Skip to main content

ST3 beta-Gal alpha-2,3-Sialyltransferase 1/ST3GAL1/SIAT4A Antibody - Azide and BSA Free

Novus Biologicals, part of Bio-Techne | Catalog # NBP1-31449

Novus Biologicals, part of Bio-Techne
Catalog #
Availability
Size / Price
Qty
Loading...
NBP1-31449

Key Product Details

Validated by

Orthogonal Validation

Species Reactivity

Validated:

Human

Predicted:

Chimpanzee (99%), Rhesus Macaque (97%). Backed by our 100% Guarantee.

Applications

Immunohistochemistry, Immunohistochemistry-Paraffin, Western Blot, Immunocytochemistry/ Immunofluorescence

Label

Unconjugated

Antibody Source

Polyclonal Rabbit IgG

Format

Azide and BSA Free

Concentration

Concentrations vary lot to lot. See vial label for concentration. If unlisted please contact technical services.

Product Specifications

Immunogen

Recombinant protein encompassing a sequence within the center region of human ST3 beta-Gal alpha-2,3-Sialyltransferase 1/ST3GAL1/SIAT4A. The exact sequence is proprietary.

Reactivity Notes

Bovine (81%).

Localization

Golgi apparatus, Golgi stack membrane, Single-pass type II membrane protein, Secreted

Clonality

Polyclonal

Host

Rabbit

Isotype

IgG

Theoretical MW

39 kDa.
Disclaimer note: The observed molecular weight of the protein may vary from the listed predicted molecular weight due to post translational modifications, post translation cleavages, relative charges, and other experimental factors.

Description

Novus Biologicals Rabbit ST3 beta-Gal alpha-2,3-Sialyltransferase 1/ST3GAL1/SIAT4A Antibody - Azide and BSA Free (NBP1-31449) is a polyclonal antibody validated for use in IHC, WB and ICC/IF. All Novus Biologicals antibodies are covered by our 100% guarantee.

Scientific Data Images

Immunocytochemistry/ Immunofluorescence: ST3 beta-Gal alpha-2,3-Sialyltransferase 1/ST3GAL1/SIAT4A Antibody [NBP1-31449]

Immunocytochemistry/ Immunofluorescence: ST3 beta-Gal alpha-2,3-Sialyltransferase 1/ST3GAL1/SIAT4A Antibody [NBP1-31449]

Immunocytochemistry/Immunofluorescence: ST3 beta-Gal alpha-2,3-Sialyltransferase 1/ST3GAL1/SIAT4A Antibody [NBP1-31449] - Analysis of methanol-fixed Hep3B, using antibody at 1:500 dilution.
ST3 beta-Gal alpha-2,3-Sialyltransferase 1/ST3GAL1/SIAT4A Antibody

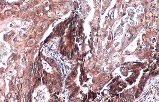
Immunohistochemistry-Paraffin: ST3 beta-Gal alpha-2,3-Sialyltransferase 1/ST3GAL1/SIAT4A Antibody [NBP1-31449] -

Immunohistochemistry-Paraffin: ST3 beta-Gal alpha-2,3-Sialyltransferase 1/ST3GAL1/SIAT4A Antibody [NBP1-31449] - Human ovarian cancer.SIAT4A stained by SIAT4A antibody diluted at 1:500.Antigen Retrieval: Citrate buffer, pH 6.0, 15 min
ST3 beta-Gal alpha-2,3-Sialyltransferase 1/ST3GAL1/SIAT4A Antibody - Azide and BSA Free

Western Blot: ST3 beta-Gal alpha-2,3-Sialyltransferase 1/ST3GAL1/SIAT4A Antibody [NBP1-31449] -

Various whole cell extracts (30 ug) were separated by 12% SDS-PAGE, and the membrane was blotted with ST3 beta-Gal alpha-2,3-Sialyltransferase 1/ST3GAL1/SIAT4A antibody (NBP1-31449) diluted at 1:500. The HRP-conjugated anti-rabbit IgG antibody was used to detect the primary antibody, and the signal was developed with Trident ECL plus-Enhanced. Corresponding RNA expression data for the same cell lines are based on Human Protein Atlas program.

Applications

Application
Recommended Usage

Immunocytochemistry/ Immunofluorescence

1:100-1:1000

Immunohistochemistry

1:100-1:1000

Immunohistochemistry-Paraffin

1:100-1:1000

Western Blot

1:500-1:3000

Formulation, Preparation, and Storage

Purification

Antigen Affinity-purified

Formulation

PBS

Format

Azide and BSA Free

Preservative

No Preservative

Concentration

Concentrations vary lot to lot. See vial label for concentration. If unlisted please contact technical services.

Shipping

The product is shipped with polar packs. Upon receipt, store it immediately at the temperature recommended below.

Stability & Storage

Aliquot and store at -20C or -80C. Avoid freeze-thaw cycles.

Background: ST3 beta-Gal alpha-2,3-Sialyltransferase 1/ST3GAL1/SIAT4A

The protein encoded by this gene is a type II membrane protein that catalyzes the transfer of sialic acid from CMP-sialic acid to galactose-containing substrates. The encoded protein is normally found in the Golgi but can be proteolytically processed to a soluble form. Correct glycosylation of the encoded protein may be critical to its sialyltransferase activity. This protein, which is a member of glycosyltransferase family 29, can use the same acceptor substrates as does sialyltransferase 4B. Two transcript variants encoding the same protein have been found for this gene. Other transcript variants may exist, but have not been fully characterized yet. [provided by RefSeq]

Long Name

ST3 beta-Galactoside alpha-2,3-Sialyltransferase 1

Alternate Names

Alpha 2,3-ST 1, CMP-N-acetylneuraminate-beta-galactosamide-alpha-2,3-sialyltransferase 1, DKFZp666E036, DKFZp779K2051, EC 2.4.99, EC 2.4.99.4, Gal-beta-1,3-GalNAc-alpha-2,3-sialyltransferase, Gal-NAc6S, Sialyltransferase 4A, sialyltransferase 4A (beta-galactosidase alpha-2,3-sialytransferase), sialyltransferase 4A (beta-galactoside alpha-2,3-sialyltransferase), sialyltransferase 4A (beta-galactoside alpha-2,3-sialytransferase), SIAT4, SIAT4A, SIAT4-A, SIATFL, SIATFLFLJ36548, ST3 beta-galactoside alpha-2,3-sialyltransferase 1, ST3Gal I, ST3GalA, ST3GalA.1MGC9183, ST3GalI, ST3GalIA, ST3GalIA1,Beta-galactoside alpha-2,3-sialyltransferase 1, ST3O, ST3OST3GalA

Gene Symbol

ST3GAL1

Additional ST3 beta-Gal alpha-2,3-Sialyltransferase 1/ST3GAL1/SIAT4A Products

Product Documents

Certificate of Analysis

To download a Certificate of Analysis, please enter a lot number in the search box below.

Product Specific Notices

This product is for research use only and is not approved for use in humans or in clinical diagnosis. Primary Antibodies are guaranteed for 1 year from date of receipt.

Loading...
Loading...
Loading...
Loading...

⚠ WARNING: This product can expose you to chemicals including mercury, which is known to the State of California to cause reproductive toxicity with developmental effects.  For more information go to www.P65Warnings.ca.gov.