Skip to main content

STK31 Antibody

Novus Biologicals, part of Bio-Techne | Catalog # NBP2-19305

Novus Biologicals, part of Bio-Techne
Catalog #
Availability
Size / Price
Qty
Loading...
NBP2-19305

Key Product Details

Species Reactivity

Human, Mouse

Applications

Immunohistochemistry, Immunohistochemistry-Paraffin, Western Blot

Label

Unconjugated

Antibody Source

Polyclonal Rabbit IgG

Concentration

Concentrations vary lot to lot. See vial label for concentration. If unlisted please contact technical services.

Product Specifications

Immunogen

Carrier-protein conjugated synthetic peptide encompassing a sequence within the C-terminus region of mouse STK31. The exact sequence is proprietary.

Reactivity Notes

Rat (88%).

Clonality

Polyclonal

Host

Rabbit

Isotype

IgG

Theoretical MW

115 kDa.
Disclaimer note: The observed molecular weight of the protein may vary from the listed predicted molecular weight due to post translational modifications, post translation cleavages, relative charges, and other experimental factors.

Description

Novus Biologicals Rabbit STK31 Antibody (NBP2-19305) is a polyclonal antibody validated for use in IHC and WB. All Novus Biologicals antibodies are covered by our 100% guarantee.

Scientific Data Images for STK31 Antibody

Western Blot: STK31 Antibody [NBP2-19305]

Western Blot: STK31 Antibody [NBP2-19305]

Western Blot: STK31 Antibody [NBP2-19305] - Sample (30 ug of whole cell lysate) A: AZ521 cell B: AZ521-Stk31-GFP C: AZ521-Stk31-Myc-His 5% SDS PAGE gel, diluted at 1:1000.
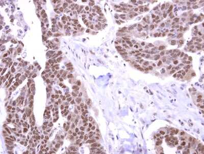
Immunohistochemistry-Paraffin: STK31 Antibody [NBP2-19305]

Immunohistochemistry-Paraffin: STK31 Antibody [NBP2-19305]

Immunohistochemistry-Paraffin: STK31 Antibody [NBP2-19305] - Stk31 antibody detects Stk31 protein at cytoplasm and nucleus on Ovarian carcinoma by immunohistochemical analysis. Sample: Paraffin-embedded Ovarian carcinoma. Stk31 antibody dilution: 1:500.

Applications for STK31 Antibody

Application
Recommended Usage

Immunohistochemistry

1:100-1:1000

Immunohistochemistry-Paraffin

1:100-1:1000

Western Blot

1:500-1:3000

Formulation, Preparation, and Storage

Purification

Antigen Affinity-purified

Formulation

PBS, 1% BSA, 20% Glycerol

Preservative

0.01% Thimerosal

Concentration

Concentrations vary lot to lot. See vial label for concentration. If unlisted please contact technical services.

Shipping

The product is shipped with polar packs. Upon receipt, store it immediately at the temperature recommended below.

Stability & Storage

Aliquot and store at -20C or -80C. Avoid freeze-thaw cycles.

Background: STK31

STK31 - serine/threonine kinase 31

Alternate Names

EC 2.7.11.1, FLJ16102, serine/threonine kinase 31, serine/threonine-protein kinase 31, Serine/threonine-protein kinase NYD-SPK, SgK396, Sugen kinase 396, TDRD8, tudor domain containing 8

Gene Symbol

STK31

Additional STK31 Products

Product Documents for STK31 Antibody

Certificate of Analysis

To download a Certificate of Analysis, please enter a lot number in the search box below.

Product Specific Notices for STK31 Antibody

This product is for research use only and is not approved for use in humans or in clinical diagnosis. Primary Antibodies are guaranteed for 1 year from date of receipt.

Loading...
Loading...
Loading...
Loading...

⚠ WARNING: This product can expose you to chemicals including mercury, which is known to the State of California to cause reproductive toxicity with developmental effects.  For more information go to www.P65Warnings.ca.gov.