Skip to main content

STAT6 Antibody - BSA Free

Novus Biologicals, part of Bio-Techne | Catalog # NB600-229

Novus Biologicals, part of Bio-Techne

Key Product Details

Validated by

Biological Validation

Species Reactivity

Human, Mouse

Applications

Immunohistochemistry, Immunohistochemistry-Paraffin, Western Blot, Immunoprecipitation

Label

Unconjugated

Antibody Source

Polyclonal Rabbit IgG

Format

BSA Free

Concentration

1.0 mg/ml

Product Specifications

Immunogen

The immunogen recognized by the STAT6 Antibody maps to a region between residue 600 and 650 of human Signal Transducer and Activator of Transcription 6 (NP_003144.3).

Clonality

Polyclonal

Host

Rabbit

Isotype

IgG

Theoretical MW

94 kDa.
Disclaimer note: The observed molecular weight of the protein may vary from the listed predicted molecular weight due to post translational modifications, post translation cleavages, relative charges, and other experimental factors.

Description

Novus Biologicals Rabbit STAT6 Antibody - BSA Free (NB600-229) is a polyclonal antibody validated for use in IHC, WB and IP. Anti-STAT6 Antibody: Cited in 2 publications. All Novus Biologicals antibodies are covered by our 100% guarantee.

Scientific Data Images for STAT6 Antibody - BSA Free

Western Blot: STAT6 Antibody [NB600-229]

Western Blot: STAT6 Antibody [NB600-229]

Western Blot: STAT6 Antibody [NB600-229] - Whole cell lysate from HeLa (15 and 50 ug), 293T (50ug), and mouse NIH3T3 (15 and 50 ug) cells. Antibody used at 0.1 ug/ml. Bands were detected near predicted molecular weight of 94 kDa for HeLa and NIH3T3 cells.
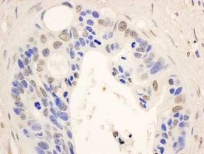
Immunohistochemistry-Paraffin: STAT6 Antibody [NB600-229]

Immunohistochemistry-Paraffin: STAT6 Antibody [NB600-229]

Immunohistochemistry-Paraffin: STAT6 Antibody [NB600-229] - Section of human ovarian carcinoma. Antibody: Affinity purified rabbit anti- STAT6 used at a dilution of 1:1,000 (1ug/ml). Detection: DAB
Immunoprecipitation: STAT6 Antibody [NB600-229]

Immunoprecipitation: STAT6 Antibody [NB600-229]

Immunoprecipitation: STAT6 Antibody [NB600-229] - Samples: Whole cell lysate (1 mg for IP; 20% of IP loaded) from HeLa cells used for IP at 6 ug/mg lysate. STAT6 was also immunoprecipitated by a previous lot of this antibody. For blotting immunoprecipitated STAT6, was used at 1 ug/ml. Detection: Chemiluminescence with an exposure time of 10 seconds.

Applications for STAT6 Antibody - BSA Free

Application
Recommended Usage

Immunohistochemistry

1:500 - 1:2000

Immunohistochemistry-Paraffin

1:500 - 1:2000

Immunoprecipitation

2-10 ug/ml

Western Blot

1:1000-1:10000
Application Notes
Epitope retrieval with citrate buffer pH6.0 is recommended for FFPE tissue sections.

Formulation, Preparation, and Storage

Purification

Immunogen affinity purified

Formulation

Tris-Citrate/Phosphate (pH 7.0 - 8.0)

Format

BSA Free

Preservative

0.09% Sodium Azide

Concentration

1.0 mg/ml

Shipping

The product is shipped with polar packs. Upon receipt, store it immediately at the temperature recommended below.

Stability & Storage

Store at 4C. Do not freeze.

Background: STAT6

Signal Transducer and Activator of Transcription 6 (STAT6) is a member of the Janus family tyrosine kinases (Jak)/ STAT signal transduction pathway and mediates cytokine signaling by IL 4 and IL-13 (1). STAT6 (predicted molecular weight 94kDa) has been found to induce the expression of BCL2L1/BCL-X(L), which is responsible for the anti-apoptotic activity of IL-4. In response to cytokines and growth factors, STAT family members are phosphorylated by the receptor associated kinases, and then form homo- or heterodimers that translocate to the cell nucleus where they act as transcription activators. STAT6 is tyrosine phosphorylated (Tyr641) in response to cellular interaction with IL-4. STAT6 mRNA has been detected in peripheral blood lymphocytes, colon, intestine, ovary, prostate, thymus, spleen, kidney, liver, lung and placenta. STAT6 is critically involved in Th2 and Th9 immune response (2). Loss of STAT6 impairs IL-4 mediated functions including Th2 helper T cell differentiation, expression of cell surface markers, T-cell proliferation, immunoglobulin class switching to IgE, and partial loss of IL-4 mediated proliferation. Diseases associated with STAT6 include malignant hemangiopericytoma and nut allergies.

References

1. Waqas, S. F. H., Ampem, G., & Roszer, T. (2019). Analysis of IL-4/STAT6 Signaling in Macrophages. Methods Mol Biol, 1966, 211-224. doi:10.1007/978-1-4939-9195-2_17

2. Goenka, S., & Kaplan, M. H. (2011). Transcriptional regulation by STAT6. Immunol Res, 50(1), 87-96. doi:10.1007/s12026-011-8205-2

Long Name

Signal Transducer and Activator of Transcription 6

Alternate Names

D12S1644, EC 2.4.1.227, EC 2.7.7.6, IL-4 Stat, IL-4-STAT, signal transducer and activator of transcription 6, signal transducer and activator of transcription 6, interleukin-4 induced, STAT, interleukin-4 induced, STAT, interleukin4-induced, STAT6B, STAT6C, transcription factor IL-4 STAT

Entrez Gene IDs

6778 (Human); 20852 (Mouse)

Gene Symbol

STAT6

UniProt

Additional STAT6 Products

Product Documents for STAT6 Antibody - BSA Free

Certificate of Analysis

To download a Certificate of Analysis, please enter a lot number in the search box below.

Product Specific Notices for STAT6 Antibody - BSA Free

This product is for research use only and is not approved for use in humans or in clinical diagnosis. Primary Antibodies are guaranteed for 1 year from date of receipt.

Loading...
Loading...
Loading...
Loading...