Skip to main content

STAT3 Antibody - BSA Free

Novus Biologicals, part of Bio-Techne | Catalog # NBP2-41208

Novus Biologicals, part of Bio-Techne
Catalog #
Availability
Size / Price
Qty
Loading...
NBP2-41208-0.025mg
NBP2-41208
Conjugate
Catalog #

Key Product Details

Species Reactivity

Validated:

Human, Mouse, Rat

Cited:

Human, Mouse

Predicted:

Bovine (100%), Chicken (100%), Porcine (100%). Backed by our 100% Guarantee.

Applications

Validated:

Immunohistochemistry, Immunohistochemistry-Paraffin, Western Blot, ELISA, Immunocytochemistry/ Immunofluorescence

Cited:

Western Blot

Label

Unconjugated

Antibody Source

Polyclonal Rabbit IgG

Format

BSA Free

Concentration

1 mg/ml

Product Specifications

Immunogen

Antibody was raised against a 19amino acid peptide near the amino terminus of human STAT3. The immunogen is located within amino acids 170 - 220 of STAT3. Amino Acid Squence: SQGDMQDLNGNNQSVTRQK

Clonality

Polyclonal

Host

Rabbit

Isotype

IgG

Theoretical MW

85 kDa.
Disclaimer note: The observed molecular weight of the protein may vary from the listed predicted molecular weight due to post translational modifications, post translation cleavages, relative charges, and other experimental factors.

Scientific Data Images for STAT3 Antibody - BSA Free

Western Blot: STAT3 AntibodyBSA Free [NBP2-41208]

Western Blot: STAT3 AntibodyBSA Free [NBP2-41208]

Western Blot: STAT3 Antibody [NBP2-41208] - Western blot analysis of STAT3 in human small intestine tissue lysate with STAT3 antibody at 1 ug/mL in (A) the absence and (B) the presence of blocking peptide.
STAT3 Antibody - BSA Free

Immunocytochemistry/ Immunofluorescence: STAT3 Antibody - BSA Free [NBP2-41208] -

Immunocytochemistry/ Immunofluorescence: STAT3 Antibody - BSA Free [NBP2-41208] - Immunofluorescence of STAT3 in human small intestine tissue with STAT3 antibody at 20 ug/ml.
STAT3 Antibody - BSA Free

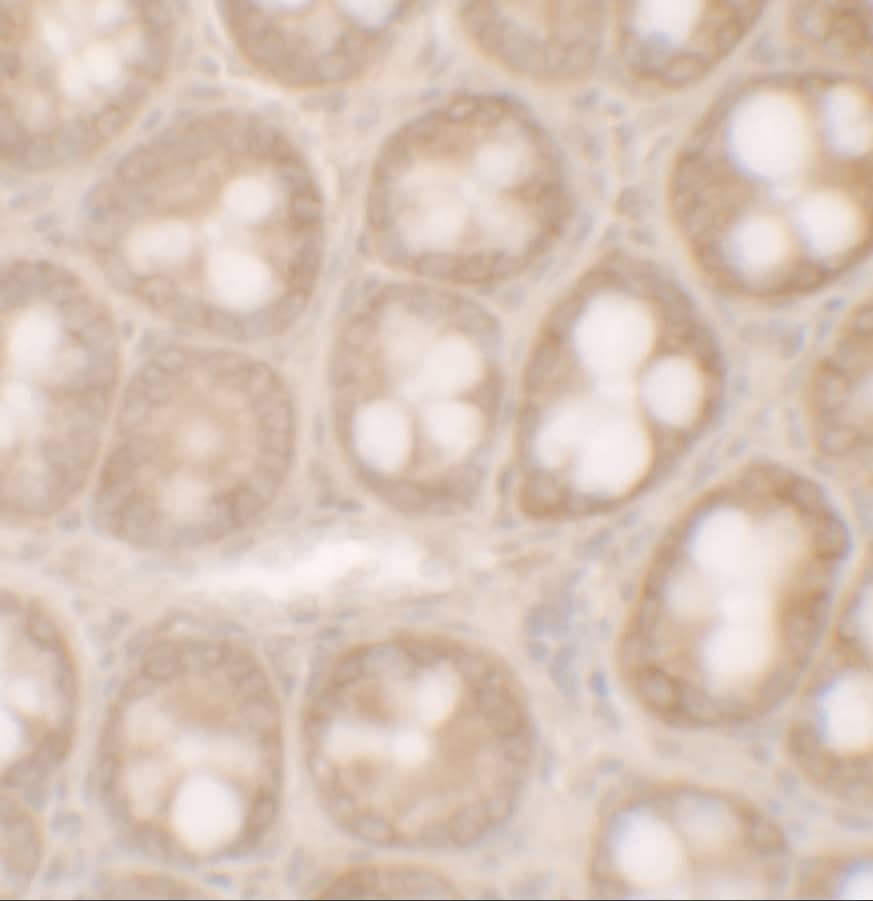
Immunohistochemistry: STAT3 Antibody - BSA Free [NBP2-41208] -

Immunohistochemistry: STAT3 Antibody - BSA Free [NBP2-41208] - Immunohistochemistry of STAT3 in human small intestine tissue with STAT3 antibody at 5 ug/ml.

Applications for STAT3 Antibody - BSA Free

Application
Recommended Usage

Western Blot

1 - 2 ug/ml

Formulation, Preparation, and Storage

Purification

Peptide affinity purified

Formulation

PBS

Format

BSA Free

Preservative

0.02% Sodium Azide

Concentration

1 mg/ml

Shipping

The product is shipped with polar packs. Upon receipt, store it immediately at the temperature recommended below.

Stability & Storage

Store at 4C short term. Aliquot and store at -20C long term. Avoid freeze-thaw cycles.

Background: STAT3

Stat3 is a member of a group of proteins (Signal Transduction and Activators of Transcription) that act as both signal transducers for cytokines and growth factors, as well as transcription factors (1,2). Stats are activated by tyrosine phosphorylation in response to different ligands, after which they translocate to the cell nucleus (1). Stat3 is constitutively activated in a number of human tumors (3). Stat3 is activated by phosphorylation on tyrosine 705 which induces dimerization, nuclear translocation, and DNA binding While, Stat3-activated transcription seems to be regulated by serine phosphorylation at serine 727 (4)

Long Name

Signal Transducer and Activator of Transcription 3

Alternate Names

Acute-phase response factor, APRFMGC16063, DNA-binding protein APRF, FLJ20882, HIES, signal transducer and activator of transcription 3, signal transducer and activator of transcription 3 (acute-phase responsefactor)

Gene Symbol

STAT3

Additional STAT3 Products

Product Documents for STAT3 Antibody - BSA Free

Certificate of Analysis

To download a Certificate of Analysis, please enter a lot number in the search box below.

Product Specific Notices for STAT3 Antibody - BSA Free

This product is for research use only and is not approved for use in humans or in clinical diagnosis. Primary Antibodies are guaranteed for 1 year from date of receipt.

Loading...
Loading...
Loading...
Loading...