SSX2 Antibody (OTI4D10)
Novus Biologicals, part of Bio-Techne | Catalog # NBP1-48008
Conjugate
Catalog #
Forumulation
Catalog #
Key Product Details
Species Reactivity
Human
Applications
Immunohistochemistry, Immunohistochemistry-Paraffin, Western Blot, Immunocytochemistry/ Immunofluorescence
Label
Unconjugated
Antibody Source
Monoclonal Mouse IgG1 Clone # OTI4D10
Concentration
0.67 mg/ml
Product Specifications
Immunogen
Full-length protein expressed in 293T cell transfected with human SSX2 expression vector
Specificity
This antibody is specific for Homo sapiens synovial sarcoma, X breakpoint 2 (SSX2), transcript variant 1.
Clonality
Monoclonal
Host
Mouse
Isotype
IgG1
Theoretical MW
21.6 kDa.
Disclaimer note: The observed molecular weight of the protein may vary from the listed predicted molecular weight due to post translational modifications, post translation cleavages, relative charges, and other experimental factors.
Disclaimer note: The observed molecular weight of the protein may vary from the listed predicted molecular weight due to post translational modifications, post translation cleavages, relative charges, and other experimental factors.
Description
Novus Biologicals Mouse SSX2 Antibody (OTI4D10) (NBP1-48008) is a monoclonal antibody validated for use in IHC, WB and ICC/IF. All Novus Biologicals antibodies are covered by our 100% guarantee.
Scientific Data Images for SSX2 Antibody (OTI4D10)
Western Blot: SSX2 Antibody (OTI4D10) [NBP1-48008]
Western Blot: SSX2 Antibody (4D10) [NBP1-48008] - HEK293T cells were transfected with the pCMV6-ENTRY control (Left lane) or pCMV6-ENTRY SSX2 (Right lane) cDNA for 48 hrs and lysed. Equivalent amounts of cell lysates (5 ug per lane) were separated by SDS-PAGE and immunoblotted with anti-SSX2.
Immunocytochemistry/Immunofluorescence: SSX2 Antibody (4D10) [NBP1-48008] Staining of COS7 cells transiently transfected by pCMV6-ENTRY SSX2.
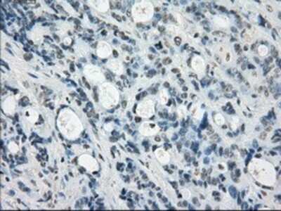
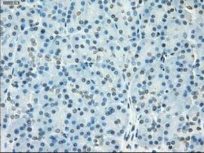
Immunohistochemistry-Paraffin: SSX2 Antibody (OTI4D10) [NBP1-48008]
Immunohistochemistry-Paraffin: SSX2 Antibody (OTI4D10) [NBP1-48008] - SSX2 Antibody (4D10) [NBP1-48008] - Staining of paraffin-embedded Kidney tissue using anti-SSX2mouse monoclonal antibody.Applications for SSX2 Antibody (OTI4D10)
Application
Recommended Usage
Immunocytochemistry/ Immunofluorescence
1:100
Immunohistochemistry
1:50
Immunohistochemistry-Paraffin
1:50
Western Blot
1:2000
Formulation, Preparation, and Storage
Purification
Immunogen affinity purified
Formulation
PBS (pH 7.3), 1.0% BSA and 50% Glycerol
Preservative
0.02% Sodium Azide
Concentration
0.67 mg/ml
Shipping
The product is shipped with polar packs. Upon receipt, store it immediately at the temperature recommended below.
Stability & Storage
Store at -20C. Avoid freeze-thaw cycles.
Background: SSX2
Alternate Names
Cancer/testis antigen 5.2, cancer/testis antigen family 5, member 2a, CT5.2a, HD21, HOM-MEL-40, MGC119055, MGC15364, MGC3884, protein SSX2, sarcoma, synovial, X-chromosome-related 2, SSX, SSX2A, SSX2B, synovial sarcoma, X breakpoint 2B, synovial sarcoma, X breakpoint 2CT5.2, Tumor antigen HOM-MEL-40
Entrez Gene IDs
6757 (Human)
Gene Symbol
SSX2
UniProt
Additional SSX2 Products
Product Documents for SSX2 Antibody (OTI4D10)
Product Specific Notices for SSX2 Antibody (OTI4D10)
This product is for research use only and is not approved for use in humans or in clinical diagnosis. Primary Antibodies are guaranteed for 1 year from date of receipt.
Loading...
Loading...
Loading...
Loading...
Loading...