Skip to main content

STAT3 [p Ser727] Antibody (SY24-09)

Novus Biologicals, part of Bio-Techne | Catalog # NBP2-67433

Recombinant Monoclonal Antibody.
Novus Biologicals, part of Bio-Techne
Catalog #
Availability
Size / Price
Qty
Loading...
NBP2-67433

Key Product Details

Validated by

Biological Validation

Species Reactivity

Human, Mouse, Rat

Applications

Immunocytochemistry/ Immunofluorescence, Immunohistochemistry, Immunohistochemistry-Paraffin, Immunoprecipitation, Western Blot

Label

Unconjugated

Antibody Source

Recombinant Monoclonal Rabbit IgG Clone # SY24-09 expressed in HEK293

Concentration

1 mg/ml

Product Specifications

Immunogen

Synthetic phospho-peptide corresponding to residues surrounding Ser727 of Human STAT3 aa 701-750 / 770. (SwissProt: P40763 Human; SwissProt: P42227 Mouse; SwissProt: P52631 Rat)

Modification

p Ser727

Localization

Cytoplasm, Nucleus.

Clonality

Monoclonal

Host

Rabbit

Isotype

IgG

Description

Novus Biologicals Rabbit STAT3 [p Ser727] Antibody (SY24-09) (NBP2-67433) is a recombinant monoclonal antibody validated for use in IHC, WB, ICC/IF and IP. All Novus Biologicals antibodies are covered by our 100% guarantee.

Scientific Data Images for STAT3 [p Ser727] Antibody (SY24-09)

Western Blot: STAT3 [p Ser727] Antibody (SY24-09) [NBP2-67433] - Analysis of STAT3 [p Ser727] on NIH-3T3 cell lysates. Lane 1: NIH-3T3 cells, whole cell lysates, 10 ug/lane. Lane 2: NIH-3T3 cells were starved 6h, whole cell lysates, 10 ug/lane. Lane 3/4: NIH-3T3 cells were starved 6h, then treated with 200 ng/ml EGF for 10 min, whole cell lysates, 10 ug/lane. Lane 5: NIH-3T3 cells were starved 6h, then treated with 200 ng/ml EGF for 10 min, and then treated with 2.8ug/ul lambda-PP for 30 minutes, whole cell lysates, 10 ug/lane. The primary antibody Anti-STAT3 [p Ser727] (1/500) , Anti-STAT3 antibody ( 1/500) and Anti-GAPDH antibody (1/10,000)was used in 5% BSA at room temperature for 2 hours. Goat Anti-Rabbit IgG H&L (HRP) Secondary Antibody at 1:200,000 dilution was used for 1 hour at room temperature. Predicted band size: 88 kDa Observed band size: 88 kDa
Immunocytochemistry/Immunofluorescence: STAT3 [p Ser727] Antibody (SY24-09) [NBP2-67433] - Staining Phospho-STAT3(S727) in NIH/3T3 cells (green). The nuclear counter stain is DAPI (blue). Cells were fixed in paraformaldehyde, permeabilised with 0.25% Triton X100/PBS.
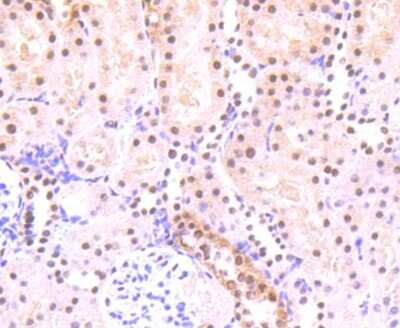
Immunohistochemistry-Paraffin: STAT3 [p Ser727] Antibody (SY24-09) [NBP2-67433] - Analysis of paraffin-embedded human kidney tissue with Rabbit anti-STAT3 [p Ser727] antibody washed with ddH2O and PBS, and then probed with the primary antibody at 1:500 dilution for 1 hour at room temperature. The detection was performed using an HRP conjugated compact polymer system. DAB was used as the chromogen. Tissues were counterstained with hematoxylin and mounted with DPX.

Applications for STAT3 [p Ser727] Antibody (SY24-09)

Application
Recommended Usage

Immunocytochemistry/ Immunofluorescence

1:50-1:200

Immunohistochemistry-Paraffin

1:50-1:200

Western Blot

1:500-1:2000

Reviewed Applications

Read 1 review rated 4 using NBP2-67433 in the following applications:

Formulation, Preparation, and Storage

Purification

Protein A purified

Formulation

TBS (pH7.4), 0.05% BSA, 40% Glycerol

Preservative

0.05% Sodium Azide

Concentration

1 mg/ml

Shipping

The product is shipped with polar packs. Upon receipt, store it immediately at the temperature recommended below.

Stability & Storage

Store at 4C short term. Aliquot and store at -20C long term. Avoid freeze-thaw cycles.

Background: STAT3

Stat3 is a member of a group of proteins (Signal Transduction and Activators of Transcription) that act as both signal transducers for cytokines and growth factors, as well as transcription factors (1,2). Stats are activated by tyrosine phosphorylation in response to different ligands, after which they translocate to the cell nucleus (1). Stat3 is constitutively activated in a number of human tumors (3). Stat3 is activated by phosphorylation on tyrosine 705 which induces dimerization, nuclear translocation, and DNA binding While, Stat3-activated transcription seems to be regulated by serine phosphorylation at serine 727 (4)

Long Name

Signal Transducer and Activator of Transcription 3

Alternate Names

Acute-phase response factor, APRFMGC16063, DNA-binding protein APRF, FLJ20882, HIES, signal transducer and activator of transcription 3, signal transducer and activator of transcription 3 (acute-phase responsefactor)

Gene Symbol

STAT3

Additional STAT3 Products

Product Documents for STAT3 [p Ser727] Antibody (SY24-09)

Certificate of Analysis

To download a Certificate of Analysis, please enter a lot number in the search box below.

Product Specific Notices for STAT3 [p Ser727] Antibody (SY24-09)

This product is for research use only and is not approved for use in humans or in clinical diagnosis. Primary Antibodies are guaranteed for 1 year from date of receipt.

Loading...
Loading...
Loading...
Loading...