Skip to main content

STAT1 [p Ser727] Antibody - BSA Free

Novus Biologicals, part of Bio-Techne | Catalog # NB100-82209

Novus Biologicals, part of Bio-Techne
Catalog #
Availability
Size / Price
Qty
Loading...
NB100-82209
NB100-82209-0.025ml

Key Product Details

Species Reactivity

Human, Mouse

Applications

Immunocytochemistry/ Immunofluorescence, Immunohistochemistry, Immunohistochemistry-Paraffin, Western Blot

Label

Unconjugated

Antibody Source

Polyclonal Rabbit IgG

Format

BSA Free

Concentration

1.0 mg/ml

Product Specifications

Immunogen

The antiserum was produced against synthesized phosphopeptide derived from human STAT1 around the phosphorylation site of serine 727 (P-M-SP-P-E).

Modification

p Ser727

Specificity

Detects endogenous levels of STAT1 only when phosphorylated at serine 727.

Clonality

Polyclonal

Host

Rabbit

Isotype

IgG

Theoretical MW

87 kDa.
Disclaimer note: The observed molecular weight of the protein may vary from the listed predicted molecular weight due to post translational modifications, post translation cleavages, relative charges, and other experimental factors.

Description

Novus Biologicals Rabbit STAT1 [p Ser727] Antibody - BSA Free (NB100-82209) is a polyclonal antibody validated for use in IHC, WB and ICC/IF. All Novus Biologicals antibodies are covered by our 100% guarantee.

Scientific Data Images for STAT1 [p Ser727] Antibody - BSA Free

Western Blot: STAT1 [p Ser727] Antibody [NB100-82209]

Western Blot: STAT1 [p Ser727] Antibody [NB100-82209]

Western Blot: STAT1 [p Ser727] Antibody [NB100-82209] - Analysis of extracts from Hela cells using STAT1(Phospho-Ser727) antibody
STAT1 [p Ser727] Antibody - BSA Free

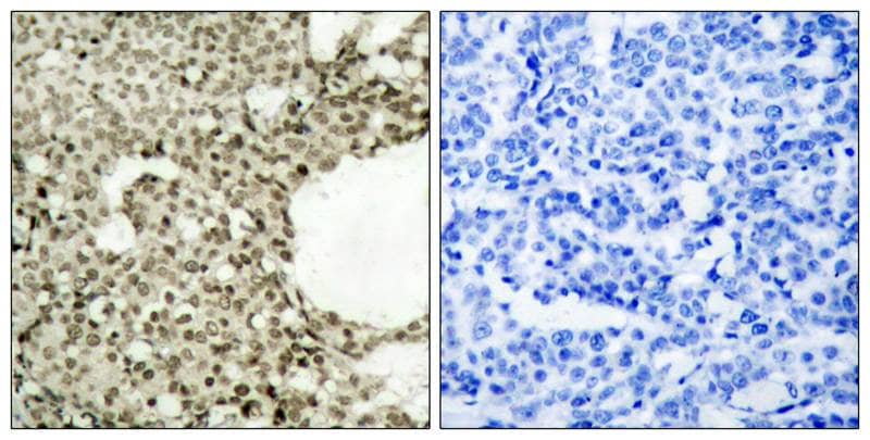
Immunohistochemistry-Paraffin: STAT1 [p Ser727] Antibody [NB100-82209] -

Immunohistochemistry-Paraffin: STAT1 [p Ser727] Antibody [NB100-82209] - Immunohistochemical analysis of paraffin-embedded human breast carcinoma tissue using NB100-82209 incubated with blocking peptide(right)
STAT1 [p Ser727] Antibody - BSA Free

Immunocytochemistry/Immunofluorescence: STAT1 [p Ser727] Antibody [NB100-82209] -

Immunocytochemistry/Immunofluorescence: STAT1 [p Ser727] Antibody [NB100-82209] - Staining of methanol-fixed Hela cells using NB100-82209.

Applications for STAT1 [p Ser727] Antibody - BSA Free

Application
Recommended Usage

Immunocytochemistry/ Immunofluorescence

1:100-1:200

Immunohistochemistry

1:50-1:100

Immunohistochemistry-Paraffin

1:50-1:100

Western Blot

1:500-1:1000

Formulation, Preparation, and Storage

Purification

Immunogen affinity purified

Formulation

PBS (without Mg2+ and Ca2+), pH 7.4, 150 mM NaCl, 50% glycerol

Format

BSA Free

Preservative

0.02% Sodium Azide

Concentration

1.0 mg/ml

Shipping

The product is shipped with polar packs. Upon receipt, store it immediately at the temperature recommended below.

Stability & Storage

Store at 4C short term. Aliquot and store at -20C long term. Avoid freeze-thaw cycles.

Background: STAT1

STATs (signal transducers and activators of transcription) were originally discovered as two proteins (STAT1 and STAT2) which were involved in interferon alpha (IFN alpha) and IFN gamma signal transduction. Since then, several additional STAT proteins have been identified (STAT3, 4, 5a, 5b, and 6). STATs undergo tyrosine phosphorylation in response to growth factor or cytokine signaling. This phosphorylation results in dimerization and translocation of STAT proteins to the nucleus. In some cases this process is mediated by JAK Kinases (Janus Kinases 1, 2, and 3). For maximum activation of these proteins, phosphorylation at specific tyrosine and serine residues may be required in STAT1 alpha, 3, 4, and 5.

Long Name

Signal Transducer and Activator of Transcription 1

Alternate Names

CANDF7, ISGF-3, STAT91

Entrez Gene IDs

6772 (Human); 20846 (Mouse); 25124 (Rat)

Gene Symbol

STAT1

UniProt

Additional STAT1 Products

Product Documents for STAT1 [p Ser727] Antibody - BSA Free

Certificate of Analysis

To download a Certificate of Analysis, please enter a lot number in the search box below.

Product Specific Notices for STAT1 [p Ser727] Antibody - BSA Free

This product is for research use only and is not approved for use in humans or in clinical diagnosis. Primary Antibodies are guaranteed for 1 year from date of receipt.

Loading...
Loading...
Loading...
Loading...