Skip to main content

STIM1 Antibody - BSA Free

Novus Biologicals, part of Bio-Techne | Catalog # NBP1-76789

Novus Biologicals, part of Bio-Techne

Key Product Details

Species Reactivity

Validated:

Human, Mouse, Rat

Predicted:

Bovine (100%). Backed by our 100% Guarantee.

Applications

Immunohistochemistry, Immunohistochemistry-Paraffin, Western Blot, ELISA, Immunocytochemistry/ Immunofluorescence

Label

Unconjugated

Antibody Source

Polyclonal Rabbit IgG

Format

BSA Free

Concentration

1 mg/ml

Product Specifications

Immunogen

Antibody was raised against a 24 amino acid synthetic peptide from near the carboxy terminus of human STIM1. The immunogen is located within the last 50 amino acids of STIM1. Amino Acid Squence: CAEEDNGSIGEETDSSPGRKKFPLK

Specificity

At least two isoforms of STIM1 are known to exist; this antibody will detect only the larger form. This STIM1 antibody is predicted to have no cross-reactivity to STIM2.

Clonality

Polyclonal

Host

Rabbit

Isotype

IgG

Theoretical MW

88 kDa.
Disclaimer note: The observed molecular weight of the protein may vary from the listed predicted molecular weight due to post translational modifications, post translation cleavages, relative charges, and other experimental factors.

Scientific Data Images for STIM1 Antibody - BSA Free

Western Blot: STIM1 AntibodyBSA Free [NBP1-76789]

Western Blot: STIM1 AntibodyBSA Free [NBP1-76789]

Western Blot: STIM1 Antibody [NBP1-76789] - Mouse thymus tissue lysate with STIM1 antibody at (A) 1 and (B) 2 ug/mL.
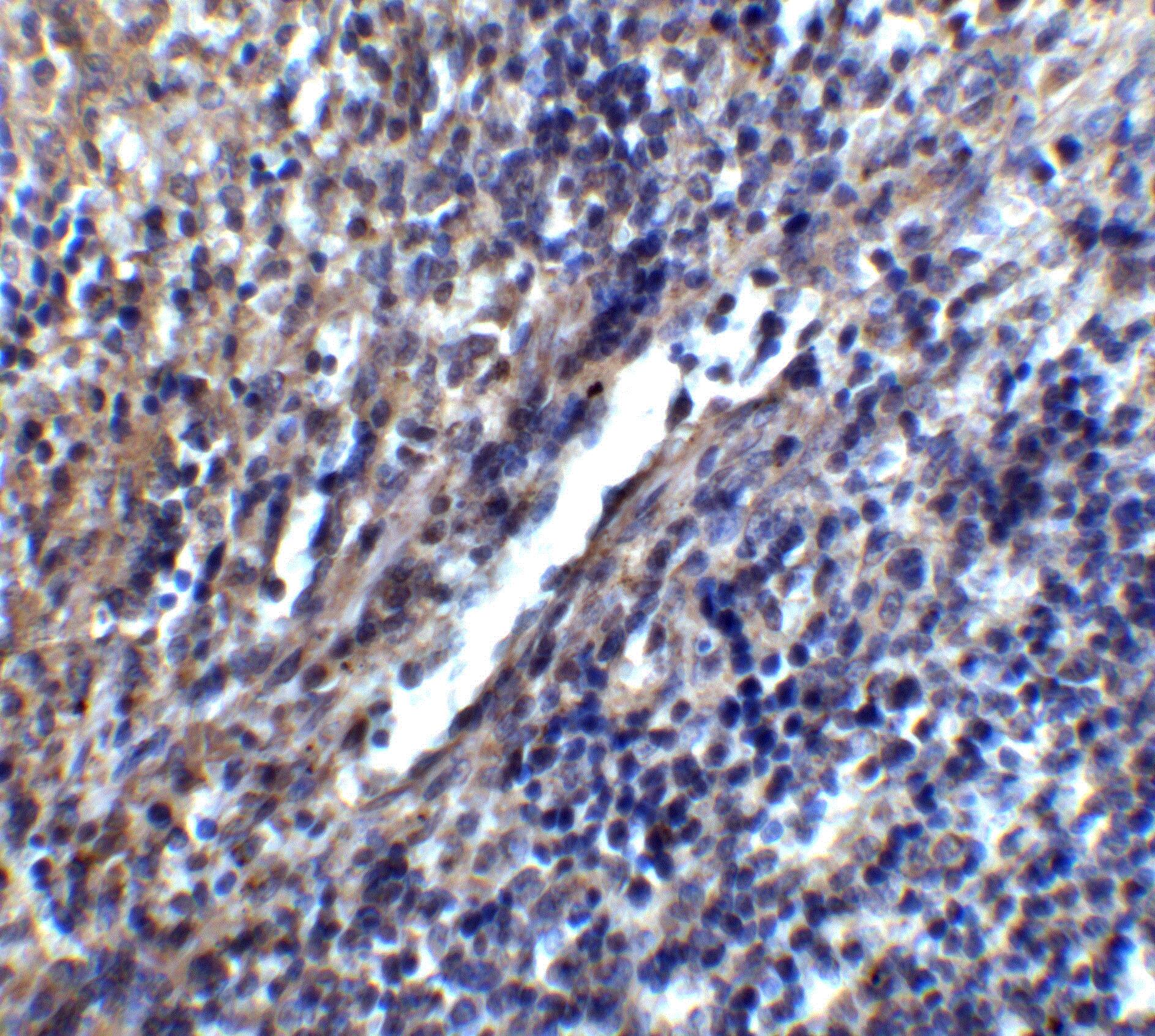
Immunohistochemistry-Paraffin: STIM1 Antibody - BSA Free [NBP1-76789]

