STAT4 Antibody (26G2) - BSA Free
Novus Biologicals, part of Bio-Techne | Catalog # NBP3-26300
Recombinant monoclonal antibody expressed in HEK293F cells
Key Product Details
Species Reactivity
Human
Applications
ELISA, Immunocytochemistry/ Immunofluorescence, Immunohistochemistry
Label
Unconjugated
Antibody Source
Recombinant Monoclonal Rabbit IgG Clone # 26G2 expressed in HEK293
Format
BSA Free
Concentration
Please see the vial label for concentration. If unlisted please contact technical services.
Product Specifications
Immunogen
A synthesized peptide derived from Human STAT4 [UniProt Q14765]
Clonality
Monoclonal
Host
Rabbit
Isotype
IgG
Description
Novus Biologicals Rabbit STAT4 Antibody (26G2) - BSA Free (NBP3-26300) is a recombinant monoclonal antibody validated for use in IHC, ELISA and ICC/IF. All Novus Biologicals antibodies are covered by our 100% guarantee.
Scientific Data Images for STAT4 Antibody (26G2) - BSA Free
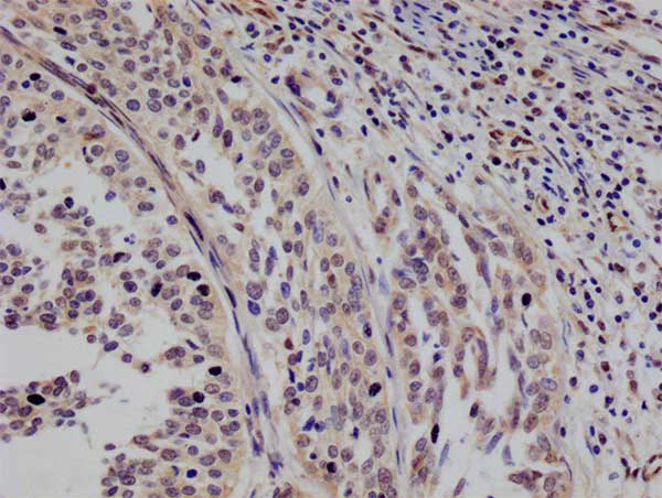
Immunohistochemistry: STAT4 Antibody (26G2) [NBP3-26300] -
Immunohistochemistry: STAT4 Antibody (26G2) [NBP3-26300] - Image of STAT4 Antibody (26G2) diluted at 1:100 and staining in paraffin-embedded human testis tissue performed. After dewaxing and hydration, antigen retrieval was mediated by high pressure in a citrate buffer (pH 6.0). Section was blocked with 10% normal goat serum 30min at RT. Then primary antibody (1% BSA) was incubated at 4C overnight. The primary is detected by a Goat anti-rabbit polymer IgG labeled by HRP and visualized using 0.05% DAB.Immunohistochemistry: STAT4 Antibody (26G2) [NBP3-26300] -
Immunohistochemistry: STAT4 Antibody (26G2) [NBP3-26300] - Image of STAT4 Antibody (26G2) diluted at 1:100 and staining in paraffin-embedded human testis tissue performed. After dewaxing and hydration, antigen retrieval was mediated by high pressure in a citrate buffer (pH 6.0). Section was blocked with 10% normal goat serum 30min at RT. Then primary antibody (1% BSA) was incubated at 4°C overnight. The primary is detected by a Goat anti-rabbit polymer IgG labeled by HRP and visualized using 0.05% DAB.Immunocytochemistry/Immunofluorescence: STAT4 Antibody (26G2) [NBP3-26300] -
Immunocytochemistry/Immunofluorescence: STAT4 Antibody (26G2) [NBP3-26300] - Staining of HepG2 cell with STAT4 Antibody (26G2) at 1:50, counter-stained with DAPI. The cells were fixed in 4% formaldehyde and blocked in 10% normal Goat Serum. The cells were then incubated with the antibody overnight at 4C. The secondary antibody was Alexa Fluor 515-conjugated Goat Anti-Rabbit IgG (H+L).Applications for STAT4 Antibody (26G2) - BSA Free
Application
Recommended Usage
Immunocytochemistry/ Immunofluorescence
1:50-1:200
Immunohistochemistry
1:50-1:200
Formulation, Preparation, and Storage
Purification
Affinity purified
Formulation
PBS, pH 7.4, 150mM NaCl, and 50% glycerol
Format
BSA Free
Preservative
0.02% Sodium Azide
Concentration
Please see the vial label for concentration. If unlisted please contact technical services.
Shipping
The product is shipped with polar packs. Upon receipt, store it immediately at the temperature recommended below.
Stability & Storage
Store at -20 to -70C. Avoid freeze-thaw cycles.
Background: STAT4
Long Name
Signal Transducer and Activator of Transcription 4
Alternate Names
signal transducer and activator of transcription 4, SLEB11
Gene Symbol
STAT4
Additional STAT4 Products
Product Documents for STAT4 Antibody (26G2) - BSA Free
Product Specific Notices for STAT4 Antibody (26G2) - BSA Free
This product is for research use only and is not approved for use in humans or in clinical diagnosis. Primary Antibodies are guaranteed for 1 year from date of receipt.
Loading...
Loading...
Loading...
Loading...