Skip to main content

SSX4 Antibody - BSA Free

Novus Biologicals, part of Bio-Techne | Catalog # NBP3-45811

Novus Biologicals, part of Bio-Techne
Catalog #
Availability
Size / Price
Qty
Loading...
NBP3-45811

Key Product Details

Species Reactivity

Human

Applications

Immunohistochemistry, Western Blot, ELISA

Label

Unconjugated

Antibody Source

Polyclonal Rabbit IgG

Format

BSA Free

Concentration

Please see the vial label for concentration. If unlisted please contact technical services.

Product Specifications

Immunogen

synovial sarcoma, X breakpoint 4. (Uniprot# O60224)

Clonality

Polyclonal

Host

Rabbit

Isotype

IgG

Theoretical MW

22 kDa.
Disclaimer note: The observed molecular weight of the protein may vary from the listed predicted molecular weight due to post translational modifications, post translation cleavages, relative charges, and other experimental factors.

Description

Novus Biologicals Rabbit SSX4 Antibody - BSA Free (NBP3-45811) is a polyclonal antibody validated for use in IHC, WB and ELISA. All Novus Biologicals antibodies are covered by our 100% guarantee.

Scientific Data Images for SSX4 Antibody - BSA Free

SSX4 Antibody - BSA Free

Western Blot: SSX4 Antibody - BSA Free [NBP3-45811] -

Western Blot: SSX4 Antibody - BSA Free [NBP3-45811] - MCF7 cells were subjected to SDS PAGE followed by western blot with (SSX4 antibody) at dilution of 1:1000
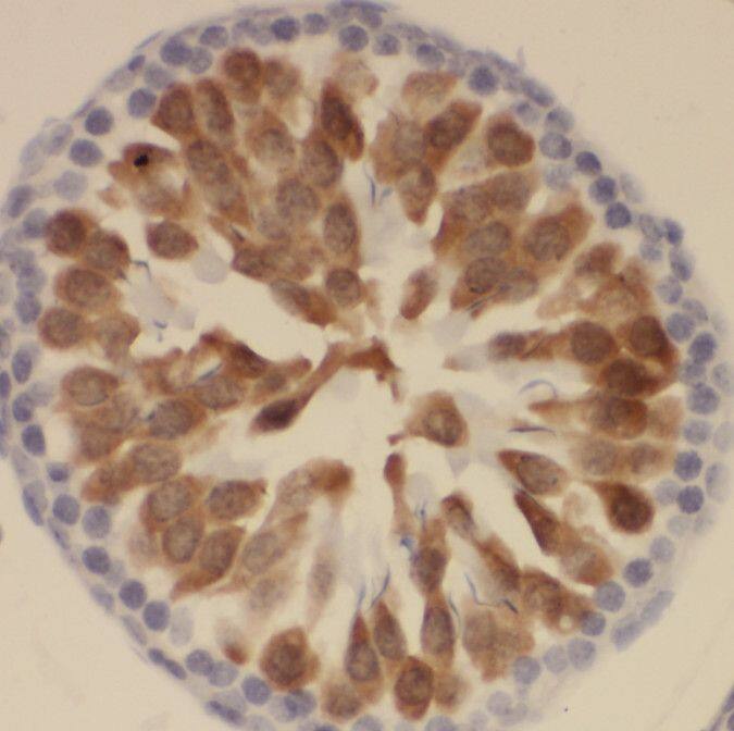
SSX4 Antibody - BSA Free

Immunohistochemistry: SSX4 Antibody - BSA Free [NBP3-45811] -

Immunohistochemistry: SSX4 Antibody - BSA Free [NBP3-45811] - Immunohistochemistry of paraffin-embedded human testis using (SSX4 antibody) at dilution of 1:50

Applications for SSX4 Antibody - BSA Free

Application
Recommended Usage

Immunohistochemistry

1:20-1:200

Western Blot

1:500-1:2000

Formulation, Preparation, and Storage

Purification

Immunogen affinity purified

Formulation

PBS, 50% Glycerol, pH (7.3)

Format

BSA Free

Preservative

0.02% Sodium Azide

Concentration

Please see the vial label for concentration. If unlisted please contact technical services.

Shipping

The product is shipped with polar packs. Upon receipt, store it immediately at the temperature recommended below.

Stability & Storage

Store at -20C. Avoid freeze-thaw cycles.

Background: SSX4

The product of this gene belongs to the family of highly homologous synovial sarcoma X (SSX) breakpoint proteins. These proteins may function as transcriptional repressors. They are also capable of eliciting spontaneously humoral and cellular immune responses in cancer patients, and are potentially useful targets in cancer vaccine-based immunotherapy. SSX1, SSX2 and SSX4 genes have been involved in the t(X;18) translocation characteristically found in all synovial sarcomas. This translocation results in the fusion of the synovial sarcoma translocation gene on chromosome 18 to one of the SSX genes on chromosome X. Chromosome Xp11 contains a segmental duplication resulting in two identical copies of synovial sarcoma, X breakpoint 4, SSX4 and SSX4B, in tail-to-tail orientation. This gene, SSX4, represents the more telomeric copy. Two transcript variants encoding distinct isoforms have been identified for this gene.

Alternate Names

Cancer/testis antigen 5.4, CT5.4SSX4B, MGC119056, MGC12411, protein SSX4, SSX4A, synovial sarcoma, X breakpoint 4

Gene Symbol

SSX4

Additional SSX4 Products

Product Documents for SSX4 Antibody - BSA Free

Certificate of Analysis

To download a Certificate of Analysis, please enter a lot number in the search box below.

Product Specific Notices for SSX4 Antibody - BSA Free

This product is for research use only and is not approved for use in humans or in clinical diagnosis. Primary Antibodies are guaranteed for 1 year from date of receipt.

Loading...
Loading...
Loading...
Loading...