Skip to main content

SSEA-1 Antibody (4E10)

Novus Biologicals, part of Bio-Techne | Catalog # NBP2-22179

Novus Biologicals, part of Bio-Techne
Catalog #
Availability
Size / Price
Qty
Loading...
NBP2-22179
NBP2-22179-0.025ml

Key Product Details

Species Reactivity

Validated:

Human

Cited:

Human

Applications

Validated:

Immunohistochemistry, Immunohistochemistry-Paraffin, Immunohistochemistry-Frozen, ELISA, Flow Cytometry, Immunocytochemistry/ Immunofluorescence

Cited:

Immunohistochemistry-Paraffin, Immunohistochemistry-Frozen, Flow Cytometry

Label

Unconjugated

Antibody Source

Monoclonal Mouse IgG1 Clone # 4E10

Concentration

This product is unpurified. The exact concentration of antibody is not quantifiable.

Product Specifications

Immunogen

Synthesized peptide of human SSEA-1.

Localization

Cytoplasm

Clonality

Monoclonal

Host

Mouse

Isotype

IgG1

Theoretical MW

59 kDa.
Disclaimer note: The observed molecular weight of the protein may vary from the listed predicted molecular weight due to post translational modifications, post translation cleavages, relative charges, and other experimental factors.

Description

Novus Biologicals Mouse SSEA-1 Antibody (4E10) (NBP2-22179) is a monoclonal antibody validated for use in IHC, ELISA, Flow and ICC/IF. Anti-SSEA-1 Antibody: Cited in 3 publications. All Novus Biologicals antibodies are covered by our 100% guarantee.

Scientific Data Images for SSEA-1 Antibody (4E10)

Immunocytochemistry/ Immunofluorescence: SSEA-1 Antibody (4E10) - BSA Free [NBP2-22179]

Immunocytochemistry/ Immunofluorescence: SSEA-1 Antibody (4E10) - BSA Free [NBP2-22179]

Immunocytochemistry/Immunofluorescence: CD15/Lewis X Antibody (4E10) [NBP2-22179] - Immunofluorescence analysis of PC-2 cells using CD15 mouse mAb (green). Blue: DRAQ5 fluorescent DNA dye. Red: Actin filaments have been labeled with Alexa Fluor-555 phalloidin.
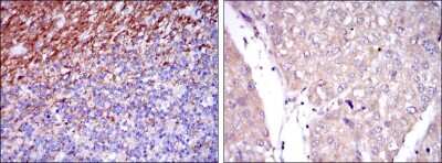
Immunohistochemistry-Paraffin: SSEA-1 Antibody (4E10) - BSA Free [NBP2-22179]

Immunohistochemistry-Paraffin: SSEA-1 Antibody (4E10) - BSA Free [NBP2-22179]

Immunohistochemistry-Paraffin: CD15/Lewis X Antibody (4E10) [NBP2-22179] - Immunohistochemical analysis of paraffin-embedded human cerebellum tissues (left) and human liver cancer tissues (right) using CD15 mouse mAb with DAB staining.
ELISA: SSEA-1 Antibody (4E10) - BSA Free [NBP2-22179]

ELISA: SSEA-1 Antibody (4E10) - BSA Free [NBP2-22179]

ELISA: CD15/Lewis X Antibody (4E10) [NBP2-22179] - Red: Control Antigen (100ng); Purple: Antigen (10ng); Green: Antigen (50ng); Blue: Antigen (100ng)

Applications for SSEA-1 Antibody (4E10)

Application
Recommended Usage

ELISA

1:10000

Immunocytochemistry/ Immunofluorescence

1:200-1:1000

Immunohistochemistry

1:10-1:500

Immunohistochemistry-Paraffin

1:200-1:1000
Application Notes
Use in FLOW reported in scientific literature (PMID: 30344930). Use in IHC-Fr reported in secitific publication PMID: 32646856

Formulation, Preparation, and Storage

Purification

Unpurified

Formulation

Ascites

Preservative

0.03% Sodium Azide

Concentration

This product is unpurified. The exact concentration of antibody is not quantifiable.

Shipping

The product is shipped with polar packs. Upon receipt, store it immediately at the temperature recommended below.

Stability & Storage

Store at 4C short term. Aliquot and store at -20C long term. Avoid freeze-thaw cycles.

Background: SSEA-1

The product of this gene transfers fucose to N-acetyllactosamine polysaccharides to generate fucosylated carbohydrate structures. It catalyzes the synthesis of the non-sialylated antigen, Lewis x (CD15).

Long Name

Stage-specific Embryonic Antigen-1

Alternate Names

SSEA1

Gene Symbol

FUT4

Additional SSEA-1 Products

Product Documents for SSEA-1 Antibody (4E10)

Certificate of Analysis

To download a Certificate of Analysis, please enter a lot number in the search box below.

Product Specific Notices for SSEA-1 Antibody (4E10)

This product is for research use only and is not approved for use in humans or in clinical diagnosis. Primary Antibodies are guaranteed for 1 year from date of receipt.

Loading...
Loading...
Loading...
Loading...
Loading...