Skip to main content

STCH Antibody - BSA Free

Novus Biologicals, part of Bio-Techne | Catalog # NBP1-80715

Novus Biologicals, part of Bio-Techne
Catalog #
Availability
Size / Price
Qty
Loading...
NBP1-80715
NBP1-80715-25ul

Key Product Details

Species Reactivity

Validated:

Human

Cited:

Human

Applications

Validated:

Immunohistochemistry, Immunohistochemistry-Paraffin

Cited:

Western Blot, Immunocytochemistry/ Immunofluorescence

Label

Unconjugated

Antibody Source

Polyclonal Rabbit IgG

Format

BSA Free

Concentration

Concentrations vary lot to lot. See vial label for concentration. If unlisted please contact technical services.

Product Specifications

Immunogen

This antibody was developed against Recombinant Protein corresponding to amino acids: AYGLHKADVFHVLVIDLGGGTLDVSLLNKQGGMFLTRAMSGNNKLGGQDFNQRLLQYLYKQIYQTYGFVPSRKEEIHRLRQAVEMVKLNLTLHQSAQLSVLLTVEEQDRKEPHSSDTELPKDKLSSADDH

Reactivity Notes

Immunogen displays the following percentage of sequence identity for non-tested species: Mouse (85%), Rat (85%)

Clonality

Polyclonal

Host

Rabbit

Isotype

IgG

Description

Novus Biologicals Rabbit STCH Antibody - BSA Free (NBP1-80715) is a polyclonal antibody validated for use in IHC, WB and ICC/IF. Anti-STCH Antibody: Cited in 2 publications. All Novus Biologicals antibodies are covered by our 100% guarantee.

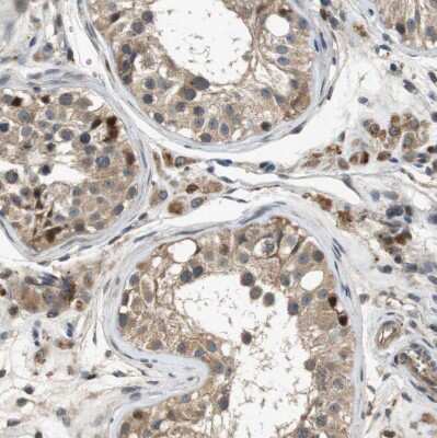
Scientific Data Images for STCH Antibody - BSA Free

Immunohistochemistry-Paraffin: STCH Antibody [NBP1-80715]

Immunohistochemistry-Paraffin: STCH Antibody [NBP1-80715]

Immunohistochemistry-Paraffin: STCH Antibody [NBP1-80715] - Staining of human small intestine shows moderate granular cytoplasmic positivity in glandular cells.
Immunohistochemistry-Paraffin: STCH Antibody [NBP1-80715]

Immunohistochemistry-Paraffin: STCH Antibody [NBP1-80715]

Immunohistochemistry-Paraffin: STCH Antibody [NBP1-80715] - Staining of human cerebral cortex shows strong granular cytoplasmic positivity in neuronal cells.
Immunohistochemistry-Paraffin: STCH Antibody [NBP1-80715]

Immunohistochemistry-Paraffin: STCH Antibody [NBP1-80715]

Immunohistochemistry-Paraffin: STCH Antibody [NBP1-80715] - Staining of human liver shows strong granular cytoplasmic positivity in hepatocytes.

Applications for STCH Antibody - BSA Free

Application
Recommended Usage

Immunohistochemistry

1:20 - 1:50

Immunohistochemistry-Paraffin

1:20 - 1:50
Application Notes
For IHC-Paraffin, HIER pH 6 retrieval is recommended.

Formulation, Preparation, and Storage

Purification

Affinity purified

Formulation

PBS (pH 7.2) and 40% Glycerol

Format

BSA Free

Preservative

0.02% Sodium Azide

Concentration

Concentrations vary lot to lot. See vial label for concentration. If unlisted please contact technical services.

Shipping

The product is shipped with polar packs. Upon receipt, store it immediately at the temperature recommended below.

Stability & Storage

Store at 4C short term. Aliquot and store at -20C long term. Avoid freeze-thaw cycles.

Background: STCH

STCH is encoded by this gene is a member of the heat shock protein 70 family and is found associated with microsomes. Members of this protein family play a role in the processing of cytosolic and secretory proteins, as well as in the removal of denatured or incorrectly-folded proteins. The encoded protein contains an ATPase domain and has been shown to associate with a ubiquitin-like protein. [provided by RefSeq]

Alternate Names

heat shock 70 kDa protein 13, heat shock protein 70kDa family, member 13, microsomal stress 70 protein ATPase core, Microsomal stress-70 protein ATPase core, STCHStress-70 protein chaperone microsome-associated 60 kDa protein, stress 70 protein chaperone, microsome-associated, 60kD, stress 70 protein chaperone, microsome-associated, 60kDa

Entrez Gene IDs

6782 (Human)

Gene Symbol

HSPA13

UniProt

Additional STCH Products

Product Documents for STCH Antibody - BSA Free

Certificate of Analysis

To download a Certificate of Analysis, please enter a lot number in the search box below.

Product Specific Notices for STCH Antibody - BSA Free

This product is for research use only and is not approved for use in humans or in clinical diagnosis. Primary Antibodies are guaranteed for 1 year from date of receipt.

Loading...
Loading...
Loading...
Loading...