Skip to main content

SRPRB Antibody - BSA Free

Novus Biologicals, part of Bio-Techne | Catalog # NBP3-35156

Novus Biologicals, part of Bio-Techne
Catalog #
Availability
Size / Price
Qty
Loading...
NBP3-35156-100ul
NBP3-35156-20ul

Key Product Details

Species Reactivity

Human, Mouse, Rat

Applications

ELISA, Immunocytochemistry/ Immunofluorescence, Western Blot

Label

Unconjugated

Antibody Source

Polyclonal Rabbit IgG

Format

BSA Free

Concentration

Please see the vial label for concentration. If unlisted please contact technical services.

Product Specifications

Immunogen

Recombinant fusion protein containing a sequence corresponding to amino acids 57-271 of human SRPRB (NP_067026.3).

Sequence:
IRSRRSSQRAVLLVGLCDSGKTLLFVRLLTGLYRDTQTSITDSCAVYRVNNNRGNSLTLIDLPGHESLRLQFLERFKSSARAIVFVVDSAAFQREVKDVAEFLYQVLIDSMGLKNTPSFLIACNKQDIAMAKSAKLIQQQLEKELNTLRVTRSAAPSTLDSSSTAPAQLGKKGKEFEFSQLPLKVEFLECSAKGGRGDVGSADIQDLEKWLAKIA

Clonality

Polyclonal

Host

Rabbit

Isotype

IgG

Theoretical MW

30 kDa.
Disclaimer note: The observed molecular weight of the protein may vary from the listed predicted molecular weight due to post translational modifications, post translation cleavages, relative charges, and other experimental factors.

Description

Novus Biologicals Rabbit SRPRB Antibody - BSA Free (NBP3-35156) is a polyclonal antibody validated for use in WB, ELISA and ICC/IF. All Novus Biologicals antibodies are covered by our 100% guarantee.

Scientific Data Images for SRPRB Antibody - BSA Free

SRPRB Antibody

Immunocytochemistry/ Immunofluorescence: SRPRB Antibody [NBP3-35156] -

Immunocytochemistry/ Immunofluorescence: SRPRB Antibody [NBP3-35156] - Immunofluorescence analysis of L929 cells using SRPRB Rabbit pAb at dilution of 1:100. Blue: DAPI for nuclear staining.
SRPRB Antibody

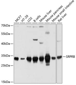
Western Blot: SRPRB Antibody [NBP3-35156] -

Western Blot: SRPRB Antibody [NBP3-35156] - Western blot analysis of various lysates using SRPRB Rabbit pAb at 1:1000 dilution.
Secondary antibody: HRP-conjugated Goat anti-Rabbit IgG (H+L) at 1:10000 dilution.
Lysates/proteins: 25ug per lane.
Blocking buffer: 3% nonfat dry milk in TBST.
Detection: ECL Basic Kit.
Exposure time: 5s.
SRPRB Antibody

Immunocytochemistry/ Immunofluorescence: SRPRB Antibody [NBP3-35156] -

Immunocytochemistry/ Immunofluorescence: SRPRB Antibody [NBP3-35156] - Immunofluorescence analysis of H9C2 cells using SRPRB Rabbit pAb at dilution of 1:100. Blue: DAPI for nuclear staining.

Applications for SRPRB Antibody - BSA Free

Application
Recommended Usage

Immunocytochemistry/ Immunofluorescence

1:50 - 1:200

Western Blot

1:1000 - 1:2000

Formulation, Preparation, and Storage

Purification

Affinity purified

Formulation

PBS (pH 7.3), 50% glycerol

Format

BSA Free

Preservative

0.01% Thimerosal

Concentration

Please see the vial label for concentration. If unlisted please contact technical services.

Shipping

The product is shipped with polar packs. Upon receipt, store it immediately at the temperature recommended below.

Stability & Storage

Store at -20C. Avoid freeze-thaw cycles.

Background: SRPRB

SRPRB is encoded by this gene has similarity to mouse protein which is a subunit of the signal recognition particle receptor (SR). This subunit is a transmembrane GTPase belonging to the GTPase superfamily. It anchors alpha subunit, a peripheral membrane GTPase, to the ER membrane. SR is required for the cotranslational targeting of both secretory and membrane proteins to the ER membrane. [provided by RefSeq]

Alternate Names

APMCF1, Protein APMCF1, signal recognition particle receptor subunit beta, signal recognition particle receptor, B subunit, signal recognition particle receptor, beta subunit, SR-beta

Gene Symbol

SRPRB

Additional SRPRB Products

Product Documents for SRPRB Antibody - BSA Free

Certificate of Analysis

To download a Certificate of Analysis, please enter a lot number in the search box below.

Product Specific Notices for SRPRB Antibody - BSA Free

This product is for research use only and is not approved for use in humans or in clinical diagnosis. Primary Antibodies are guaranteed for 1 year from date of receipt.

Loading...
Loading...
Loading...
Loading...