Skip to main content

STAG3 Antibody - BSA Free

Novus Biologicals, part of Bio-Techne | Catalog # NBP2-38851

Novus Biologicals, part of Bio-Techne
Catalog #
Availability
Size / Price
Qty
Loading...
NBP2-38851
NBP2-38851-25ul

Key Product Details

Validated by

Orthogonal Validation, Independent Antibodies

Species Reactivity

Human

Applications

Immunohistochemistry, Immunohistochemistry-Paraffin

Label

Unconjugated

Antibody Source

Polyclonal Rabbit IgG

Format

BSA Free

Concentration

Concentrations vary lot to lot. See vial label for concentration. If unlisted please contact technical services.

Product Specifications

Immunogen

This antibody was developed against a recombinant protein corresponding to amino acids: LFHQDKQLLLSYLEKCLQHVSQAPGHPWGPVTTYCHSLSPVENTAETSPQVLPSSKRRRVEGPAKPNREDVSS

Clonality

Polyclonal

Host

Rabbit

Isotype

IgG

Description

Novus Biologicals Rabbit STAG3 Antibody - BSA Free (NBP2-38851) is a polyclonal antibody validated for use in IHC. All Novus Biologicals antibodies are covered by our 100% guarantee.

Scientific Data Images for STAG3 Antibody - BSA Free

Immunohistochemistry-Paraffin: STAG3 Antibody [NBP2-38851]

Immunohistochemistry-Paraffin: STAG3 Antibody [NBP2-38851]

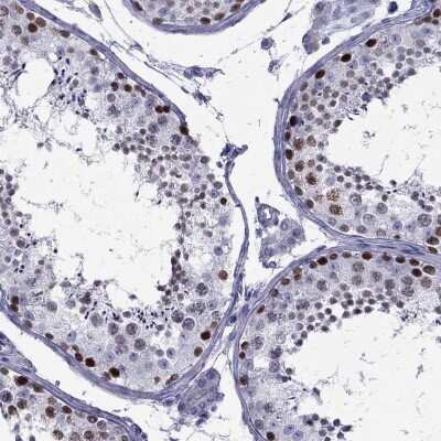
Immunohistochemistry-Paraffin: STAG3 Antibody [NBP2-38851] - Staining of human testis shows high expression.
Immunohistochemistry-Paraffin: STAG3 Antibody [NBP2-38851]

Immunohistochemistry-Paraffin: STAG3 Antibody [NBP2-38851]

Immunohistochemistry-Paraffin: STAG3 Antibody [NBP2-38851] - Staining in human testis and stomach tissues using anti-STAG3 antibody. Corresponding STAG3 RNA-seq data are presented for the same tissues.
Immunohistochemistry-Paraffin: STAG3 Antibody [NBP2-38851]

Immunohistochemistry-Paraffin: STAG3 Antibody [NBP2-38851]

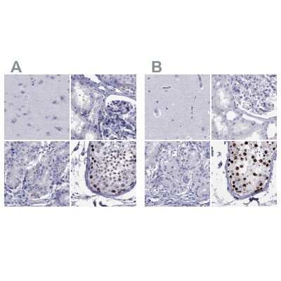
Immunohistochemistry-Paraffin: STAG3 Antibody [NBP2-38851] - Staining of human cerebral cortex, kidney, stomach and testis using Anti-STAG3 antibody NBP2-38851 (A) shows similar protein distribution across tissues to independent antibody NBP2-47258 (B).

Applications for STAG3 Antibody - BSA Free

Application
Recommended Usage

Immunohistochemistry

1:200 - 1:500

Immunohistochemistry-Paraffin

1:200 - 1:500
Application Notes
For IHC-Paraffin, HIER pH 6 retrieval is recommended.

Formulation, Preparation, and Storage

Purification

Affinity purified

Formulation

PBS (pH 7.2) and 40% Glycerol

Format

BSA Free

Preservative

0.02% Sodium Azide

Concentration

Concentrations vary lot to lot. See vial label for concentration. If unlisted please contact technical services.

Shipping

The product is shipped with polar packs. Upon receipt, store it immediately at the temperature recommended below.

Stability & Storage

Store at 4C short term. Aliquot and store at -20C long term. Avoid freeze-thaw cycles.

Background: STAG3

Meiosis specific component of cohesin complex. The cohesin complex is required for the cohesion of sister chromatids after DNA replication. The cohesin complex apparently forms a large proteinaceous ring within which sister chromatids can be trapped. At anaphase, the complex is cleaved and dissociates from chromatin, allowing sister chromatids to segregate. The meiosis-specific cohesin complex probably replaces mitosis specific cohesin complex when it dissociates from chromatin during prophase I

Alternate Names

cohesin subunit SA-3, SCC3 homolog 3, stromal antigen 3stromalin 3, stromalin-3

Gene Symbol

STAG3

UniProt

Additional STAG3 Products

Product Documents for STAG3 Antibody - BSA Free

Certificate of Analysis

To download a Certificate of Analysis, please enter a lot number in the search box below.

Product Specific Notices for STAG3 Antibody - BSA Free

This product is for research use only and is not approved for use in humans or in clinical diagnosis. Primary Antibodies are guaranteed for 1 year from date of receipt.

Loading...
Loading...
Loading...
Loading...