STIM1 Antibody - BSA Free
Novus Biologicals, part of Bio-Techne | Catalog # NBP1-84322
Key Product Details
Validated by
Orthogonal Validation, Independent Antibodies
Species Reactivity
Validated:
Human, Mouse, Rat
Cited:
Mouse
Applications
Validated:
Immunohistochemistry, Immunohistochemistry-Paraffin, Western Blot, Immunocytochemistry/ Immunofluorescence
Cited:
IF/IHC
Label
Unconjugated
Antibody Source
Polyclonal Rabbit IgG
Format
BSA Free
Concentration
Concentrations vary lot to lot. See vial label for concentration. If unlisted please contact technical services.
Product Specifications
Immunogen
This antibody was developed against Recombinant Protein corresponding to amino acids: VHPGSLVEKLPDSPALAKKALLALNHGLDKAHSLMELSPSAPPGGSPHLDSSRSHSPSSPDPDTPSPVGDSRALQASRNTRIPHLAGKKAVAEEDNGSIGEETDSSPGRKKFPLKIFK
Reactivity Notes
Mouse reactivity reported in scientific literature (PMID: 24621671).
Clonality
Polyclonal
Host
Rabbit
Isotype
IgG
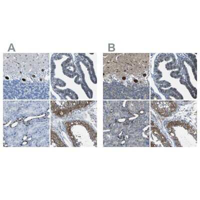
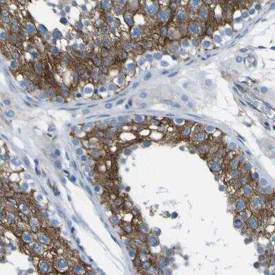
Scientific Data Images for STIM1 Antibody - BSA Free
Immunocytochemistry/ Immunofluorescence: STIM1 Antibody [NBP1-84322]
Immunocytochemistry/Immunofluorescence: STIM1 Antibody [NBP1-84322] - Staining of human cell line A549 shows localization to endoplasmic reticulum. Antibody staining is shown in green.Immunohistochemistry-Paraffin: STIM1 Antibody [NBP1-84322]
Immunohistochemistry-Paraffin: STIM1 Antibody [NBP1-84322] - Staining of human fallopian tube shows strong cytoplasmic positivity in glandular cells.Western Blot: STIM1 Antibody [NBP1-84322]
Western Blot: STIM1 Antibody [NBP1-84322] - Analysis in mouse cell line NIH-3T3 and rat cell line NBT-II.Applications for STIM1 Antibody - BSA Free
Application
Recommended Usage
Immunocytochemistry/ Immunofluorescence
0.25-2 ug/ml
Immunohistochemistry
1:500 - 1:1000
Immunohistochemistry-Paraffin
1:500 - 1:1000
Western Blot
0.04-0.4 ug/ml
Application Notes
IHC reported in scientific literature (PMID: 24621671). For IHC-Paraffin, HIER pH 6 retrieval is recommended. ICC/IF Fixation Permeabilization: Use PFA/Triton X-100.
Formulation, Preparation, and Storage
Purification
Affinity purified
Formulation
PBS (pH 7.2) and 40% Glycerol
Format
BSA Free
Preservative
0.02% Sodium Azide
Concentration
Concentrations vary lot to lot. See vial label for concentration. If unlisted please contact technical services.
Shipping
The product is shipped with polar packs. Upon receipt, store it immediately at the temperature recommended below.
Stability & Storage
Store at 4C short term. Aliquot and store at -20C long term. Avoid freeze-thaw cycles.
Background: STIM1
Long Name
Stromal Interaction Molecule 1
Alternate Names
GOK
Gene Symbol
STIM1
Additional STIM1 Products
Product Documents for STIM1 Antibody - BSA Free
Product Specific Notices for STIM1 Antibody - BSA Free
This product is for research use only and is not approved for use in humans or in clinical diagnosis. Primary Antibodies are guaranteed for 1 year from date of receipt.
Loading...
Loading...
Loading...
Loading...