Skip to main content

SSX1 Antibody (OTI1E10) - Azide and BSA Free

Novus Biologicals, part of Bio-Techne | Catalog # NBP2-74362

Novus Biologicals, part of Bio-Techne
Catalog #
Availability
Size / Price
Qty
Loading...
NBP2-74362

Key Product Details

Species Reactivity

Human

Applications

Immunohistochemistry, Immunohistochemistry-Paraffin, Western Blot, Flow Cytometry, Immunocytochemistry/ Immunofluorescence, CyTOF-ready

Label

Unconjugated

Antibody Source

Monoclonal Mouse IgG1 Clone # OTI1E10

Format

Azide and BSA Free

Concentration

LYOPH mg/ml

Product Specifications

Immunogen

Full length human recombinant protein of human SSX1 (NP_005626) produced in E.coli.

Clonality

Monoclonal

Host

Mouse

Isotype

IgG1

Theoretical MW

21.8 kDa.
Disclaimer note: The observed molecular weight of the protein may vary from the listed predicted molecular weight due to post translational modifications, post translation cleavages, relative charges, and other experimental factors.

Description

Novus Biologicals Mouse SSX1 Antibody (OTI1E10) - Azide and BSA Free (NBP2-00614) is a monoclonal antibody validated for use in IHC, WB, Flow and ICC/IF. All Novus Biologicals antibodies are covered by our 100% guarantee.

Scientific Data Images for SSX1 Antibody (OTI1E10) - Azide and BSA Free

Western Blot: SSX1 Antibody (OTI1E10)Azide and BSA Free [NBP2-74362]

Western Blot: SSX1 Antibody (OTI1E10)Azide and BSA Free [NBP2-74362]

Western Blot: SSX1 Antibody (OTI1E10) - Azide and BSA Free [NBP2-74362] - HEK293T cells were transfected with the pCMV6-ENTRY control (Left lane) or pCMV6-ENTRY SSX1 (Right lane) cDNA for 48 hrs and lysed. Equivalent amounts of cell lysates (5 ug per lane) were separated by SDS-PAGE and immunoblotted with anti-SSX1.
Immunocytochemistry/ Immunofluorescence: SSX1 Antibody (OTI1E10) - Azide and BSA Free [NBP2-74362]

Immunocytochemistry/ Immunofluorescence: SSX1 Antibody (OTI1E10) - Azide and BSA Free [NBP2-74362]

Immunocytochemistry/Immunofluorescence: SSX1 Antibody (OTI1E10) - Azide and BSA Free [NBP2-74362] - Staining of COS7 cells transiently transfected by pCMV6-ENTRY SSX1.
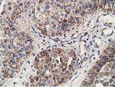
Immunohistochemistry: SSX1 Antibody (OTI1E10) - Azide and BSA Free [NBP2-74362]

Immunohistochemistry: SSX1 Antibody (OTI1E10) - Azide and BSA Free [NBP2-74362]

Immunohistochemistry: SSX1 Antibody (OTI1E10) - Azide and BSA Free [NBP2-74362] - Staining of paraffin-embedded Human lymph node tissue using anti-SSX1 mouse monoclonal antibody.

Applications for SSX1 Antibody (OTI1E10) - Azide and BSA Free

Application
Recommended Usage

Flow Cytometry

1:100

Immunocytochemistry/ Immunofluorescence

1:100

Immunohistochemistry

1:150

Western Blot

1:500-2000

Formulation, Preparation, and Storage

Purification

Immunogen affinity purified

Reconstitution

we recommend adding 100uL distilled water to a final antibody concentration of about 1 mg/mL. To use this carrier-free antibody for conjugation experiment, we strongly recommend performing another round of desalting process.

Formulation

Lyophilized from PBS (pH 7.3) with 8% Trehalose

Format

Azide and BSA Free

Preservative

No Preservative

Concentration

LYOPH mg/ml

Shipping

The product is shipped with polar packs. Upon receipt, store it immediately at the temperature recommended below.

Stability & Storage

Store at -20C. Avoid freeze-thaw cycles.

Background: SSX1

The product of this gene belongs to the family of highly homologous synovial sarcoma X (SSX) breakpoint proteins. These proteins may function as transcriptional repressors. They are also capable of eliciting spontaneously humoral and cellular immune responses in cancer patients, and are potentially useful targets in cancer vaccine-based immunotherapy. SSX1, SSX2 and SSX4 genes have been involved in the t(X;18) translocation characteristically found in all synovial sarcomas. This translocation results in the fusion of the synovial sarcoma translocation gene on chromosome 18 to one of the SSX genes on chromosome X. The encoded hybrid proteins are probably responsible for transforming activity. [provided by RefSeq]

Alternate Names

Cancer/testis antigen 5.1, CT5.1cancer/testis antigen family 5, member 1, MGC150425, protein SSX1, sarcoma, synovial, X-chromosome-related 1, SSRC, synovial sarcoma, X breakpoint 1MGC5162

Gene Symbol

SSX1

Additional SSX1 Products

Product Documents for SSX1 Antibody (OTI1E10) - Azide and BSA Free

Certificate of Analysis

To download a Certificate of Analysis, please enter a lot number in the search box below.

Product Specific Notices for SSX1 Antibody (OTI1E10) - Azide and BSA Free

This product is for research use only and is not approved for use in humans or in clinical diagnosis. Primary Antibodies are guaranteed for 1 year from date of receipt.

Loading...
Loading...
Loading...
Loading...
Loading...
Loading...