Skip to main content

STAT5A [p Tyr694] Antibody (5F6.F1) - BSA Free

Novus Biologicals, part of Bio-Techne | Catalog # NBP1-77817

Catalog #
Availability
Size / Price
Qty
Loading...
NBP1-77817

Key Product Details

Validated by

Biological Validation

Species Reactivity

Human, Mouse

Applications

Immunohistochemistry, Immunohistochemistry-Paraffin, Western Blot, ELISA, Immunocytochemistry/ Immunofluorescence

Label

Unconjugated

Antibody Source

Monoclonal Mouse IgG1 kappa Clone # 5F6.F1

Format

BSA Free

Concentration

Please see the vial label for concentration. If unlisted please contact technical services.

Product Specifications

Immunogen

STAT5AA [p Tyr694] antibody (5F6.F1) was produced by repeated immunizations with a synthetic peptide corresponding to residues surrounding Y694 of mouse STAT5Aa protein. (Uniprot: P42230)

Reactivity Notes

A BLAST analysis was used to suggest cross-reactivity with Stat5a from human, mouse and rat based on 100% homology with the immunizing sequence. Cross-reactivity with Stat5a from other sources has not been determined.

Modification

p Tyr694

Localization

Cytoplasm, Nucleus (upon phosphorylation at Tyr694)

Specificity

This antibody is specific for mouse Stat5a protein phosphorylated at Y694. A BLAST analysis was used to suggest cross-reactivity with Stat5a from human, mouse and rat based on 100% homology with the immunizing sequence. Cross-reactivity with Stat5a from other sources has not been determined.

Clonality

Monoclonal

Host

Mouse

Isotype

IgG1 kappa

Description

Phospho STAT5A was purified from concentrated tissue culture supernate by Protein A chromatography

Store this antibody at -20C prior to opening. Aliquot contents and freeze at -20C or below for extended storage. Avoid cycles of freezing and thawing. Centrifuge product if not completely clear after standing at room temperature. Phospho STAT5 antibody is stable for several weeks at 4C as an undiluted liquid. Dilute only prior to immediate use.

Scientific Data Images for STAT5A [p Tyr694] Antibody (5F6.F1) - BSA Free

Western Blot: STAT5A [p Tyr694] Antibody (5F6.F1) [NBP1-77817] - Stat5 pY694 antibody shows detection of phosphorylated Stat5 (indicated by arrowhead at ~91 kDa) in NK92 cells after 30 min treatment with 1Ku of IL-2 (lane 2). No reactivity is seen for non-phosphorylated Stat5 in untreated cells (lane 1). The membrane was probed with the primary antibody at a 1:1,000 dilution, overnight at 4C. For detection Dye light 800 conjugated Gt-a-Mouse IgG was used at a 1:20,000 dilution for 30 min at room temperature
Immunocytochemistry/Immunofluorescence: STAT5A [p Tyr694] Antibody (5F6.F1) [NBP1-77817] - Used at a 1:500 dilution detecting Stat5 in 3T3 cells (immunofluorescent STED microscopy). Red represents Stat5 pY694 protein. Green represents tubulin.
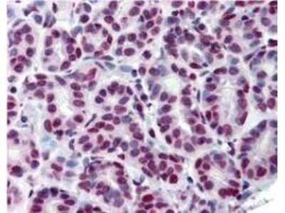
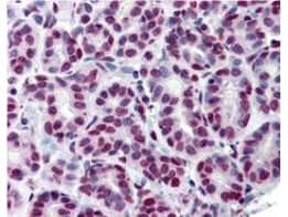
Immunohistochemistry: STAT5A [p Tyr694] Antibody (5F6.F1) [NBP1-77817] - Analysis of phosphorylated Stat5pY694 in human breast tissue (40X). The antibody was used at a dilution of 1 to 20 ug/mL. The image shows breast epithelium with moderate nuclear staining. Tissue was formalin fixed and paraffin embedded. No pre-treatment of sample was required. The image shows the localization of antibody as the precipitated red signal, with a hematoxylin purple nuclear counterstain.

Applications for STAT5A [p Tyr694] Antibody (5F6.F1) - BSA Free

Application
Recommended Usage

ELISA

1:20000

Immunocytochemistry/ Immunofluorescence

1:50-1:1000

Immunohistochemistry

20-40 ug/ml

Immunohistochemistry-Paraffin

20 ug/ml

Western Blot

1:500-1:2000
Application Notes
This product has been tested by ELISA, western blot, immunohistochemistry, and immunofluorescence. Specific conditions for reactivity should be optimized by the end user. Expect a band approximately 91 kDa in size corresponding to phosphorylated Stat5a protein by western blotting in the appropriate cell lysate or extract. This phospho-specific monoclonal antibody reacts with mouse Stat5a pY694 and shows minimal reactivity by ELISA against the non-phosphorylated form of the immunizing peptide.

Formulation, Preparation, and Storage

Purification

Protein A purified

Formulation

0.02 M Potassium Phosphate, 0.15 M Sodium Chloride, pH 7.2

Format

BSA Free

Preservative

0.01% Sodium Azide

Concentration

Please see the vial label for concentration. If unlisted please contact technical services.

Shipping

The product is shipped with polar packs. Upon receipt, store it immediately at the temperature recommended below.

Stability & Storage

Store at -20C. Avoid freeze-thaw cycles.

Background: STAT5a

Stat5 is part of a 7 protein family known as signal transducer and activator of transcription (STAT) which contributes to signal transduction by cytokine, hormone and growth factor (1). Signal transducer and activator of transcription 5 (Stat5) functions both in signal transduction and activation of transcription. It has been found that cytoplasmic Stat5 is translocated to the nucleus in response to phosphorylation. Stat5 225; tyrosine phosphorylation is activated predominantly by IL2 but also by IL-3, IL-5, IL-7, IL-9, IL-15, G-CSF andGM-CSF(2). Tyrosine phosphorylation is required for DNA-binding activity and dimerization. Serine phosphorylation is also required for maximal transcriptional activity. NCoA-1/SRC-1 acts as a coactivator for both the alpha- and beta-isoforms of Stat5 (3).

Long Name

Signal Transducer and Activator of Transcription 5

Alternate Names

MGF, signal transducer and activator of transcription 5A, STAT5

Gene Symbol

STAT5A

UniProt

Additional STAT5a Products

Product Documents for STAT5A [p Tyr694] Antibody (5F6.F1) - BSA Free

Certificate of Analysis

To download a Certificate of Analysis, please enter a lot number in the search box below.

Product Specific Notices for STAT5A [p Tyr694] Antibody (5F6.F1) - BSA Free

This product is for research use only and is not approved for use in humans or in clinical diagnosis. Primary Antibodies are guaranteed for 1 year from date of receipt.

Loading...
Loading...
Loading...
Loading...