Skip to main content

Spt6 Antibody - BSA Free

Novus Biologicals, part of Bio-Techne | Catalog # NBP2-34030

Novus Biologicals, part of Bio-Techne
Catalog #
Availability
Size / Price
Qty
Loading...
NBP2-34030
NBP2-34030-25ul

Key Product Details

Species Reactivity

Validated:

Human

Predicted:

Mouse (99%), Rat (100%). Backed by our 100% Guarantee.

Applications

Immunohistochemistry, Immunohistochemistry-Paraffin, Immunocytochemistry/ Immunofluorescence

Label

Unconjugated

Antibody Source

Polyclonal Rabbit IgG

Format

BSA Free

Concentration

Concentrations vary lot to lot. See vial label for concentration. If unlisted please contact technical services.

Product Specifications

Immunogen

This antibody was developed against a recombinant protein corresponding to amino acids: RTTYIKRVIAHPSFHNINFKQAEKMMETMDQGDVIIRPSSKGENHLTVTWKVSDGIYQHVDVREEGKENAFSLGATLWINSEEFEDLDEIVARYVQPM

Clonality

Polyclonal

Host

Rabbit

Isotype

IgG

Description

Novus Biologicals Rabbit Spt6 Antibody - BSA Free (NBP2-34030) is a polyclonal antibody validated for use in IHC and ICC/IF. All Novus Biologicals antibodies are covered by our 100% guarantee.

Scientific Data Images for Spt6 Antibody - BSA Free

Immunocytochemistry/ Immunofluorescence: Spt6 Antibody [NBP2-34030]

Immunocytochemistry/ Immunofluorescence: Spt6 Antibody [NBP2-34030]

Immunocytochemistry/Immunofluorescence: Spt6 Antibody [NBP2-34030] - Staining of human cell line U-2 OS shows localization to nucleoplasm, plasma membrane & cytosol.
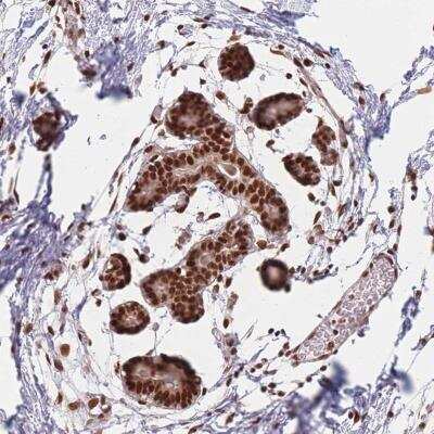
Immunohistochemistry: Spt6 Antibody [NBP2-34030]

Immunohistochemistry: Spt6 Antibody [NBP2-34030]

Immunohistochemistry: Spt6 Antibody [NBP2-34030] - Staining of human breast shows strong nuclear positivity in glandular cells and myoepithelial cells.

Applications for Spt6 Antibody - BSA Free

Application
Recommended Usage

Immunocytochemistry/ Immunofluorescence

0.25-2 ug/ml

Immunohistochemistry

1:20 - 1:50

Immunohistochemistry-Paraffin

1:20 - 1:50
Application Notes
For IHC-Paraffin, HIER pH 6 retrieval is recommended. Immunocytochemistry/Immunofluorescence Fixation Permeabilization: Use PFA/Triton X-100.

Formulation, Preparation, and Storage

Purification

Affinity purified

Formulation

PBS (pH 7.2) and 40% Glycerol

Format

BSA Free

Preservative

0.02% Sodium Azide

Concentration

Concentrations vary lot to lot. See vial label for concentration. If unlisted please contact technical services.

Shipping

The product is shipped with polar packs. Upon receipt, store it immediately at the temperature recommended below.

Stability & Storage

Store at 4C short term. Aliquot and store at -20C long term. Avoid freeze-thaw cycles.

Background: Spt6

Spt6 acts to stimulate transcriptional elongation by RNA polymerase II

Alternate Names

emb-5, hSPT6, KIAA0162MGC87943, SPT6HSPT6, suppressor of Ty (S.cerevisiae) 6 homolog, suppressor of Ty 6 homolog (S. cerevisiae), Tat-cotransactivator 2 protein, Tat-CT2 protein, transcription elongation factor SPT6

Gene Symbol

SUPT6H

UniProt

Additional Spt6 Products

Product Documents for Spt6 Antibody - BSA Free

Certificate of Analysis

To download a Certificate of Analysis, please enter a lot number in the search box below.

Product Specific Notices for Spt6 Antibody - BSA Free

This product is for research use only and is not approved for use in humans or in clinical diagnosis. Primary Antibodies are guaranteed for 1 year from date of receipt.

Loading...
Loading...
Loading...
Loading...