Immunohistochemistry-Paraffin: STIM1 Antibody - BSA Free [NBP1-76789]

Immunohistochemistry-Paraffin: STIM1 Antibody [NBP1-76789] - Human spleen tissue with Stromal interaction molecule 1 antibody at 2.5 ug/ml.
STIM1 Antibody - BSA Free

Immunocytochemistry/ Immunofluorescence: STIM1 Antibody - BSA Free [NBP1-76789] -

Immunocytochemistry/ Immunofluorescence: STIM1 Antibody - BSA Free [NBP1-76789] - Immunofluorescence of STIM1 in Hek293 cells with STIM1 antibody at 20 u/mL.

Red: STIM1 Antibody
Blue: DAPI staining

Applications for STIM1 Antibody - BSA Free

Application
Recommended Usage

ELISA

1:100-1:2000

Immunohistochemistry

2.5 ug/ml

Immunohistochemistry-Paraffin

2.5 ug/ml

Western Blot

1-2 ug/ml

Formulation, Preparation, and Storage

Purification

Peptide affinity purified

Formulation

PBS

Format

BSA Free

Preservative

0.02% Sodium Azide

Concentration

1 mg/ml

Shipping

The product is shipped with polar packs. Upon receipt, store it immediately at the temperature recommended below.

Stability & Storage

Store at 4C short term. Aliquot and store at -20C long term. Avoid freeze-thaw cycles.

Background: STIM1

In T lymphocytes, the sole pathway for Ca++ entry following antigen-receptor binding is through store-operated Ca++-release-activated Ca++ (CRAC) channels. These channels are made up of the pore-forming subunit ORAI1 and the stromal interaction molecule 1 (STIM1), a protein that functions as a Ca++ sensor and activates the CRAC channels, migrating to the plasma membrane from endoplasmic reticulum (ER)-like sites which act as the Ca++ store. A related molecule, STIM2, acts to inhibit the STIM1-mediated store-operated Ca++ entry, and can form complexes with STIM1, suggesting they may play a coordinated role in controlling Ca++ entry. At least two isoforms of STIM1 are known to exist; this antibody will detect only the larger form. This STIM1 antibody is predicted to have no cross-reactivity to STIM2.

Long Name

Stromal Interaction Molecule 1

Alternate Names

GOK

Gene Symbol

STIM1

Additional STIM1 Products

Product Documents for STIM1 Antibody - BSA Free

Certificate of Analysis

To download a Certificate of Analysis, please enter a lot number in the search box below.

Product Specific Notices for STIM1 Antibody - BSA Free

This product is for research use only and is not approved for use in humans or in clinical diagnosis. Primary Antibodies are guaranteed for 1 year from date of receipt.

Loading...
Loading...
Loading...
Loading...