Skip to main content

ST3GAL3 Antibody - BSA Free

Novus Biologicals, part of Bio-Techne | Catalog # NBP3-45810

Novus Biologicals, part of Bio-Techne
Catalog #
Availability
Size / Price
Qty
Loading...
NBP3-45810

Key Product Details

Species Reactivity

Human, Mouse, Rat

Applications

Immunohistochemistry, Western Blot, ELISA, Immunocytochemistry/ Immunofluorescence

Label

Unconjugated

Antibody Source

Polyclonal Rabbit IgG

Format

BSA Free

Concentration

Please see the vial label for concentration. If unlisted please contact technical services.

Product Specifications

Immunogen

ST3 beta-galactoside alpha-2, 3-sialyltransferase 3. (Uniprot# Q11203)

Clonality

Polyclonal

Host

Rabbit

Isotype

IgG

Theoretical MW

50 kDa.
Disclaimer note: The observed molecular weight of the protein may vary from the listed predicted molecular weight due to post translational modifications, post translation cleavages, relative charges, and other experimental factors.

Description

Novus Biologicals Rabbit ST3GAL3 Antibody - BSA Free (NBP3-45810) is a polyclonal antibody validated for use in IHC, WB, ELISA and ICC/IF. All Novus Biologicals antibodies are covered by our 100% guarantee.

Scientific Data Images for ST3GAL3 Antibody - BSA Free

ST3GAL3 Antibody - BSA Free

Western Blot: ST3GAL3 Antibody - BSA Free [NBP3-45810] -

Western Blot: ST3GAL3 Antibody - BSA Free [NBP3-45810] - Rat liver tissue were subjected to SDS PAGE followed by western blot with (ST3GAL3 antibody) at dilution of 1:1000
ST3GAL3 Antibody - BSA Free

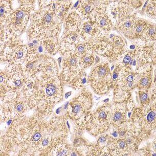
Immunohistochemistry: ST3GAL3 Antibody - BSA Free [NBP3-45810] -

Immunohistochemistry: ST3GAL3 Antibody - BSA Free [NBP3-45810] - Immunohistochemistry of paraffin-embedded human liver injury using (ST3GAL3 antibody) at dilution of 1:100

Applications for ST3GAL3 Antibody - BSA Free

Application
Recommended Usage

Immunocytochemistry/ Immunofluorescence

1:50 - 1:200

Immunohistochemistry

1:50 - 1:200

Western Blot

1:500 - 1:2000

Formulation, Preparation, and Storage

Purification

Immunogen affinity purified

Formulation

PBS, 50% Glycerol, pH (7.3)

Format

BSA Free

Preservative

0.02% Sodium Azide

Concentration

Please see the vial label for concentration. If unlisted please contact technical services.

Shipping

The product is shipped with polar packs. Upon receipt, store it immediately at the temperature recommended below.

Stability & Storage

Store at -20C. Avoid freeze-thaw cycles.

Background: ST3GAL3

ST3GAL3 is encoded by this gene is a type II membrane protein that catalyzes the transfer of sialic acid from CMP-sialic acid to galactose-containing substrates. The encoded protein is normally found in the Golgi apparatus but can be proteolytically processed to a soluble form. This protein is a member of glycosyltransferase family 29. Multiple transcript variants encoding several different isoforms have been found for this gene. [provided by RefSeq]

Long Name

ST3 beta-Galactoside alpha-2,3-Sialyltransferase 3

Alternate Names

MRT12, Siat3, SIAT6, ST3 beta-Gal alpha-2,3-Sialyltransferase 3, St3Gal-III, ST3GalIII, ST3N

Gene Symbol

ST3GAL3

Additional ST3GAL3 Products

Product Documents for ST3GAL3 Antibody - BSA Free

Certificate of Analysis

To download a Certificate of Analysis, please enter a lot number in the search box below.

Product Specific Notices for ST3GAL3 Antibody - BSA Free

This product is for research use only and is not approved for use in humans or in clinical diagnosis. Primary Antibodies are guaranteed for 1 year from date of receipt.

Loading...
Loading...
Loading...
Loading...