Skip to main content

SPTLC1 Antibody - BSA Free

Novus Biologicals, part of Bio-Techne | Catalog # NBP2-81928

Novus Biologicals, part of Bio-Techne

Key Product Details

Species Reactivity

Human

Applications

Immunohistochemistry, Immunohistochemistry-Paraffin, Western Blot, ELISA

Label

Unconjugated

Antibody Source

Polyclonal Rabbit IgG

Format

BSA Free

Concentration

1 mg/ml

Product Specifications

Immunogen

SPTLC1 antibody was raised against a 17 amino acid synthetic peptide near the carboxy terminus of human SPTLC1. The immunogen is located within amino acids 380 - 430 of SPTLC1. Amino Acid Squence: HLQLEESTGSREQDVRL

Reactivity Notes

Immunogen displays the following percentage of sequence identity for non-tested species: Mouse: (88%)

Specificity

At least two isoforms of SPTLC1 are known to exist; this antibody will detect only isoform a. SPTLC1 antibody is predicted to not cross-react with SPT2.

Clonality

Polyclonal

Host

Rabbit

Isotype

IgG

Theoretical MW

51 kDa.
Disclaimer note: The observed molecular weight of the protein may vary from the listed predicted molecular weight due to post translational modifications, post translation cleavages, relative charges, and other experimental factors.

Description

Novus Biologicals Rabbit SPTLC1 Antibody - BSA Free (NBP2-81928) is a polyclonal antibody validated for use in IHC, WB and ELISA. All Novus Biologicals antibodies are covered by our 100% guarantee.

Scientific Data Images for SPTLC1 Antibody - BSA Free

Western Blot: SPTLC1 AntibodyBSA Free [NBP2-81928]

Western Blot: SPTLC1 AntibodyBSA Free [NBP2-81928]

Western Blot: SPTLC1 Antibody [NBP2-81928] - Analysis of SPTLC1 in (A) A549 and (B) HeLa cell lysate with SPTLC1 antibody at 1 ug/ml.
SPTLC1 Antibody - BSA Free

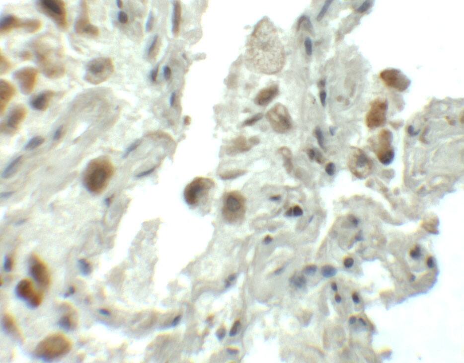
Immunohistochemistry: SPTLC1 Antibody - BSA Free [NBP2-81928] -

Immunohistochemistry: SPTLC1 Antibody - BSA Free [NBP2-81928] - Immunohistochemistry of SPTLC1 in human lung tissue with SPTLC1 antibody at 5 ug/mL.

Applications for SPTLC1 Antibody - BSA Free

Application
Recommended Usage

Immunohistochemistry

5 ug/ml

Western Blot

1 ug/ml

Formulation, Preparation, and Storage

Purification

Peptide affinity purified

Formulation

PBS

Format

BSA Free

Preservative

0.02% Sodium Azide

Concentration

1 mg/ml

Shipping

The product is shipped with polar packs. Upon receipt, store it immediately at the temperature recommended below.

Stability & Storage

Store at 4C short term. Aliquot and store at -20C long term. Avoid freeze-thaw cycles.

Background: SPTLC1

Serine palmitoyltransferase, which consists of two different subunits, is the key enzyme in sphingolipid biosynthesis. It converts L-serine and palmitoyl-CoA to 3-oxosphinganine with pyridoxal 5'-phosphate as a cofactor. The product of this gene is the long chain base subunit 1 of serine palmitoyltransferase. Mutations in this gene were identified in patients with hereditary sensory neuropathy type 1. Alternatively spliced variants encoding different isoforms have been identified. (provided by RefSeq)

Long Name

Serine palmitoyltransferase 1

Alternate Names

LCB 1, LCB1, SPT 1, SPT1

Gene Symbol

SPTLC1

Additional SPTLC1 Products

Product Documents for SPTLC1 Antibody - BSA Free

Certificate of Analysis

To download a Certificate of Analysis, please enter a lot number in the search box below.

Product Specific Notices for SPTLC1 Antibody - BSA Free

This product is for research use only and is not approved for use in humans or in clinical diagnosis. Primary Antibodies are guaranteed for 1 year from date of receipt.

Loading...
Loading...
Loading...
Loading...