Skip to main content

SRA1 Antibody (1D4H8)

Novus Biologicals, part of Bio-Techne | Catalog # NBP1-51531

Novus Biologicals, part of Bio-Techne
Catalog #
Availability
Size / Price
Qty
Loading...
NBP1-51531-0.025ml
NBP1-51531

Key Product Details

Species Reactivity

Human

Applications

Immunohistochemistry, Immunohistochemistry-Paraffin, Western Blot, ELISA

Label

Unconjugated

Antibody Source

Monoclonal Mouse IgG1 Clone # 1D4H8

Concentration

This product is unpurified. The exact concentration of antibody is not quantifiable.

Product Specifications

Immunogen

Purified recombinant fragment of SRA1 expressed in E. Coli.

Clonality

Monoclonal

Host

Mouse

Isotype

IgG1

Scientific Data Images for SRA1 Antibody (1D4H8)

Western Blot: SRA1 Antibody (1D4H8)BSA Free [NBP1-51531]

Western Blot: SRA1 Antibody (1D4H8)BSA Free [NBP1-51531]

Western Blot: SRA1 Antibody (1D4H8) [NBP1-51531] - Analysis using SRA mouse mAb against truncated SRA recombinant protein (1), human ovary cancer tissue lysate (2) and A431 cell lysate (3).
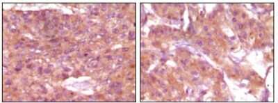
Immunohistochemistry-Paraffin: SRA1 Antibody (1D4H8) - BSA Free [NBP1-51531]

Immunohistochemistry-Paraffin: SRA1 Antibody (1D4H8) - BSA Free [NBP1-51531]

Immunohistochemistry-Paraffin: SRA1 Antibody (1D4H8) [NBP1-51531] - Analysis of human skin carcinoma (left) and breast carcinoma (right), showing cytoplasmic and membrane localization using SRA mouse mAb with DAB staining.

Applications for SRA1 Antibody (1D4H8)

Application
Recommended Usage

ELISA

1:10000

Immunohistochemistry

1:200-1:1000

Immunohistochemistry-Paraffin

1:200-1:1000

Western Blot

1:500-1:2000

Formulation, Preparation, and Storage

Purification

Ascites

Formulation

Ascites

Preservative

0.03% Sodium Azide

Concentration

This product is unpurified. The exact concentration of antibody is not quantifiable.

Shipping

The product is shipped with polar packs. Upon receipt, store it immediately at the temperature recommended below.

Stability & Storage

Store at 4C short term. Aliquot and store at -20C long term. Avoid freeze-thaw cycles.

Background: SRA1

This gene is involved in transcriptional coactivation by steroid receptors. There is currently data suggesting this gene encodes both a non-coding RNA that functions as part of a ribonucleoprotein complex and a protein coding mRNA. Increased expression of both the transcript and the protein is associated with cancer.

Alternate Names

MGC87674, pp7684, SRA, SRAP, steriod receptor RNA activator 1, steriod receptor RNA activator protein, steroid receptor coactivator, steroid receptor RNA activator 1, steroid receptor RNA activator 1 (complexes with NCOA1), Steroid receptor RNA activator protein, STRAA1

Gene Symbol

SRA1

Additional SRA1 Products

Product Documents for SRA1 Antibody (1D4H8)

Certificate of Analysis

To download a Certificate of Analysis, please enter a lot number in the search box below.

Product Specific Notices for SRA1 Antibody (1D4H8)

This product is for research use only and is not approved for use in humans or in clinical diagnosis. Primary Antibodies are guaranteed for 1 year from date of receipt.

Loading...
Loading...
Loading...
Loading...