody: Cited in 1 publication. All Novus Biologicals antibodies are covered by our 100% guarantee.

Scientific Data Images for STK39 Antibody (OTI4E3)

Western Blot: STK39 Antibody (4E3) [NBP1-48021] Analysis of extracts (35ug) from 9 different cell lines by usin g anti-STK39 monoclonal antibody (HepG2: human; HeLa: human; SVT2: mouse; A549: human; COS7: monkey; Jurkat: human; MDCK: canine; PC12: rat; MCF7: human).
Immunocytochemistry/ Immunofluorescence: STK39 Antibody (OTI4E3) [NBP1-48021]

Immunocytochemistry/ Immunofluorescence: STK39 Antibody (OTI4E3) [NBP1-48021]

Immunocytochemistry/Immunofluorescence: STK39 Antibody (4E3) [NBP1-48021] - Immunofluorescent staining of COS7 cells using anti-STK39 mouse monoclonal antibody.
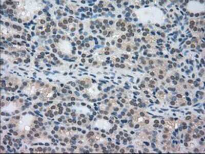
Immunohistochemistry-Paraffin: STK39 Antibody (OTI4E3) [NBP1-48021]

Immunohistochemistry-Paraffin: STK39 Antibody (OTI4E3) [NBP1-48021]

Immunohistochemistry-Paraffin: STK39 Antibody (4E3) [NBP1-48021] - Staining of paraffin-embedded Human Ovary tissue using anti-STK39 mouse monoclonal antibody.

Applications for STK39 Antibody (OTI4E3)

Application
Recommended Usage

Flow Cytometry

1:100

Immunocytochemistry/ Immunofluorescence

1:50

Immunohistochemistry

1:50

Immunohistochemistry-Paraffin

1:50

Western Blot

1:500-1000

Formulation, Preparation, and Storage

Purification

Immunogen affinity purified

Formulation

PBS (pH 7.3), 1.0% BSA and 50% Glycerol

Preservative

0.02% Sodium Azide

Concentration

1 mg/ml

Shipping

The product is shipped with polar packs. Upon receipt, store it immediately at the temperature recommended below.

Stability & Storage

Store at -20C. Avoid freeze-thaw cycles.

Background: STK39

This gene encodes a serine/threonine kinase that is thought to function in the cellular stress response pathway. The kinase is activated in response to hypotonic stress, leading to phosphorylation of several cation-chloride-coupled cotransporters. The catalytically active kinase specifically activates the p38 MAP kinase pathway, and its interaction with p38 decreases upon cellular stress, suggesting that this kinase may serve as an intermediate in the response to cellular stress.

Alternate Names

DCHTsmall intestine SPAK-like kinase, DKFZp686K05124, EC 2.7.11, EC 2.7.11.1, PASK, proline-alanine-rich STE20-related kinase, serine threonine kinase 39, Serine/threonine-protein kinase 39, SPAKserine threonine kinase 39 (STE20/SPS1 homolog, yeast), STE20/SPS1 homolog, STE20/SPS1-related proline-alanine-rich protein kinase, Ste20-like protein kinase, Ste-20-related kinase

Entrez Gene IDs

27347 (Human)

Gene Symbol

STK39

Additional STK39 Products

Product Documents for STK39 Antibody (OTI4E3)

Certificate of Analysis

To download a Certificate of Analysis, please enter a lot number in the search box below.

Product Specific Notices for STK39 Antibody (OTI4E3)

This product is for research use only and is not approved for use in humans or in clinical diagnosis. Primary Antibodies are guaranteed for 1 year from date of receipt.

Loading...
Loading...
Loading...
Loading...
Loading...