Skip to main content

Spt6 Antibody

Novus Biologicals, part of Bio-Techne | Catalog # NB100-2583

Novus Biologicals, part of Bio-Techne
Catalog #
Availability
Size / Price
Qty
Loading...
NB100-2583

Key Product Details

Validated by

Independent Antibodies

Species Reactivity

Human, Mouse

Applications

Immunohistochemistry, Immunohistochemistry-Paraffin, Immunoprecipitation, Western Blot

Label

Unconjugated

Antibody Source

Polyclonal Rabbit IgG

Concentration

0.2 mg/ml

Product Specifications

Immunogen

The immunogen recognized by this antibody maps to a region between residue 1050 and 1100 of human Suppressor of Ty 6 Homolog using the numbering given in entry NP_003161.2 (GeneID 6830).

Clonality

Polyclonal

Host

Rabbit

Isotype

IgG

Description

Novus Biologicals Rabbit Spt6 Antibody (NB100-2583) is a polyclonal antibody validated for use in IHC, WB and IP. All Novus Biologicals antibodies are covered by our 100% guarantee.

Scientific Data Images for Spt6 Antibody

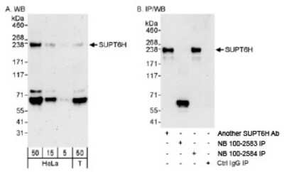
Western Blot: Spt6 Antibody [NB100-2583]

Western Blot: Spt6 Antibody [NB100-2583]

Western Blot: Spt6 Antibody [NB100-2583] - Detection of Human SUPT6H by Western Blot. Samples: Whole cell lysate (5, 15 and 50 ug) from HeLa cells prepared using NETN lysis buffer. Antibody: Affinity purified rabbit anti-SUPT6H antibody NB100-2583 used for WB at 0.1 ug/ml. Detection: Chemiluminescence with an exposure time of 30 seconds.
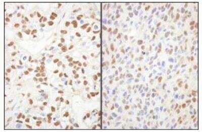
Immunohistochemistry: Spt6 Antibody [NB100-2583]

Immunohistochemistry: Spt6 Antibody [NB100-2583]

Immunohistochemistry: Spt6 Antibody [NB100-2583] - Samples: FFPE serial sections of human ovarian carcinoma Antibody: Affinity purified rabbit anti- SUPT6H A 300-802A-1 used at a dilution of 0.4ug/ml (left) and used at a dilution of 0.2ug/ml (right). Detection: DAB
Western Blot: Spt6 Antibody [NB100-2583]

Western Blot: Spt6 Antibody [NB100-2583]

Western Blot: Spt6 Antibody [NB100-2583] - Detection of Human SUPT6H on HeLa whole cell lysate using NB100-2583. SUPT6H was successfully immunoprecipitated by another rabbit anti-SUPT6H antibody and NB100-2584.

Applications for Spt6 Antibody

Application
Recommended Usage

Immunohistochemistry

1:200 to 1:1000

Immunohistochemistry-Paraffin

1:200 to 1:1000

Western Blot

1:2000-1:10000

Formulation, Preparation, and Storage

Purification

Immunogen affinity purified

Formulation

TBS and 0.1% BSA

Preservative

0.09% Sodium Azide

Concentration

0.2 mg/ml

Shipping

The product is shipped with polar packs. Upon receipt, store it immediately at the temperature recommended below.

Stability & Storage

Store at 4C. Do not freeze.

Background: Spt6

Spt6 is a histone H3-H4 chaperone protein that mediates chromatin reassembly behind RNA polymerase II. Spt6 binds both histone H3 and H4 and deposits them on to DNA, which leads to transcriptional repression of target genes.

Alternate Names

emb-5, hSPT6, KIAA0162MGC87943, SPT6HSPT6, suppressor of Ty (S.cerevisiae) 6 homolog, suppressor of Ty 6 homolog (S. cerevisiae), Tat-cotransactivator 2 protein, Tat-CT2 protein, transcription elongation factor SPT6

Entrez Gene IDs

6830 (Human)

Gene Symbol

SUPT6H

Additional Spt6 Products

Product Documents for Spt6 Antibody

Certificate of Analysis

To download a Certificate of Analysis, please enter a lot number in the search box below.

Product Specific Notices for Spt6 Antibody

This product is for research use only and is not approved for use in humans or in clinical diagnosis. Primary Antibodies are guaranteed for 1 year from date of receipt.

Loading...
Loading...
Loading...
Loading...