Skip to main content

StAR Antibody (STAR/2077)

Novus Biologicals, part of Bio-Techne | Catalog # NBP3-07308

Novus Biologicals, part of Bio-Techne
Catalog #
Availability
Size / Price
Qty
Loading...
NBP3-07308-100ug
NBP3-07308-20ug

Key Product Details

Species Reactivity

Human

Applications

Immunohistochemistry-Paraffin

Label

Unconjugated

Antibody Source

Monoclonal Mouse IgG2b Kappa Clone # STAR/2077

Concentration

0.2 mg/ml

Product Specifications

Immunogen

Recombinant fragment (around aa 39-108) of human StAR protein (exact sequence is proprietary) (Uniprot: P49675)

Localization

Cytoplasmic (Mitochondria)

Specificity

Steroidogenic Acute Regulatory Protein (STAR) controls the rate-limiting step of steroidegenesis by translocating cholesterol from the outer mitochondrial membrane to the inner membrane where it is later cleaved to pregnenolone. It is primarily present in steroid-producing cells, including Leydig cells in the testis, theca cells and luteal cells in the ovary and adrenal cells in the adrenal cortex. Due to low levels of pregnenolone, seminomas and Leydig cell tumors display no specific STAR staining. Therefore, STAR antibody may assist in differentiating sex cord stromal tumors (SCST), seminomas and embryonal carcinomas.

Marker

Leydig Cell Marker

Clonality

Monoclonal

Host

Mouse

Isotype

IgG2b Kappa

Theoretical MW

30 kDa.
Disclaimer note: The observed molecular weight of the protein may vary from the listed predicted molecular weight due to post translational modifications, post translation cleavages, relative charges, and other experimental factors.

Description

200ug/ml of antibody purified from Bioreactor Concentrate by Protein A or G. Prepared in 10 mM PBS with 0.05% BSA & 0.05% azide. Also available WITHOUT BSA & azide at 1.0 mg/ml. (NBP3-08547)

Antibody with azide - store at 2 to 8C. Antibody without azide - store at -20 to -80C.

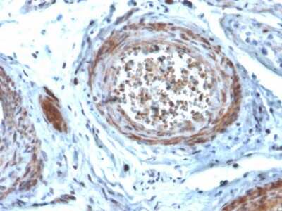
Scientific Data Images for StAR Antibody (STAR/2077)

Immunohistochemistry-Paraffin: StAR Antibody (STAR/2077) [NBP3-07308]

Immunohistochemistry-Paraffin: StAR Antibody (STAR/2077) [NBP3-07308]

Immunohistochemistry-Paraffin: StAR Antibody (STAR/2077) [NBP3-07308] - Formalin-fixed, paraffin-embedded human Stomach stained with StAR Mouse Monoclonal Antibody (STAR/2077).
Immunohistochemistry-Paraffin: StAR Antibody (STAR/2077) [NBP3-07308]

Immunohistochemistry-Paraffin: StAR Antibody (STAR/2077) [NBP3-07308]

Immunohistochemistry-Paraffin: StAR Antibody (STAR/2077) [NBP3-07308] - Formalin-fixed, paraffin-embedded human Testis stained with StAR Mouse Monoclonal Antibody (STAR/2077).

Applications for StAR Antibody (STAR/2077)

Application
Recommended Usage

Immunohistochemistry-Paraffin

1-2 ug/ml
Application Notes
Immunohistochemistry (Formalin-fixed): 1-2ug/ml for 30 min at RT. Staining of formalin-fixed tissues requires heating tissue sections in 10mM Tris with 1mM EDTA, pH 9.0, for 45 min at 95C followed by cooling at RT for 20 minutes.
Optimal dilution for a specific application should be determined.

Formulation, Preparation, and Storage

Purification

Protein A or G purified

Formulation

10 mM PBS with 0.05% BSA

Preservative

0.05% Sodium Azide

Concentration

0.2 mg/ml

Shipping

The product is shipped with polar packs. Upon receipt, store it immediately at the temperature recommended below.

Stability & Storage

Store at 4C.

Background: StAR

StAR is encoded by this gene plays a key role in the acute regulation of steroid hormone synthesis by enhancing the conversion of cholesterol into pregnenolone. This protein permits the cleavage of cholesterol into pregnenolone by mediating the transport of cholesterol from the outer mitochondrial membrane to the inner mitochondrial membrane. Mutations in this gene are a cause of congenital lipoid adrenal hyperplasia (CLAH), also called lipoid CAH. A pseudogene of this gene is located on chromosome 13.

Alternate Names

cholesterol trafficker, mitochondrial steroid acute regulatory protein, StAR, StARD1, STARD1StAR-related lipid transfer (START) domain containing 1, START domain containing 1, START domain-containing protein 1, steroid acute regulatory protein, steroidogenic acute regulator, steroidogenic acute regulatory protein, steroidogenic acute regulatory protein, mitochondrial

Gene Symbol

STAR

UniProt

Additional StAR Products

Product Documents for StAR Antibody (STAR/2077)

Certificate of Analysis

To download a Certificate of Analysis, please enter a lot number in the search box below.

Product Specific Notices for StAR Antibody (STAR/2077)

This product is for research use only and is not approved for use in humans or in clinical diagnosis. Primary Antibodies are guaranteed for 1 year from date of receipt.

Loading...
Loading...
Loading...
Loading...