Skip to main content

STAT4 Antibody (OTI2F3)

Novus Biologicals, part of Bio-Techne | Catalog # NBP2-00851

Novus Biologicals, part of Bio-Techne
Catalog #
Availability
Size / Price
Qty
Loading...
NBP2-00851

Key Product Details

Species Reactivity

Human, Mouse, Rat

Applications

Flow Cytometry, Immunocytochemistry/ Immunofluorescence, Immunohistochemistry, Immunohistochemistry-Paraffin, Western Blot

Label

Unconjugated

Antibody Source

Monoclonal Mouse IgG1 Clone # OTI2F3

Concentration

1 mg/ml

Product Specifications

Immunogen

Full length human recombinant protein of human STAT4(NP_003142) produced in HEK293T cell.

Reactivity Notes

Please note that this antibody is reactive to Mouse and derived from the same host, Mouse. Mouse-On-Mouse blocking reagent may be needed for IHC and ICC experiments to reduce high background signal. You can find these reagents under catalog numbers PK-2200-NB and MP-2400-NB. Please contact Technical Support if you have any questions.

Clonality

Monoclonal

Host

Mouse

Isotype

IgG1

Theoretical MW

85.8 kDa.
Disclaimer note: The observed molecular weight of the protein may vary from the listed predicted molecular weight due to post translational modifications, post translation cleavages, relative charges, and other experimental factors.

Description

Novus Biologicals Mouse STAT4 Antibody (OTI2F3) (NBP2-00851) is a monoclonal antibody validated for use in IHC, WB, Flow and ICC/IF. All Novus Biologicals antibodies are covered by our 100% guarantee.

Scientific Data Images for STAT4 Antibody (OTI2F3)

Western Blot: STAT4 Antibody (OTI2F3) [NBP2-00851]

Western Blot: STAT4 Antibody (OTI2F3) [NBP2-00851]

Western Blot: STAT4 Antibody (2F3) [NBP2-00851] - HEK293T cells were transfected with the pCMV6-ENTRY control (Left lane) or pCMV6-ENTRY STAT4 (Right lane) cDNA for 48 hrs and lysed. Equivalent amounts of cell lysates (5 ug per lane) were separated by SDS-PAGE and immunoblotted with anti-STAT4.
Immunocytochemistry/Immunofluorescence: STAT4 Antibody (2F3) [NBP2-00851] Staining of COS7 cells transiently transfected by pCMV6-ENTRY STAT4.
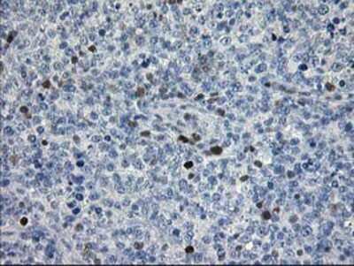
Immunohistochemistry-Paraffin: STAT4 Antibody (OTI2F3) [NBP2-00851]

Immunohistochemistry-Paraffin: STAT4 Antibody (OTI2F3) [NBP2-00851]

Immunohistochemistry-Paraffin: STAT4 Antibody (2F3) [NBP2-00851] - Staining of paraffin-embedded Human tonsil using anti-STAT4 mouse monoclonal antibody.

Applications for STAT4 Antibody (OTI2F3)

Application
Recommended Usage

Flow Cytometry

1:100

Immunocytochemistry/ Immunofluorescence

1:100

Immunohistochemistry

1:150

Immunohistochemistry-Paraffin

1:150

Western Blot

1:2000

Formulation, Preparation, and Storage

Purification

Immunogen affinity purified

Formulation

PBS (pH 7.3), 1.0% BSA and 50% Glycerol

Preservative

0.02% Sodium Azide

Concentration

1 mg/ml

Shipping

The product is shipped with polar packs. Upon receipt, store it immediately at the temperature recommended below.

Stability & Storage

Store at -20C. Avoid freeze-thaw cycles.

Background: STAT4

The protein encoded by this gene is a member of the STAT family of transcription factors. In response to cytokines and growth factors, STAT family members are phosphorylated by the receptor associated kinases, and then form homo- or heterodimers that translocate to the cell nucleus where they act as transcription activators. This protein is essential for mediating responses to IL12 in lymphocytes, and regulating the differentiation of T helper cells. [provided by RefSeq].

Long Name

Signal Transducer and Activator of Transcription 4

Alternate Names

signal transducer and activator of transcription 4, SLEB11

Entrez Gene IDs

6775 (Human)

Gene Symbol

STAT4

Additional STAT4 Products

Product Documents for STAT4 Antibody (OTI2F3)

Certificate of Analysis

To download a Certificate of Analysis, please enter a lot number in the search box below.

Product Specific Notices for STAT4 Antibody (OTI2F3)

This product is for research use only and is not approved for use in humans or in clinical diagnosis. Primary Antibodies are guaranteed for 1 year from date of receipt.

Loading...
Loading...
Loading...
Loading...
Loading...