Skip to main content

ST6 Sialyltransferase 6/ST6GALNAC6 Antibody (1F4) - BSA Free

Novus Biologicals, part of Bio-Techne | Catalog # NBP3-43040

Novus Biologicals, part of Bio-Techne
Catalog #
Availability
Size / Price
Qty
Loading...
NBP3-43040

Key Product Details

Species Reactivity

Human

Applications

Immunohistochemistry, Immunohistochemistry-Paraffin, Western Blot, ELISA

Label

Unconjugated

Antibody Source

Monoclonal Mouse IgG2A Clone # 1F4

Format

BSA Free

Concentration

Please see the vial label for concentration. If unlisted please contact technical services.

Product Specifications

Immunogen

ST6(alpha-N-acetyl-neuraminyl-2,3-beta-galactosyl-1,3)-N-acetylgalactosaminide alpha-2,6-sialyltransferase 6 - (Uniprot# Q969X2)

Clonality

Monoclonal

Host

Mouse

Isotype

IgG2A

Theoretical MW

40 kDa.
Disclaimer note: The observed molecular weight of the protein may vary from the listed predicted molecular weight due to post translational modifications, post translation cleavages, relative charges, and other experimental factors.

Description

Novus Biologicals Mouse ST6 Sialyltransferase 6/ST6GALNAC6 Antibody (1F4) - BSA Free (NBP3-43040) is a monoclonal antibody validated for use in IHC, WB and ELISA. All Novus Biologicals antibodies are covered by our 100% guarantee.

Scientific Data Images for ST6 Sialyltransferase 6/ST6GALNAC6 Antibody (1F4) - BSA Free

ST6 Sialyltransferase 6/ST6GALNAC6 Antibody (1F4)

Western Blot: ST6 Sialyltransferase 6/ST6GALNAC6 Antibody (1F4) [NBP3-43040] -

Western Blot: ST6 Sialyltransferase 6/ST6GALNAC6 Antibody (1F4) [NBP3-43040] - COLO 320 cells were subjected to SDS PAGE followed by western blot with (ST6 Sialyltransferase 6/ST6GALNAC6 Antibody) at dilution of 1:500
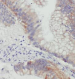
ST6 Sialyltransferase 6/ST6GALNAC6 Antibody (1F4)

Immunohistochemistry: ST6 Sialyltransferase 6/ST6GALNAC6 Antibody (1F4) [NBP3-43040] -

Immunohistochemistry: ST6 Sialyltransferase 6/ST6GALNAC6 Antibody (1F4) [NBP3-43040] - Immunohistochemistry of paraffin-embedded mouse colon tissue slide using (ST6 Sialyltransferase 6/ST6GALNAC6 Antibody) at dilution of 1:200

Applications for ST6 Sialyltransferase 6/ST6GALNAC6 Antibody (1F4) - BSA Free

Application
Recommended Usage

Immunohistochemistry

1:50 - 1:500

Immunohistochemistry-Paraffin

1:50 - 1:500

Western Blot

1:500 - 1:1000

Formulation, Preparation, and Storage

Purification

Protein A or G purified

Formulation

PBS (pH 7.3), 50% glycerol

Format

BSA Free

Preservative

0.02% Sodium Azide

Concentration

Please see the vial label for concentration. If unlisted please contact technical services.

Shipping

The product is shipped with polar packs. Upon receipt, store it immediately at the temperature recommended below.

Stability & Storage

Store at -20C. Avoid freeze-thaw cycles.

Background: ST6 Sialyltransferase 6/ST6GALNAC6

Alpha-2,6-sialyltransferase involved in the synthesis of alpha-series gangliosides. Has activity toward GD1a, GT1b and GM1b. Has no activity toward glycoproteins. Responsible for the biosynthesis of DSGG (disialylgalactosylgloboside) from MSGG (monosialylgalactosylgloboside) in normal and malignant kidney. Participates in the synthesis of disialyl Lewis a (Le(a)), a representative tumor-associated antigen in cancers of the pancreas and colon, in colon tissues

Alternate Names

SIAT7F, ST6GALNACVI

Gene Symbol

ST6GALNAC6

Additional ST6 Sialyltransferase 6/ST6GALNAC6 Products

Product Documents for ST6 Sialyltransferase 6/ST6GALNAC6 Antibody (1F4) - BSA Free

Certificate of Analysis

To download a Certificate of Analysis, please enter a lot number in the search box below.

Product Specific Notices for ST6 Sialyltransferase 6/ST6GALNAC6 Antibody (1F4) - BSA Free

This product is for research use only and is not approved for use in humans or in clinical diagnosis. Primary Antibodies are guaranteed for 1 year from date of receipt.

Loading...
Loading...
Loading...
Loading...