Skip to main content

STK35 Antibody

Novus Biologicals, part of Bio-Techne | Catalog # NB100-1393

Novus Biologicals, part of Bio-Techne
Catalog #
Availability
Size / Price
Qty
Loading...
NB100-1393

Key Product Details

Species Reactivity

Validated:

Human, Mouse, Porcine

Predicted:

Bovine (100%), Canine (100%), Rat (100%). Backed by our 100% Guarantee.

Applications

Immunohistochemistry, Immunohistochemistry-Paraffin, Western Blot, Peptide ELISA, Flow Cytometry, Immunocytochemistry/ Immunofluorescence

Label

Unconjugated

Antibody Source

Polyclonal Goat IgG

Concentration

0.5 mg/ml

Product Specifications

Immunogen

Peptide with sequence ELETRMDQVTCAA corresponding to C-Terminus according to NP_543026.2.

Clonality

Polyclonal

Host

Goat

Isotype

IgG

Scientific Data Images for STK35 Antibody

Western Blot: STK35 Antibody [NB100-1393]

Western Blot: STK35 Antibody [NB100-1393]

Western Blot: STK35 Antibody [NB100-1393] - Staining of nuclear HEK293 with antibody at 2 ug/mL (A) and Human Breast cancer with antibody at 1 ug/mL (B) lysate (35 ug protein in RIPA buffer). Detected by chemiluminescence.
Immunocytochemistry/ Immunofluorescence: STK35 Antibody [NB100-1393]

Immunocytochemistry/ Immunofluorescence: STK35 Antibody [NB100-1393]

Immunocytochemistry/Immunofluorescence: STK35 Antibody [NB100-1393] - Analysis of paraformaldehyde fixed U2OS cells, permeabilized with 0.15% Triton. Primary incubation 1hr (10 ug/mL) followed by Alexa Fluor 488 secondary antibody (2 ug/mL), showing nuclear staining. The nuclear stain is DAPI (blue). Negative control: Unimmunized goat IgG (10 ug/mL) followed by Alexa Fluor 488 secondary antibody (2 ug/mL).
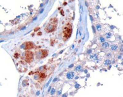
Immunohistochemistry-Paraffin: STK35 Antibody [NB100-1393]

Immunohistochemistry-Paraffin: STK35 Antibody [NB100-1393]

Immunohistochemistry-Paraffin: STK35 Antibody [NB100-1393] - Staining of Human Testis with antibody at 10 ug/mL. Microwaved antigen retrieval with Tris/EDTA buffer pH9, HRP-staining.

Applications for STK35 Antibody

Application
Recommended Usage

Immunocytochemistry/ Immunofluorescence

1:10 - 1:500

Immunohistochemistry

10 ug/mL

Immunohistochemistry-Paraffin

10 ug/mL

Peptide ELISA

Detection limit 1:16000

Western Blot

1 - 3 ug/mL

Formulation, Preparation, and Storage

Purification

Immunogen affinity purified

Formulation

Tris saline (20 mM Tris pH 7.3, 150 mM NaCl), 0.5% BSA

Preservative

0.02% Sodium Azide

Concentration

0.5 mg/ml

Shipping

The product is shipped with polar packs. Upon receipt, store it immediately at the temperature recommended below.

Stability & Storage

Store at -20C. Avoid freeze-thaw cycles.

Background: STK35

STK35 associates with the PDZ-LIM protein CLP36 through the LIM domain and undergoes autophosphorylation in vitro. STK35 localizes predominantly to the nucleus; however, cotransfection of STK35 with CLP36 demonstrated redistribution of STK35 to the cytoplasm and into actin stress fibers, where it colocalizes with CLP36. The presence of STK35 disrupted the periodic staining pattern of CLP36 in these fibers. It is suggested that CLP36 specifically targets STK35 to actin stress fibers and that STK35 may represent a regulator of the actomyosin cytoskeleton in nonmuscle cells.

Alternate Names

bA550O8.2, CLIK-1, CLIK1Serine/threonine-protein kinase 35 L1, CLP-36 interacting kinase, CLP-36-interacting kinase 1, EC 2.7.11, EC 2.7.11.1, PDIK1, PDLIM1-interacting kinase 1, serine threonine kinase 35 long form, serine/threonine kinase 35, serine/threonine-protein kinase 35, STK35L1

Entrez Gene IDs

140901 (Human); 67333 (Mouse)

Gene Symbol

STK35

Additional STK35 Products

Product Documents for STK35 Antibody

Certificate of Analysis

To download a Certificate of Analysis, please enter a lot number in the search box below.

Product Specific Notices for STK35 Antibody

This product is for research use only and is not approved for use in humans or in clinical diagnosis. Primary Antibodies are guaranteed for 1 year from date of receipt.

Loading...
Loading...
Loading...
Loading...
Loading...