Skip to main content

ST5 Antibody - BSA Free

Novus Biologicals, part of Bio-Techne | Catalog # NBP2-85831

Novus Biologicals, part of Bio-Techne
Catalog #
Availability
Size / Price
Qty
Loading...
NBP2-85831-0.1ml

Key Product Details

Species Reactivity

Human

Applications

Immunohistochemistry, Immunohistochemistry-Paraffin, Western Blot

Label

Unconjugated

Antibody Source

Polyclonal Rabbit

Format

BSA Free

Concentration

0.5 mg/ml

Product Specifications

Immunogen

The immunogen is a synthetic peptide directed towards the middle region of human ST5. Peptide sequence: VPKPKRTFEYEADKNPKSKPSNGLPPSPTPAAPPPLPSTPAPPVTRRPKK The peptide sequence for this immunogen was taken from within the described region.

Clonality

Polyclonal

Host

Rabbit

Description

Novus Biologicals Rabbit ST5 Antibody - BSA Free (NBP2-85831) is a polyclonal antibody validated for use in IHC and WB. All Novus Biologicals antibodies are covered by our 100% guarantee.

Scientific Data Images for ST5 Antibody - BSA Free

Western Blot: ST5 Antibody [NBP2-85831]

Western Blot: ST5 Antibody [NBP2-85831]

Western Blot: ST5 Antibody [NBP2-85831] - WB Suggested Anti-ST5 Antibody. Titration: 1.0 ug/ml. Positive Control: 721_B Whole Cell
Immunohistochemistry-Paraffin: ST5 Antibody [NBP2-85831]

Immunohistochemistry-Paraffin: ST5 Antibody [NBP2-85831]

Immunohistochemistry-Paraffin: ST5 Antibody [NBP2-85831] - Rabbit Anti-ST5 Antibody. Formalin Fixed Paraffin Embedded Tissue: Human heart Tissue. Observed Staining: Cytoplasmic, nucleus. Primary Antibody Concentration: N/A. Other Working Concentrations: 1:600. Secondary Antibody: Donkey anti-Rabbit-Cy3. Secondary Antibody Concentration: 1:200. Magnification: 20X. Exposure Time: 0.5 - 2.0 sec
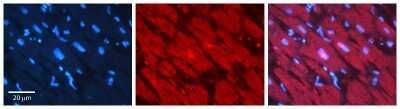
Immunohistochemistry-Paraffin: ST5 Antibody [NBP2-85831]

Immunohistochemistry-Paraffin: ST5 Antibody [NBP2-85831]

Immunohistochemistry-Paraffin: ST5 Antibody [NBP2-85831] - Rabbit Anti-ST5 Antibody. Formalin Fixed Paraffin Embedded Tissue: Human Heart Tissue. Observed Staining: Cytoplasm in cardiomyocytes. Primary Antibody Concentration: N/A. Other Working Concentrations: 1:600. Secondary Antibody: Donkey anti-Rabbit-Cy3. Secondary Antibody Concentration: 1:200. Magnification: 20X. Exposure Time: 0.5 - 2.0 sec

Applications for ST5 Antibody - BSA Free

Application
Recommended Usage

Western Blot

1.0 ug/ml

Formulation, Preparation, and Storage

Purification

Affinity purified

Formulation

PBS, 2% Sucrose

Format

BSA Free

Preservative

0.09% Sodium Azide

Concentration

0.5 mg/ml

Shipping

The product is shipped with polar packs. Upon receipt, store it immediately at the temperature recommended below.

Stability & Storage

Store at 4C short term. Aliquot and store at -20C long term. Avoid freeze-thaw cycles.

Background: ST5

ST5 - suppression of tumorigenicity 5

Alternate Names

DENN domain-containing protein 2B, DENND2BDENN/MADD domain containing 2B, HeLa tumor suppression 1, HTS1MGC33090, p126, suppression of tumorigenicity 5, suppression of tumorigenicity 5 protein

Gene Symbol

ST5

Additional ST5 Products

Product Documents for ST5 Antibody - BSA Free

Certificate of Analysis

To download a Certificate of Analysis, please enter a lot number in the search box below.

Product Specific Notices for ST5 Antibody - BSA Free

This product is for research use only and is not approved for use in humans or in clinical diagnosis. Primary Antibodies are guaranteed for 1 year from date of receipt.

Loading...
Loading...
Loading...
Loading...