Skip to main content

STAT3 [p Tyr705] Antibody

Novus Biologicals, part of Bio-Techne | Catalog # NB100-82213

Novus Biologicals, part of Bio-Techne
Catalog #
Availability
Size / Price
Qty
Loading...
NB100-82213
NB100-82213-0.025ml

Key Product Details

Validated by

Biological Validation

Species Reactivity

Human, Mouse, Rat

Applications

Immunocytochemistry/ Immunofluorescence, Immunohistochemistry, Immunohistochemistry-Paraffin, Immunoprecipitation, Simple Western, Western Blot

Label

Unconjugated

Antibody Source

Polyclonal Rabbit IgG

Concentration

1.0 mg/ml

Product Specifications

Immunogen

The antiserum was produced against synthesized phosphopeptide derived from human STAT3 around the phosphorylation site of tyrosine 705 (A-P-YP-L-K).

Modification

p Tyr705

Specificity

Detects endogenous levels of STAT3 only when phosphorylated at tyrosine 705.

Clonality

Polyclonal

Host

Rabbit

Isotype

IgG

Theoretical MW

88 kDa.
Disclaimer note: The observed molecular weight of the protein may vary from the listed predicted molecular weight due to post translational modifications, post translation cleavages, relative charges, and other experimental factors.

Description

Novus Biologicals Rabbit STAT3 [p Tyr705] Antibody (NB100-82213) is a polyclonal antibody validated for use in IHC, WB, ICC/IF, Simple Western and IP. All Novus Biologicals antibodies are covered by our 100% guarantee.

Scientific Data Images for STAT3 [p Tyr705] Antibody

Western Blot: STAT3 [p Tyr705] Antibody [NB100-82213]

Western Blot: STAT3 [p Tyr705] Antibody [NB100-82213]

Western Blot: STAT3 [p Tyr705] Antibody [NB100-82213] - Analysis of extracts from Hela cells untreated or treated with IFN a using STAT3
Simple Western: STAT3 [p Tyr705] Antibody [NB100-82213]

Simple Western: STAT3 [p Tyr705] Antibody [NB100-82213]

Simple Western: STAT3 [p Tyr705] Antibody [NB100-82213] - STAT3-P assay on mouse megakaryocyte lysates. Simple Western image submitted by a verified customer review.
STAT3 [p Tyr705] Antibody

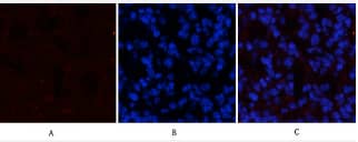
Immunohistochemistry-Paraffin: STAT3 [p Tyr705] Antibody [NB100-82213] -

Immunohistochemistry-Paraffin: STAT3 [p Tyr705] Antibody [NB100-82213] - Immunohistochemical analysis of paraffin-embedded Human-lung-cancer tissue.

Applications for STAT3 [p Tyr705] Antibody

Application
Recommended Usage

Immunocytochemistry/ Immunofluorescence

1:50-200

Immunohistochemistry

1:100-1:300

Immunohistochemistry-Paraffin

1:50 - 1:100

Immunoprecipitation

2-5 ug/mg lysate

Western Blot

1:500-1:2000
Application Notes
This STAT3 [p Tyr705] Antibody is validated for Simple Western from a verified customer review.
See Simple Western Antibody Database for Simple Western validation

Reviewed Applications

Read 1 review rated 4 using NB100-82213 in the following applications:

Formulation, Preparation, and Storage

Purification

Immunogen affinity purified

Formulation

PBS, 50% glycerol, 0.5% BSA

Preservative

0.02% Sodium Azide

Concentration

1.0 mg/ml

Shipping

The product is shipped with polar packs. Upon receipt, store it immediately at the temperature recommended below.

Stability & Storage

Store at 4C short term. Aliquot and store at -20C long term. Avoid freeze-thaw cycles.

Background: STAT3

STATs (signal transducers and activators of transcription) were originally discovered as two proteins (STAT1 and STAT2) which were involved in interferon alpha (IFN alpha) and IFN gamma signal transduction. Since then, several additional STAT proteins have been identified (STAT3, 4, 5a, 5b, and 6). STATs undergo tyrosine phosphorylation in response to growth factor or cytokine signaling. This phosphorylation results in dimerization and translocation of STAT proteins to the nucleus. In some cases this process is mediated by JAK Kinases (Janus Kinases 1, 2, and 3). For maximum activation of these proteins, phosphorylation at specific tyrosine and serine residues may be required in STAT1 alpha, 3, 4, and 5.

Long Name

Signal Transducer and Activator of Transcription 3

Alternate Names

Acute-phase response factor, APRFMGC16063, DNA-binding protein APRF, FLJ20882, HIES, signal transducer and activator of transcription 3, signal transducer and activator of transcription 3 (acute-phase responsefactor)

Entrez Gene IDs

6774 (Human); 20848 (Mouse); 25125 (Rat)

Gene Symbol

STAT3

UniProt

Additional STAT3 Products

Product Documents for STAT3 [p Tyr705] Antibody

Certificate of Analysis

To download a Certificate of Analysis, please enter a lot number in the search box below.

Product Specific Notices for STAT3 [p Tyr705] Antibody

This product is for research use only and is not approved for use in humans or in clinical diagnosis. Primary Antibodies are guaranteed for 1 year from date of receipt.

Loading...
Loading...
Loading...
Loading...