SS18L2 Antibody - BSA Free
Novus Biologicals, part of Bio-Techne | Catalog # NBP3-45815
Key Product Details
Species Reactivity
Human, Mouse
Applications
ELISA, Immunohistochemistry, Western Blot
Label
Unconjugated
Antibody Source
Polyclonal Rabbit IgG
Format
BSA Free
Concentration
Please see the vial label for concentration. If unlisted please contact technical services.
Product Specifications
Immunogen
synovial sarcoma translocation gene on chromosome 18-like 2. (Uniprot# Q9UHA2)
Clonality
Polyclonal
Host
Rabbit
Isotype
IgG
Theoretical MW
7 kDa.
Disclaimer note: The observed molecular weight of the protein may vary from the listed predicted molecular weight due to post translational modifications, post translation cleavages, relative charges, and other experimental factors.
Disclaimer note: The observed molecular weight of the protein may vary from the listed predicted molecular weight due to post translational modifications, post translation cleavages, relative charges, and other experimental factors.
Description
Novus Biologicals Rabbit SS18L2 Antibody - BSA Free (NBP3-45815) is a polyclonal antibody validated for use in IHC, WB and ELISA. All Novus Biologicals antibodies are covered by our 100% guarantee.
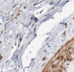
Scientific Data Images for SS18L2 Antibody - BSA Free
Western Blot: SS18L2 Antibody - BSA Free [NBP3-45815] -
Western Blot: SS18L2 Antibody - BSA Free [NBP3-45815] - Human liver tissue were subjected to SDS PAGE followed by western blot with (SS18L2 antibody) at dilution of 1:500Immunohistochemistry: SS18L2 Antibody - BSA Free [NBP3-45815] -
Immunohistochemistry: SS18L2 Antibody - BSA Free [NBP3-45815] - Immunohistochemistry of paraffin-embedded human prostate cancer using (SS18L2 antibody) at dilution of 1:50Applications for SS18L2 Antibody - BSA Free
Application
Recommended Usage
Immunohistochemistry
1:20-1:200
Western Blot
1:500-1:1000
Formulation, Preparation, and Storage
Purification
Immunogen affinity purified
Formulation
PBS, 50% Glycerol, pH (7.3)
Format
BSA Free
Preservative
0.02% Sodium Azide
Concentration
Please see the vial label for concentration. If unlisted please contact technical services.
Shipping
The product is shipped with polar packs. Upon receipt, store it immediately at the temperature recommended below.
Stability & Storage
Store at -20C. Avoid freeze-thaw cycles.
Background: SS18L2
Alternate Names
KIAA-iso, SS18-like protein 2, synovial sarcoma translocation gene on chromosome 18-like 2, SYT homolog 2
Gene Symbol
SS18L2
Additional SS18L2 Products
Product Documents for SS18L2 Antibody - BSA Free
Product Specific Notices for SS18L2 Antibody - BSA Free
This product is for research use only and is not approved for use in humans or in clinical diagnosis. Primary Antibodies are guaranteed for 1 year from date of receipt.
Loading...
Loading...
Loading...
Loading...