Skip to main content

SSH1 Antibody

Novus Biologicals, part of Bio-Techne | Catalog # NB100-60673

Novus Biologicals, part of Bio-Techne
Catalog #
Availability
Size / Price
Qty
Loading...
NB100-60673

Key Product Details

Validated by

Independent Antibodies, Biological Validation

Species Reactivity

Human

Applications

Immunoprecipitation, Western Blot

Label

Unconjugated

Antibody Source

Polyclonal Rabbit IgG

Concentration

0.2 mg/ml

Product Specifications

Immunogen

The immunogen recognized by this antibody maps to a region between residue 999 and 1049 of human slingshot homolg 1 using the numbering given in entry NP_061857.2 (GeneID 54434).

Clonality

Polyclonal

Host

Rabbit

Isotype

IgG

Description

Novus Biologicals Rabbit SSH1 Antibody (NB100-60673) is a polyclonal antibody validated for use in WB and IP. All Novus Biologicals antibodies are covered by our 100% guarantee.

Scientific Data Images for SSH1 Antibody

Western Blot: SSH1 Antibody [NB100-60673]

Western Blot: SSH1 Antibody [NB100-60673]

Western Blot: SSH1 Antibody [NB100-60673] - Detection of Human SSH1 by Western Blot. Samples: Whole cell lysate (15 and 50 ug) from HeLa and (50 ug) from 293T cells prepared using NETN lysis buffer. Antibody: Affinity purified rabbit anti-SSH1 antibody NB100-60673 used for WB at 0.1 ug/ml. Detection: Chemiluminescence with an exposure time of 3 minutes.
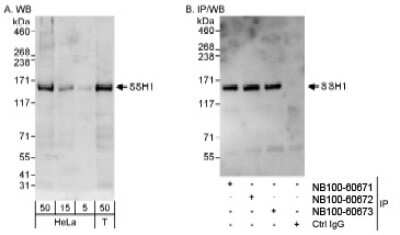
Western Blot: SSH1 Antibody [NB100-60673]

Western Blot: SSH1 Antibody [NB100-60673]

Western Blot: SSH1 Antibody [NB100-60673] - Detection of Human SSH1 on HeLa whole cell lysate using NB100-60673. SSH1 was also immunoprecipitated by rabbit anti-SSH1 antibodies NB100-60671 and NB100-60672.

Applications for SSH1 Antibody

Application
Recommended Usage

Immunoprecipitation

2-5 ug/mg lysate

Western Blot

1:2000-1:10000

Formulation, Preparation, and Storage

Purification

Immunogen affinity purified

Formulation

TBS and 0.1% BSA

Preservative

0.09% Sodium Azide

Concentration

0.2 mg/ml

Shipping

The product is shipped with polar packs. Upon receipt, store it immediately at the temperature recommended below.

Stability & Storage

Store at 4C. Do not freeze.

Background: SSH1

SSH1, also known as slingshot, is a phosphatase that functions to activate the actin severing protein, ADF/cofilin, and influence actin dynamics. There are three members of the slingshot family, SSH1, SSH2, and SSH3. SSH1 has been shown to function downstream of alpha6beta4 integrin/Rac1 signaling in conjunction with 14-3-3 association.

Alternate Names

EC 3.1.3.16, EC 3.1.3.48, FLJ21928, hSSH-1L, KIAA1298FLJ38102, protein phosphatase Slingshot homolog 1, slingshot 1, slingshot homolog 1 (Drosophila), SSH1L, SSH-1L, SSH-like protein 1

Entrez Gene IDs

54434 (Human)

Gene Symbol

SSH1

UniProt

Additional SSH1 Products

Product Documents for SSH1 Antibody

Certificate of Analysis

To download a Certificate of Analysis, please enter a lot number in the search box below.

Product Specific Notices for SSH1 Antibody

This product is for research use only and is not approved for use in humans or in clinical diagnosis. Primary Antibodies are guaranteed for 1 year from date of receipt.

Loading...
Loading...
Loading...
Loading...